Skip to Content
Merck

SAB5701535

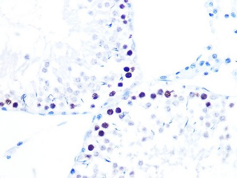
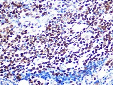
Anti-KAT1/HAT1 antibody produced in rabbit

Sign In to View Organizational & Contract Pricing.

Select a Size

Change View

About This Item

NACRES:
NA.41
UNSPSC Code:
12352203
Conjugate:
unconjugated
Clone:
monoclonal
Application:
IHC, WB
Citations:
-
Technical Service
Need help? Our team of experienced scientists is here for you.
Let Us Assist


biological source

rabbit

Quality Level

conjugate

unconjugated

antibody product type

primary antibodies

clone

monoclonal

form

liquid

species reactivity

mouse, human, rat

concentration

1.49 mg/mL

technique(s)

immunohistochemistry: 1:50-1:200, western blot: 1:500-1:2000

UniProt accession no.

shipped in

wet ice

storage temp.

−20°C

target post-translational modification

unmodified

Gene Information

human ... HAT1(8520)

General description

The protein encoded by this gene is a type B histone acetyltransferase (HAT) that is involved in the rapid acetylation of newly synthesized cytoplasmic histones, which are in turn imported into the nucleus for de novo deposition onto nascent DNA chains. Histone acetylation, particularly of histone H4, plays an important role in replication-dependent chromatin assembly. Specifically, this HAT can acetylate soluble but not nucleosomal histone H4 at lysines 5 and 12, and to a lesser degree, histone H2A at lysine 5. Alternatively spliced transcript variants have been identified for this gene. [provided by RefSeq, Jun 2009]

Immunogen

A synthesized peptide derived from human KAT1/HAT1

Physical form

Buffer: PBS with 0.02% sodium azide,0.05% BSA,50% glycerol,pH7.3.


Still not finding the right product?

or

Try our Product Selector Tool to narrow your options


Storage Class

12 - Non Combustible Liquids

wgk

WGK 1

flash_point_f

Not applicable

flash_point_c

Not applicable



Choose from one of the most recent versions:

Certificates of Analysis (COA)

Lot/Batch Number

It looks like we've run into a problem, but you can still download Certificates of Analysis from our Documents section.

If you need assistance, please contact Customer Support

Already Own This Product?

Find documentation for the products that you have recently purchased in the Document Library.

Visit the Document Library



Global Trade Item Number

SKUGTIN
SAB5701535-100UL04065267671093