Skip to Content
Merck

05-879

Anti-Prothrombin Antibody, clone GMA-095

clone GMA-095, Upstate®, from mouse

Sign In to View Organizational & Contract Pricing.

Select a Size

Change View

About This Item

UNSPSC Code:
12352203
NACRES:
NA.43
eCl@ss:
32160702
Conjugate:
unconjugated
Clone:
GMA-095, monoclonal
Application:
ELISA, WB
Citations:
5
Technical Service
Need help? Our team of experienced scientists is here for you.
Let Us Assist


biological source

mouse

Quality Level

conjugate

unconjugated

antibody form

purified antibody

antibody product type

primary antibodies

clone

GMA-095, monoclonal

species reactivity

human

manufacturer/tradename

Upstate®

technique(s)

ELISA: suitable, western blot: suitable

isotype

IgG1

NCBI accession no.

UniProt accession no.

shipped in

dry ice

target post-translational modification

unmodified

Gene Information

human ... F2(2147)

General description

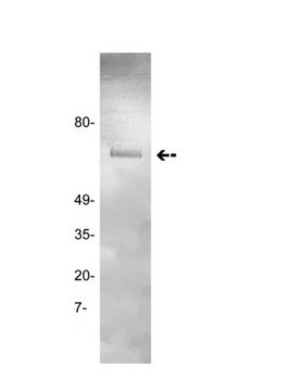
Mr 72kDa

Immunogen

Purified human Prothrombin

Application

Research Category
Inflammation & Immunology
Research Sub Category
Inflammation & Autoimmune Mechanisms
This Anti-Prothrombin Antibody, clone GMA-095 is validated for use in ELISA, WB for the detection of Prothrombin.

Biochem/physiol Actions

Prothrombin

Physical form

DEAE purified
Format: Purified

Preparation Note

stable 2 years at -20°C from date of shipment

Analysis Note

Evaluated by immunoblot on human prothrombin

Legal Information

UPSTATE is a registered trademark of Merck KGaA, Darmstadt, Germany

Disclaimer

Unless otherwise stated in our catalog or other company documentation accompanying the product(s), our products are intended for research use only and are not to be used for any other purpose, which includes but is not limited to, unauthorized commercial uses, in vitro diagnostic uses, ex vivo or in vivo therapeutic uses or any type of consumption or application to humans or animals.


Still not finding the right product?

Try our Product Selector Tool to narrow your options


Storage Class

11 - Combustible Solids

wgk

WGK 3



Certificates of Analysis (COA)

Search for Certificates of Analysis (COA) by entering the products Lot/Batch Number. Lot and Batch Numbers can be found on a product’s label following the words ‘Lot’ or ‘Batch’.

Already Own This Product?

Find documentation for the products that you have recently purchased in the Document Library.

Visit the Document Library



Bivalent direct thrombin inhibitors: hirudin and bivalirudin.
Warkentin, Theodore E
Best Practice & Research. Clinical Haematology, 17, 105-125 (2004)
The role of the tissue factor-thrombin pathway in cardiac ischemia-reperfusion injury.
Mackman, Nigel
Seminars in Vascular Medicine, 3, 193-198 (2003)