Skip to Content
Merck

ZRB2954

Anti-CaM Kinase II β Antibody, clone 1F13 ZooMAb® Rabbit Monoclonal

greener alternative

recombinant, expressed in HEK 293 cells

Synonym(s):

CAM2, CAMK2, CAMKB, CaM kinase II subunit beta, CaMK-II subunit beta, Calcium/calmodulin-dependent protein kinase type II subunit beta, EC:2.7.11.17

Sign In to View Organizational & Contract Pricing.

Select a Size

Change View

About This Item

UNSPSC Code:
12352203
NACRES:
NA.41
Conjugate:
unconjugated
Clone:
1F13, recombinant monoclonal
Application:
ICC, IF, IHC, WB
Citations:
-
Technical Service
Need help? Our team of experienced scientists is here for you.
Let Us Assist


biological source

rabbit

Quality Level

recombinant

expressed in HEK 293 cells

conjugate

unconjugated

antibody form

purified antibody

antibody product type

primary antibodies

clone

1F13, recombinant monoclonal

description

recombinant, expressed in HEK 293 cells

product line

ZooMAb® learn more

form

lyophilized

mol wt

calculated mol wt 60 kDa, observed mol wt ~53 kDa

purified by

using Protein A

species reactivity

rat, mouse, human

species reactivity (predicted by homology)

monkey

packaging

antibody small pack of 25

greener alternative product characteristics

Waste Prevention
Designing Safer Chemicals
Design for Energy Efficiency
Learn more about the Principles of Green Chemistry.

enhanced validation

recombinant expression
Learn more about Antibody Enhanced Validation

sustainability

Greener Alternative Product

technique(s)

immunocytochemistry: suitable, immunofluorescence: suitable, immunohistochemistry: suitable, western blot: suitable

isotype

IgGκ

epitope sequence

N-terminal half

Protein ID accession no.

UniProt accession no.

greener alternative category

shipped in

ambient

storage temp.

2-8°C

Gene Information

human ... CAMK2B(816)

General description

Calcium/calmodulin-dependent protein kinase type II subunit beta (UniProt: Q13554-2; EC:2.7.11.17; also known as CaM kinase II subunit beta, CaMK-II subunit beta) is encoded by the CAMK2B (also known as CAM2, CAMK2, CAMKB) gene (Gene ID: 816) in human. CaM Kinase II β is a member of the CAMKII serine/threonine kinase family, which is characterized by a multimeric holoenzyme structure, typically forming dodecameric assemblies. The protein structure of CaM Kinase II β includes a kinase domain, a regulatory segment that inhibits activity in the absence of calcium/calmodulin, and an association domain that promotes oligomerization. The presence of autophosphorylation sites within the regulatory region is key to its activation and function. It plays a crucial role in a variety of cellular processes including signal transduction, cell cycle regulation, and synaptic plasticity, which is critical for memory formation. CaM Kinase II β is known for its ability to phosphorylate a wide range of substrates, thereby affecting various signaling pathways. Although CAMK2B is ubiquitously expressed, it is particularly prominent in the brain, where it contributes significantly to neural plasticity and memory. Overactivity or dysregulation of CaM Kinase II β has been associated with neurodevelopmental disorders, such as schizophrenia and autism spectrum disorders. Additionally, its role in synaptic plasticity links it to neurodegenerative diseases like Alzheimer′s disease, where CaM Kinase II β dysfunction may contribute to synaptic loss and cognitive decline. This ZooMAb® recombinant monoclonal antibody, generated by our proprietary technology, offers significantly enhanced specificity, affinity, reproducibility, and stability over conventional monoclonals.
We are committed to bringing you greener alternative products, which adhere to one or more of the 12 Principles of Green Chemistry. This antibody is preservative-free, produced without the harm or sacrifice of animals and exceptionally stable to allow for ambient shipping and storage if needed, and thus aligns with "Waste Prevention", "Designing Safer Chemicals" and "Design for Energy Efficiency". Click here for more information.
ZooMAb® antibodies represent an entirely new generation of recombinant monoclonal antibodies. Each ZooMAb® antibody is manufactured using our proprietary recombinant expression system, purified to homogeneity, and precisely dispensed to produce robust and highly reproducible lot-to-lot consistency. Only top-performing clones are released for use by researchers. Each antibody is validated for high specificity and affinity across multiple applications, including its most commonly used application. ZooMAb® antibodies are reliably available and ready to ship when you need them.

