Skip to Content
Merck

SAB4300463

Anti-NRAS Antibody

rabbit polyclonal

Synonym(s):

Anti-FLJ26075 antibody produced in rabbit, Anti-MAPKK1 antibody produced in rabbit, Anti-MAPKK2 antibody produced in rabbit, Anti-MEK1 antibody produced in rabbit, Anti-mitogen-activated protein kinase kinase 1 / 2 antibody produced in rabbit

Sign In to View Organizational & Contract Pricing.

Select a Size

Change View

About This Item

UNSPSC Code:
12352203
NACRES:
NA.41
MDL number:
Conjugate:
unconjugated
Clone:
polyclonal
Application:
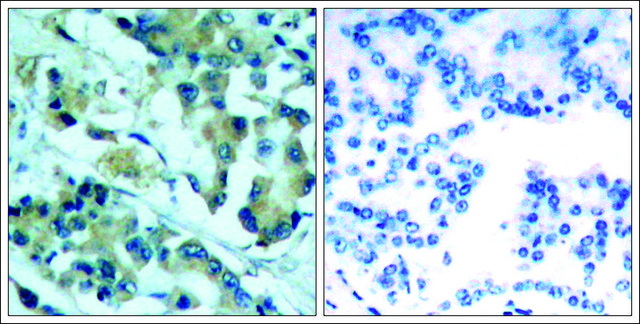
IF, IHC (p), WB
Citations:
-
Technical Service
Need help? Our team of experienced scientists is here for you.
Let Us Assist


Product Name

Anti-MAP2K1/MAP2K2 (Ab-217/221) antibody produced in rabbit, affinity isolated antibody

biological source

rabbit

Quality Level

conjugate

unconjugated

antibody form

affinity isolated antibody

antibody product type

primary antibodies

clone

polyclonal

form

buffered aqueous solution

mol wt

~45 kDa

species reactivity

rat, human, mouse

concentration

1 mg/mL

technique(s)

immunohistochemistry (formalin-fixed, paraffin-embedded sections): 1:50-1:100, indirect immunofluorescence: 1:100-1:200, western blot: 1:500-1:1000

isotype

IgG

immunogen sequence

(I-D-S-M-A)

NCBI accession no.

UniProt accession no.

shipped in

wet ice

storage temp.

−20°C

target post-translational modification

unmodified

Gene Information

General description

Catalyzes the concomitant phosphorylation of a threonine and a tyrosine residue in a Thr-Glu-Tyr sequence located in MAP kinases. Activates ERK1 and ERK2 MAP kinases.

Immunogen

Peptide sequence around aa. 215-219/219-223 (I-D-S-M-A), according to the proteins MAP2K1/MAP2K2.

Features and Benefits

Evaluate our antibodies with complete peace of mind. If the antibody does not perform in your application, we will issue a full credit or replacement antibody. Learn more.

Physical form

Solution in phosphate-buffered saline containing 0.02% sodium azide and 50% glycerol

Disclaimer

Unless otherwise stated in our catalog or other company documentation accompanying the product(s), our products are intended for research use only and are not to be used for any other purpose, which includes but is not limited to, unauthorized commercial uses, in vitro diagnostic uses, ex vivo or in vivo therapeutic uses or any type of consumption or application to humans or animals.


Still not finding the right product?

or

Try our Product Selector Tool to narrow your options


Storage Class

10 - Combustible liquids

wgk

WGK 1

flash_point_f

Not applicable

flash_point_c

Not applicable



Choose from one of the most recent versions:

Certificates of Analysis (COA)

Lot/Batch Number

It looks like we've run into a problem, but you can still download Certificates of Analysis from our Documents section.

If you need assistance, please contact Customer Support

Already Own This Product?

Find documentation for the products that you have recently purchased in the Document Library.

Visit the Document Library



Global Trade Item Number

SKUGTIN
SAB4300463-100UG04061832704210