Skip to Content
Merck

ZRB2479

Anti-SUMO-1 Antibody, clone 2B6 ZooMAb® Rabbit Monoclonal

greener alternative

recombinant, expressed in HEK 293 cells

Synonym(s):

GAP-modifying protein 1 (GMP1), SMT3 homolog 3, Sentrin, Small ubiquitin-related modifier 1, Ubiquitin-homology domain protein PIC1, Ubiquitin-like protein SMT3C (Smt3C), Ubiquitin-like protein UBL1

Sign In to View Organizational & Contract Pricing.

Select a Size

Change View

About This Item

UNSPSC Code:
12352203
NACRES:
NA.41
Conjugate:
unconjugated
Clone:
2B6, recombinant monoclonal
Application:
ICC, IHC, WB, affinity binding assay
Citations:
-
Technical Service
Need help? Our team of experienced scientists is here for you.
Let Us Assist


biological source

rabbit

Quality Level

recombinant

expressed in HEK 293 cells

conjugate

unconjugated

antibody form

purified antibody

antibody product type

primary antibodies

clone

2B6, recombinant monoclonal

description

recombinant, expressed in HEK 293 cells

product line

ZooMAb® learn more

form

lyophilized

mol wt

calculated mol wt 11.56 kDa, observed mol wt ~80.00/17.00 kDa

purified by

using Protein A

species reactivity

human, mouse, rat

species reactivity (predicted by homology)

frog, canine

packaging

antibody small pack of 25

greener alternative product characteristics

Waste Prevention
Designing Safer Chemicals
Design for Energy Efficiency
Learn more about the Principles of Green Chemistry.

enhanced validation

recombinant expression
Learn more about Antibody Enhanced Validation

sustainability

Greener Alternative Product

concentration

0.3 mg/mL

technique(s)

affinity binding assay: suitable, immunocytochemistry: suitable, immunohistochemistry: suitable, western blot: suitable

isotype

IgG

epitope sequence

Internal

Protein ID accession no.

UniProt accession no.

greener alternative category

shipped in

ambient

storage temp.

2-8°C

Gene Information

human ... SUMO1(7341)

General description

Small ubiquitin-related modifier 1 (UniProt: P63165; also known as SUMO-1, GAP-modifying protein 1, GMP1, SMT3 homolog 3, Sentrin, Ubiquitin-homology domain protein PIC1, Ubiquitin-like protein SMT3C, Smt3C, Ubiquitin-like protein UBL1) is encoded by the SUMO1 (also known as SMT3C, SMT3H3, UBL1, OK/SW-cl.43) gene (Gene ID: 7341) in human. SUMO-1 is a ubiquitin-like protein that can be covalently attached to proteins as a monomer or a lysine-linked polymer. SUMOylation, protein post translation modification by SUMO, is a signaling event in many cellular processes. SUMO proteins are translated as immature precursors and subsequently converted to their mature forms through the activity of sentrin/SUMO-specific proteases (SENPs). As is the case with ubiquitination, SUMOylation is a reversible process. SUMO E1 activating enzyme, E2 conjugating enzyme, and E3 ligase mediate SUMOylation of substrate proteins, while SENPs are responsible for the deSUMOylation. SUMOylation usually occurs at lysine residues in the consensus KxD/E motif, although not all such lysine′s become SUMOylated and SUMOylation can also occur on lysine residues outside of this motif. This post-translational modification on lysine residues of proteins plays a crucial role in many cellular processes, such as nuclear transport, DNA replication and repair, mitosis and signal transduction. SUMO-1 can also covalently attach to the voltage-gated potassium channel KCNB1; this modulates the gating characteristics of KCNB1. Polymeric SUMO-1 chains are shown to be susceptible to polyubiquitination, which functions as a signal for proteasomal degradation of modified proteins. Two isoforms of SUMO-1 have been reported that are produced by alternative splicing. Mutations in SUMO1 gene are known to cause non-syndromic orofacial cleft 10, which is a birth defect consisting of cleft lips with or without cleft palate. This ZooMAb® recombinant monoclonal antibody, generated by our proprietary technology, offers significantly enhanced specificity, affinity, reproducibility, and stability over conventional monoclonals.
We are committed to bringing you greener alternative products, which adhere to one or more of the 12 Principles of Green Chemistry. This antibody is preservative-free, produced without the harm or sacrifice of animals and exceptionally stable to allow for ambient shipping and storage if needed, and thus aligns with "Waste Prevention", "Designing Safer Chemicals" and "Design for Energy Efficiency". Click here for more information.
ZooMAb® antibodies represent an entirely new generation of recombinant monoclonal antibodies. Each ZooMAb® antibody is manufactured using our proprietary recombinant expression system, purified to homogeneity, and precisely dispensed to produce robust and highly reproducible lot-to-lot consistency. Only top-performing clones are released for use by researchers. Each antibody is validated for high specificity and affinity across multiple applications, including its most commonly used application. ZooMAb® antibodies are reliably available and ready to ship when you need them.

