Select a Size
About This Item
biological source
rabbit
Quality Level
recombinant
expressed in HEK 293 cells
conjugate
unconjugated
antibody form
purified antibody
antibody product type
primary antibodies
clone
1B2, recombinant monoclonal
description
recombinant, expressed in HEK 293 cells
product line
ZooMAb® learn more
form
lyophilized
mol wt
calculated mol wt 57.94 kDa, observed mol wt ~58 kDa
purified by
using Protein A
species reactivity
human, mouse, rat
packaging
antibody small pack of 25 μL
greener alternative product characteristics
Waste Prevention
Designing Safer Chemicals
Design for Energy Efficiency
Learn more about the Principles of Green Chemistry.
enhanced validation
recombinant expression
Learn more about Antibody Enhanced Validation
sustainability
Greener Alternative Product
technique(s)
affinity binding assay: suitable, immunocytochemistry: suitable, immunohistochemistry (formalin-fixed, paraffin-embedded sections): suitable, western blot: suitable
isotype
IgG
epitope sequence
C-terminal
Protein ID accession no.
UniProt accession no.
greener alternative category
, Aligned
shipped in
ambient
storage temp.
2-8°C
target post-translational modification
unmodified
Gene Information
human ... PKM(5315)
General description
Each ZooMAb® antibody is manufactured using our proprietary recombinant expression system, purified to homogeneity, and precisely dispensed to produce robust and highly reproducible lot-to-lot consistency. Only top-performing clones are released for use by researchers. Each antibody is validated for high specificity and affinity across multiple applications, including its most commonly used application. ZooMAb® antibodies are reliably available and ready to ship when you need them.
Immunogen
Application
Evaluated by Western Blotting in NIH3T3 cell lysate.
Western Blotting Analysis: A 1:1,000 dilution of this antibody detected PKM2 in NIH3T3 cell lysate.
Tested applications
Western Blotting Analysis: A 1:1,000 dilution from a representative lot detected PKM2 in lysates from C6, A549, and MCF7 cells and Human Small Intestine tissue.
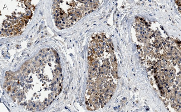
Immunohistochemistry (Paraffin) Analysis: A 1:1,000 dilution from a representative lot detected PKM2 in human testis tissue sections.
Affinity Binding Assay: A representative lot of this antibody bound PKM2 with a KD of 2.4 x 10-8 in an affinity binding assay.
Immunocytochemistry Analysis: A 1:100 dilution from a representative lot detected PKM2 in MCF7 and C6 cells.
Note: Actual optimal working dilutions must be determined by end user as specimens, and experimental conditions may vary with the end user
Biochem/physiol Actions
Physical form
Preparation Note
Legal Information
Disclaimer
Still not finding the right product?
Try our Product Selector Tool to narrow your options
Storage Class
13 - Non Combustible Solids
wgk
WGK 1
flash_point_f
Not applicable
flash_point_c
Not applicable
Choose from one of the most recent versions:
Already Own This Product?
Find documentation for the products that you have recently purchased in the Document Library.
Global Trade Item Number
| SKU | GTIN |
|---|---|
| ZRB1758-25UL | 04065267744827 |
| ZRB1758-4X25UL | 04065267744834 |