Immunogen

KLH-conjugated linear peptide corresponding to 24 amino acids from the N-terminal of human CaM Kinase II β.

Application

Quality Control Testing

Evaluated by Western Blotting in A549 cell lysate.

Western Blotting Analysis: A 1:10,000 dilution of this antibody detected CaM Kinase II β protein in A549 cell lysate.

Tested Applications

Western Blotting Analysis: A 1:1,000 dilution from a representative lot detected CaM Kinase II β in lysates from mouse brain and rat brain tissue.

Immunocytochemistry Analysis: A 1:100 dilution from a representative lot detected CaM Kinase II β in HEK-293 cells.

Immunofluorescence Analysis: A 1:100 dilution from a representative lot detected CaM Kinase II β in human small intestine tissue, proliferative and differentiated duodenum intestinal organoid sections.

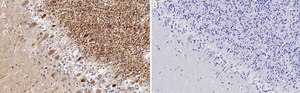
Immunohistochemistry (Paraffin) Analysis: A 1:1,000 dilution from a representative lot detected CaM Kinase II β in human cerebellum tissue sections.

Note: Actual optimal working dilutions must be determined by end user as specimens, and experimental conditions may vary with the end user.

Biochem/physiol Actions

Clone 1F13 is a ZooMAb® rabbit recombinant monoclonal antibody that detects CaM Kinase II β. It targets an epitope within 24 amino acids from the N-terminal.

Physical form

Purified recombinant rabbit monoclonal antibody IgG, lyophilized in PBS with 5% Trehalose, normal appearance a coarse or translucent resin. The PBS/trehalose components in the ZooMAb formulation can have the appearance of a semi-solid (bead like gel) after lyophilization. This is a normal phenomenon. Please follow the recommended reconstitution procedure in the data sheet to dissolve the semi-solid, bead-like, gel-appearing material. The resulting antibody solution is completely stable and functional as proven by full functional testing. Contains no biocide or preservatives, such as azide, or any animal by-products. Larger pack sizes provided as multiples of 25 µL.

Preparation Note

Recommend storage of lyophilized product at 2-8°C; Before reconstitution, micro-centrifuge vials briefly to spin down material to bottom of the vial; Reconstitute each vial by adding 25 µL of filtered lab grade water or PBS; Reconstituted antibodies can be stored at 2-8°C, or -20°C for long term storage. Avoid repeated freeze-thaws.
Reconstitute lyophilized antibody pellet with 25μL of ultrapure water or Phosphate Buffered Saline (PBS). Please refer to our reconstitution protocol and the specific application guidance on the suggested starting dilutions and sample type.

Legal Information

ZooMAb is a registered trademark of Merck KGaA, Darmstadt, Germany

Disclaimer

Unless otherwise stated in our catalog or other company documentation accompanying the product(s), our products are intended for research use only and are not to be used for any other purpose, which includes but is not limited to, unauthorized commercial uses, in vitro diagnostic uses, ex vivo or in vivo therapeutic uses or any type of consumption or application to humans or animals.


Still not finding the right product?

Try our Product Selector Tool to narrow your options


Storage Class

11 - Combustible Solids

wgk

WGK 2

flash_point_f

Not applicable

flash_point_c

Not applicable



Choose from one of the most recent versions:

Certificates of Analysis (COA)

Lot/Batch Number

It looks like we've run into a problem, but you can still download Certificates of Analysis from our Documents section.

If you need assistance, please contact Customer Support

Already Own This Product?

Find documentation for the products that you have recently purchased in the Document Library.

Visit the Document Library



Global Trade Item Number

SKUGTIN
ZRB2954-25UL04065272000932
ZRB2954-4X25UL04065272000949