Immunogen

KLH-conjugated linear peptide corresponding to 14 amino acids from the Ubiquitin-like domain of human SUMO-1.

Application

Quality Control Testing

Evaluated by Western Blotting in HepG2 cell lysate.

Western Blotting Analysis: A 1:10,000 dilution of this antibody detected SUMO-1 in HepG2 cell lysate.

Tested Applications

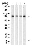
Western Blotting Analysis: A representative lot detected SUMO-1 in lysates from rat lung tissue (1:1,000 dilution), NIH/3T3 cells (1:10,000 dilution) and SH-SY5Y cells (1:250 dilution).

Western Blotting Analysis: A 1:50,000 dilution of this antibody detected His-tagged, full-length, recombinant human SUMO-1.

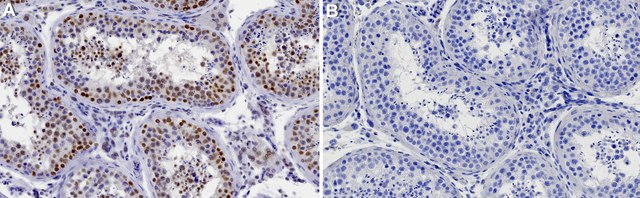
Immunohistochemistry (Paraffin) Analysis: A 1:1,000 dilution from a representative lot detected SUMO-1 in human testis tissue sections.

Immunocytochemistry Analysis (ICC): A 1:100 dilution from a representative lot detected SUMO-1 in HeLa, NIH/3T3, and U-2OS cells.

Affinity Binding Assay: A representative lot of this antibody bound SUMO-1 peptide with at least one thousand-fold (1,000X) higher affinity than with non-specific control peptide.

Note: Actual optimal working dilutions must be determined by end user as specimens, and experimental conditions may vary with the end user.

Biochem/physiol Actions

Clone 2B6 is a ZooMAb® recombinant rabbit monoclonal antibody that specifically detects SUMO-1. It targets an epitope within 14 amino acids from the Ubiquitin-like domain.

Physical form

Purified recombinant rabbit monoclonal antibody IgG, lyophilized in PBS with 5% Trehalose, normal appearance a coarse or translucent resin. The PBS/trehalose components in the ZooMAb formulation can have the appearance of a semi-solid (bead like gel) after lyophilization. This is a normal phenomenon. Please follow the recommended reconstitution procedure in the data sheet to dissolve the semi-solid, bead-like, gel-appearing material. The resulting antibody solution is completely stable and functional as proven by full functional testing. Contains no biocide or preservatives, such as azide, or any animal by-products. Larger pack sizes provided as multiples of 25 µL.

Preparation Note

300 µg/mL after reconstitution at 25 µL per vial. Please refer to guidance on suggested starting dilutions and/or titers per application and sample type.
Recommend storage of lyophilized product at 2-8°C; Before reconstitution, micro-centrifuge vials briefly to spin down material to bottom of the vial; Reconstitute each vial by adding 25 µL of filtered lab grade water or PBS; Reconstituted antibodies can be stored at 2-8°C, or -20°C for long term storage. Avoid repeated freeze-thaws.

Legal Information

ZooMAb is a registered trademark of Merck KGaA, Darmstadt, Germany

Disclaimer

Unless otherwise stated in our catalog or other company documentation accompanying the product(s), our products are intended for research use only and are not to be used for any other purpose, which includes but is not limited to, unauthorized commercial uses, in vitro diagnostic uses, ex vivo or in vivo therapeutic uses or any type of consumption or application to humans or animals.


Still not finding the right product?

Try our Product Selector Tool to narrow your options


Storage Class

11 - Combustible Solids

wgk

WGK 1

flash_point_f

Not applicable

flash_point_c

Not applicable



Choose from one of the most recent versions:

Certificates of Analysis (COA)

Lot/Batch Number

It looks like we've run into a problem, but you can still download Certificates of Analysis from our Documents section.

If you need assistance, please contact Customer Support

Already Own This Product?

Find documentation for the products that you have recently purchased in the Document Library.

Visit the Document Library



Global Trade Item Number

SKUGTIN
ZRB2479-25UL04065272640138
ZRB2479-4X25UL04065272640145