Skip to Content
Merck

SAB1404183

Monoclonal Anti-PDE4C, (N-terminal) antibody produced in mouse

clone 4E5, purified immunoglobulin, buffered aqueous solution

Synonym(s):

DPDE1, MGC126222

Sign In to View Organizational & Contract Pricing.

Select a Size

Change View

About This Item

NACRES:
NA.41
UNSPSC Code:
12352203
Conjugate:
unconjugated
Clone:
4E5, monoclonal
Application:
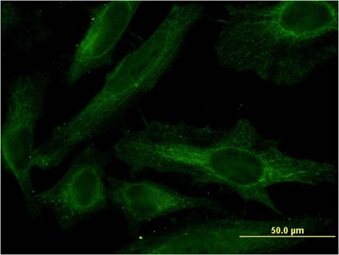
ELISA (c), ELISA (i), IF, WB
Citations:
-
Technical Service
Need help? Our team of experienced scientists is here for you.
Let Us Assist


biological source

mouse

Quality Level

conjugate

unconjugated

antibody form

purified immunoglobulin

antibody product type

primary antibodies

clone

4E5, monoclonal

form

buffered aqueous solution

mol wt

antigen ~37 kDa

species reactivity

human

technique(s)

capture ELISA: suitable, immunofluorescence: suitable, indirect ELISA: suitable, western blot: 1-5 μg/mL

isotype

IgG3κ

NCBI accession no.

UniProt accession no.

shipped in

dry ice

storage temp.

−20°C

target post-translational modification

unmodified

Gene Information

human ... PDE4C(5143)

Immunogen

PDE4C (NP_000914, 1 a.a. ~ 99 a.a) partial recombinant protein with GST tag. MW of the GST tag alone is 26 KDa.

Sequence
MENLGVGEGAEACSRLSRSRGRHSMTRAPKHLWRQPRRPIRIQQRFYSDPDKSAGCRERDLSPRPELRKSRLSWPVSSCRRFDLENGLSCGRRALDPQS

Physical form

Solution in phosphate buffered saline, pH 7.4


Still not finding the right product?

Try our Product Selector Tool to narrow your options


Storage Class

10 - Combustible liquids

wgk

WGK 1

flash_point_f

Not applicable

flash_point_c

Not applicable



Choose from one of the most recent versions:

Certificates of Analysis (COA)

Lot/Batch Number

It looks like we've run into a problem, but you can still download Certificates of Analysis from our Documents section.

If you need assistance, please contact Customer Support

Already Own This Product?

Find documentation for the products that you have recently purchased in the Document Library.

Visit the Document Library



Global Trade Item Number

SKUGTIN
SAB1404183-100UG04061829625269