Skip to Content
Merck

ZRB1502

Anti-HSP90 alpha Antibody, clone 4M13 ZooMAb® Rabbit Monoclonal

greener alternative

recombinant, expressed in HEK 293 cells

Synonym(s):

HSP 86, HSP86, Heat shock 86 kDa, Heat shock protein HSP 90-alpha, LAP-2, LPS-associated protein 2, Lipopolysaccharide-associated protein 2, Renal carcinoma antigen NY-REN-38

Sign In to View Organizational & Contract Pricing.

Select a Size

Change View

About This Item

NACRES:
NA.43
UNSPSC Code:
12352203
Conjugate:
unconjugated
Clone:
4M13, monoclonal, recombinant monoclonal
Application:
IHC (p), WB, affinity binding assay
Citations:
-
Technical Service
Need help? Our team of experienced scientists is here for you.
Let Us Assist


biological source

rabbit (recombinant)

Quality Level

recombinant

expressed in HEK 293 cells

conjugate

unconjugated

antibody form

purified antibody

antibody product type

primary antibodies

clone

4M13, monoclonal, recombinant monoclonal

product line

ZooMAb® learn more

form

lyophilized

mol wt

calculated mol wt 84.66 kDa, observed mol wt ~85 kDa

species reactivity

human, mouse

packaging

antibody small pack of 25 μL

greener alternative product characteristics

Waste Prevention
Designing Safer Chemicals
Design for Energy Efficiency
Learn more about the Principles of Green Chemistry.

enhanced validation

recombinant expression
Learn more about Antibody Enhanced Validation

sustainability

Greener Alternative Product

technique(s)

affinity binding assay: suitable, immunohistochemistry (formalin-fixed, paraffin-embedded sections): suitable, western blot: suitable

isotype

IgG

UniProt accession no.

greener alternative category

shipped in

ambient

storage temp.

2-8°C

target post-translational modification

unmodified

Gene Information

human ... HSP90AA1(3320)

General description

Heat shock protein HSP 90-alpha (UniProt: P07900; also known as Heat shock 86 kDa, HSP 86, HSP86, Lipopolysaccharide-associated protein 2, LAP-2, LPS-associated protein 2, Renal carcinoma antigen NY-REN-38) is encoded by the HSP90AA1 (also known as HSP90A, HSPC1, HSPCA) gene (Gene ID: 3320) in human. HSP90 serves as a molecular chaperone that maintains the stability and functionality of numerous client proteins in an ATPase-dependent manner. It is known to interact dynamically with various co-chaperones that modulate its substrate recognition, ATPase cycle, and chaperone function. After the completion of the chaperoning process, properly folded client protein and co-chaperone leave HSP90 in an ADP-bound partially open conformation and finally, ADP is released from HSP90 which acquires an open conformation for the next cycle. HSP90 and its co-chaperones are also shown to modulate transcription at least at three different levels (a) by altering the steady-state levels of certain transcription factors in response to various physiological cues (b) modulating the activity of certain epigenetic modifiers, such as histone deacetylases, and (c) by participation in the eviction of histones from the promoter region of certain genes and thereby turn on gene expression. In its resting state, through the dimerization of its C-terminal domain, HSP90 forms a homodimer, which is defined as the open conformation. Upon ATP-binding, the N-terminal domain undergoes significant conformational changes and comes in contact to form an active closed conformation. Following the completion of its chaperoning activity, ATP molecule is hydrolyzed to ADP which then dissociates from HSP90 and directs the protein back to the resting state. This monoclonal antibody (clone 1G6-D7) is reported to inhibit both de novo tumor formation and expansion of already formed tumors in mice. This ZooMAb recombinant monoclonal antibody, generated by our propriety technology, offers significantly enhanced specificity, affinity, reproducibility, and stability over conventional monoclonals. (Ref.: Li, W., et al. (2012). Biochim. Biophys. Acta. 1823(3); 730 741; Zou, M., et al. (2017). Oncogene 36(15); 2160-2171).
We are committed to bringing you greener alternative products, which adhere to one or more of The 12 Principles of Green Chemistry.This antibody is Preservative-free, produced without the harm or sacrifice of animals and exceptionally stable to allow for ambient shipping and storage if needed and thus aligns with "Waste Prevention", "Designing Safer Chemicals" and "Design for Energy Efficiency". Click here for more information.
ZooMAb antibodies represent an entirely new generation of recombinant monoclonal antibodies.

