Skip to Content
Merck

SAB5700341

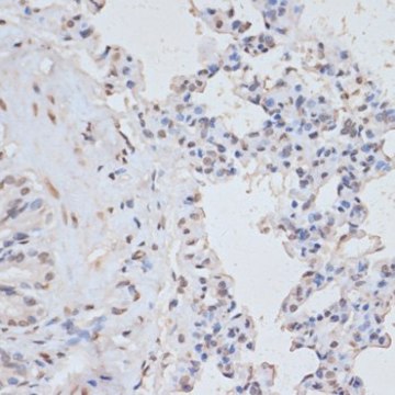
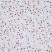
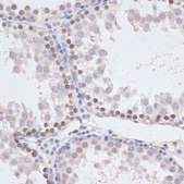
Anti-Phospho-MAPK3-Y204 antibody produced in rabbit

Synonym(s):

ERK-1, ERK1, ERT2, HS44KDAP, HUMKER1A, MAPK3, P44ERK1, P44MAPK, PRKM3, p44-ERK1, p44-MAPK

Sign In to View Organizational & Contract Pricing.

Select a Size

Change View

About This Item

NACRES:
NA.41
UNSPSC Code:
12352203
Clone:
polyclonal
Species reactivity:
human, mouse, rat
Application:
IF, IHC, IP, WB
Citations:
-
Technical Service
Need help? Our team of experienced scientists is here for you.
Let Us Assist


biological source

rabbit

Quality Level

antibody form

affinity isolated antibody

antibody product type

primary antibodies

clone

polyclonal

form

buffered aqueous solution

mol wt

38, 40, 43

species reactivity

human, mouse, rat

concentration

3.36 mg/ml

technique(s)

immunofluorescence: 1:100-1:200, immunohistochemistry: 1:50-1:100, immunoprecipitation (IP): 1:50-1:100, western blot: 1:500-1:2000

UniProt accession no.

shipped in

wet ice

storage temp.

−20°C

target post-translational modification

phosphorylation (pTyr204)

Gene Information

human ... MAPK3(5595)

General description

The protein encoded by this gene is a member of the MAP kinase family. MAP kinases, also known as extracellular signal-regulated kinases (ERKs), act in a signaling cascade that regulates various cellular processes such as proliferation, differentiation, and cell cycle progression in response to a variety of extracellular signals. This kinase is activated by upstream kinases, resulting in its translocation to the nucleus where it phosphorylates nuclear targets. Alternatively spliced transcript variants encoding different protein isoforms have been described.

Immunogen

A synthetic phosphorylated peptide around Y204 of human MAPK3 (NP_002737.2).

Physical form

PBS with 0.02% sodium azide,50% glycerol,pH7.3.

Preparation Note

Store at -20℃. Avoid freeze / thaw cycles.


Still not finding the right product?

Try our Product Selector Tool to narrow your options


Storage Class

12 - Non Combustible Liquids

wgk

WGK 1

flash_point_f

Not applicable

flash_point_c

Not applicable



Choose from one of the most recent versions:

Certificates of Analysis (COA)

Lot/Batch Number

It looks like we've run into a problem, but you can still download Certificates of Analysis from our Documents section.

If you need assistance, please contact Customer Support

Already Own This Product?

Find documentation for the products that you have recently purchased in the Document Library.

Visit the Document Library



Global Trade Item Number

SKUGTIN
SAB5700341-100UL04065265172868