Skip to Content
Merck

MABC141

Anti-IDH1 Antibody, clone 12D6.1

clone 12D6.1, from mouse

Synonym(s):

Isocitrate dehydrogenase [NADP] cytoplasmic, Cytosolic NADP-isocitrate dehydrogenase, IDH, IDP, NADP(+)-specific ICDH, Oxalosuccinate decarboxylase

Sign In to View Organizational & Contract Pricing.

Select a Size

Change View

About This Item

UNSPSC Code:
12352203
NACRES:
NA.41
eCl@ss:
32160702
Conjugate:
unconjugated
Clone:
12D6.1, monoclonal
Application:
IHC, WB
Citations:
-
Technical Service
Need help? Our team of experienced scientists is here for you.
Let Us Assist


biological source

mouse

Quality Level

conjugate

unconjugated

antibody form

purified antibody

antibody product type

primary antibodies

clone

12D6.1, monoclonal

species reactivity

human

technique(s)

immunohistochemistry: suitable (paraffin), western blot: suitable

isotype

IgG2bκ

NCBI accession no.

UniProt accession no.

shipped in

wet ice

target post-translational modification

unmodified

Gene Information

human ... IDH1(3417)

General description

Isocitrate dehydrogenase [NADP] cytoplasmic (EC 1.1.1.42; UniProt O75874; also known as Cytosolic NADP-isocitrate dehydrogenase, IDH, IDP, NADP(+)-specific ICDH, Oxalosuccinate decarboxylase) is encoded by the IDH1 (also known as PICD) gene (Gene ID 3417) in human. Isocitrate dehydrogenases (IDHs) catalyze the oxidative decarboxylation of isocitrate to produce alpha-ketoglutarate and carbon dioxide. There exist three forms of IDHs in human (IDH1-3). IDH3 utilizes NAD+ as a cofactor and functions within the citric acid cycle, while IDH1 and IDH2 utilize NADP+ as a cofactor and function outside the context of the citric acid cycle. Mutated IDH1 and IDH2 convert alpha-ketoglutarate to oncometabolite R(-)-2-hydroxyglutarate (2-HG) in cytosol and mitochondria, respectively. Isocitrate dehydrogenase 1 ⁄ 2 mutations have been reported in gliomas, acute myeloid leukemias (AMLs), cartilaginous tumors, osteosarcoma, Giant cell tumors of bone (GCTB), Ollier disease, and Maffucci syndrome.
~46 kDa observed. 46.53 kDa (Met1 removed) calculated.

Immunogen

KLH-conjugated linear peptide corresponding to an internal sequence within the N-terminal half of human IDH1.

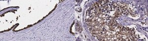
Application

Immunohistochemistry Analysis: A 1:50 dilution from a representative lot detected IDH1 in human prostate cancer tissue, as well as in normal kidney, pancreas, and testis tissue sections.
This Anti-IDH1 Antibody, clone 12D6.1 is validated for use in Western Blotting, Immunohistochemistry (Paraffin) for the detection of IDH1.

Biochem/physiol Actions

Clone 12D6.1 was raised against an internal sequence highly conserved among human, mouse and rat species (different by one amino acid), cross-reactivity to rat and murine species is likely, but has not been confirmed.

Physical form

Format: Purified

Analysis Note

Evaluated by Western Blotting in HepG2 cell lysate.

Western Blotting Analysis: A 1:10,000 dilution of this antibody detected IDH1 in 10 µg of HepG2 cell lysate.

Other Notes

Concentration: Please refer to lot specific datasheet.


Still not finding the right product?

Try our Product Selector Tool to narrow your options


Storage Class

12 - Non Combustible Liquids

wgk

WGK 1

flash_point_f

Not applicable

flash_point_c

Not applicable



Certificates of Analysis (COA)

Search for Certificates of Analysis (COA) by entering the products Lot/Batch Number. Lot and Batch Numbers can be found on a product’s label following the words ‘Lot’ or ‘Batch’.

Already Own This Product?

Find documentation for the products that you have recently purchased in the Document Library.

Visit the Document Library



Global Trade Item Number

SKUGTIN
MABC14104055977351606