Each ZooMAb antibody is manufactured using our proprietary recombinant expression system, purified to homogeneity, and precisely dispensed to produce robust and highly reproducible lot-to-lot consistency. Only top-performing clones are released for use by researchers. Each antibody is validated for high specificity and affinity across multiple applications, including its most commonly used application. ZooMAb antibodies are reliably available and ready to ship when you need them.

Learn more about ZooMAb here.

Immunogen

His-tagged recombinant fragment corresponding to 115 amino acids from the N-terminal half of human Heat shock protein HSP90 alpha.

Application

Anti-HSP90 alpha, clone 4M13 ZooMAb, Cat. No. ZRB1502, is a recombinant Rabbit monoclonal antibody that specifically targets HSP90 alpha and is tested for use in Affinity Binding Assay, Immunohistochemistry (Paraffin), and Western Blotting.
Western Blotting Analysis: A 1:1,000 dilution from a representative lot detected HSP90 alpha in lysates from NIH3T3 cells, human testis, and rat brain tissue.

Affinity Binding Assay: A representative lot of this antibody bound human recombinant HSP90 alpha with a KD of 2.9 x 10-8 in an affinity binding assay.

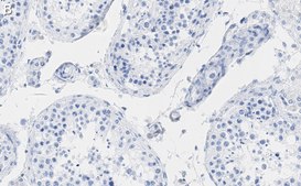
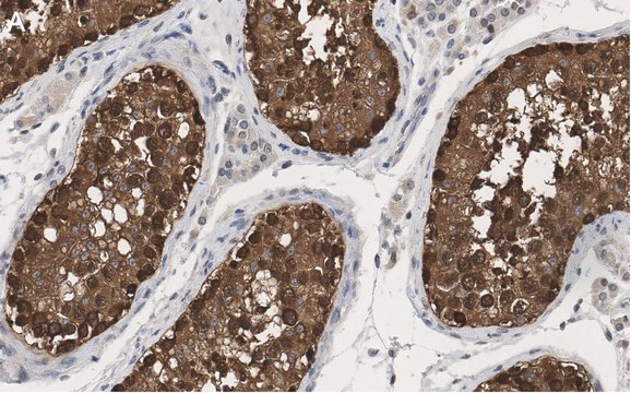
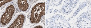
Immunohistochemistry (Paraffin) Analysis: A 1:100 dilution from a representative lot detected HSP90 alpha in human testis tissue sections.

Note: Actual optimal working dilutions must be determined by end user as specimens, and experimental conditions may vary with the end user

Biochem/physiol Actions

Clone 4M13 is a ZooMAb rabbit recombinant monoclonal antibody that specifically detects HSP90 alpha. It targets an epitope within the N-terminal half.

Physical form

Purified recombinant rabbit monoclonal antibody IgG, lyophilized in PBS, 5% Trehalose, normal appearance a coarse or translucent resin. Contains no biocide or preservatives, such as azide, or any animal by-products. Larger pack sizes provided as multiples of 25 μL.

Preparation Note

Recommend storage of lyophilized product at 2-8°C; Before reconstitution, micro-centrifuge vials briefly to spin down material to bottom of the vial; Reconstitute each vial by adding 25 μL of filtered lab grade water or PBS; Reconstituted antibodies can be stored at 2-8°C, or -20°C for long term storage. Avoid repeated freeze-thaws.
Reconstitute lyophilized antibody pellet with 25μL of ultrapure water or Phosphate Buffered Saline (PBS). Please refer to our reconstitution protocol and the specific application guidance on the suggested starting dilutions and sample type.

Legal Information

ZooMAb is a registered trademark of Merck KGaA, Darmstadt, Germany

Disclaimer

Unless otherwise stated in our catalog or other company documentation accompanying the product(s), our products are intended for research use only and are not to be used for any other purpose, which includes but is not limited to, unauthorized commercial uses, in vitro diagnostic uses, ex vivo or in vivo therapeutic uses or any type of consumption or application to humans or animals.


Still not finding the right product?

Try our Product Selector Tool to narrow your options


Storage Class

11 - Combustible Solids

wgk

WGK 1

flash_point_f

Not applicable

flash_point_c

Not applicable



Choose from one of the most recent versions:

Certificates of Analysis (COA)

Lot/Batch Number

It looks like we've run into a problem, but you can still download Certificates of Analysis from our Documents section.

If you need assistance, please contact Customer Support

Already Own This Product?

Find documentation for the products that you have recently purchased in the Document Library.

Visit the Document Library



Global Trade Item Number

SKUGTIN
ZRB1502-4X25UL04061842042937
ZRB1502-25UL04061842042920