Skip to Content
Merck

SAB5701401

Sigma-Aldrich

Anti- BRG1/SMARCA4 antibody produced in rabbit

Sign Into View Organizational & Contract Pricing

Select a Size


About This Item

UNSPSC Code:
12352203
NACRES:
NA.41
Technical Service
Need help? Our team of experienced scientists is here for you.
Let Us Assist
Technical Service
Need help? Our team of experienced scientists is here for you.
Let Us Assist

biological source

rabbit

Quality Level

conjugate

unconjugated

antibody product type

primary antibodies

clone

polyclonal

form

liquid

species reactivity

human, rat, mouse

concentration

3.25 mg/mL

technique(s)

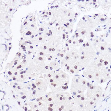
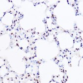
immunohistochemistry: 1:50-1:200
western blot: 1:500-1:2000

UniProt accession no.

shipped in

wet ice

storage temp.

−20°C

target post-translational modification

unmodified

Gene Information

human ... SMARCA4(6597)

General description

The protein encoded by this gene is a member of the SWI/SNF family of proteins and is similar to the brahma protein of Drosophila. Members of this family have helicase and ATPase activities and are thought to regulate transcription of certain genes by altering the chromatin structure around those genes. The encoded protein is part of the large ATP-dependent chromatin remodeling complex SNF/SWI, which is required for transcriptional activation of genes normally repressed by chromatin. In addition, this protein can bind BRCA1, as well as regulate the expression of the tumorigenic protein CD44. Mutations in this gene cause rhabdoid tumor predisposition syndrome type 2. Multiple transcript variants encoding different isoforms have been found for this gene.

Immunogen

A synthetic peptide corresponding to a sequence within amino acids 30-130 of human BRG1/BRG1/SMARCA4 (NP_003063.2).

Physical form

Buffer: PBS with 0.02% sodium azide,50% glycerol,pH7.3.

Not finding the right product?  

Try our Product Selector Tool.

Storage Class Code

12 - Non Combustible Liquids

WGK

WGK 1

Flash Point(F)

Not applicable

Flash Point(C)

Not applicable


Choose from one of the most recent versions:

Certificates of Analysis (COA)

Lot/Batch Number

Don't see the Right Version?

If you require a particular version, you can look up a specific certificate by the Lot or Batch number.

Already Own This Product?

Find documentation for the products that you have recently purchased in the Document Library.

Visit the Document Library

Our team of scientists has experience in all areas of research including Life Science, Material Science, Chemical Synthesis, Chromatography, Analytical and many others.

Contact Technical Service