Skip to Content
Merck

SAB4300404

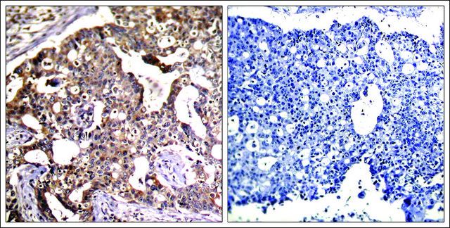
Anti-MAP2K4 (Ab-80) antibody produced in rabbit

affinity isolated antibody

Synonym(s):

Anti-JNKK antibody produced in rabbit, Anti-JNKK1 antibody produced in rabbit, Anti-MAPKK4 antibody produced in rabbit, Anti-MEK4 antibody produced in rabbit, Anti-mitogen-activated protein kinase kinase 4 antibody produced in rabbit

Sign In to View Organizational & Contract Pricing.

Select a Size

Change View

About This Item

UNSPSC Code:
12352203
NACRES:
NA.41
MDL number:
Conjugate:
unconjugated
Clone:
polyclonal
Application:
IHC (p), WB
Citations:
-
Technical Service
Need help? Our team of experienced scientists is here for you.
Let Us Assist


biological source

rabbit

Quality Level

conjugate

unconjugated

antibody form

affinity isolated antibody

antibody product type

primary antibodies

clone

polyclonal

form

buffered aqueous solution

mol wt

~44 kDa

species reactivity

human, rat, mouse

concentration

1 mg/mL

technique(s)

immunohistochemistry (formalin-fixed, paraffin-embedded sections): 1:50-1:100, western blot: 1:500-1:1000

isotype

IgG

immunogen sequence

(T-H-S-I-E)

NCBI accession no.

UniProt accession no.

shipped in

wet ice

storage temp.

−20°C

target post-translational modification

unmodified

Gene Information

human ... MAP2K4(6416)

General description

Dual specificity kinase that activates the JUN kinases MAPK8 (JNK1) and MAPK9 (JNK2) as well as MAPK14 (p38) but not MAPK1 (ERK2) or MAPK3 (ERK1).

Immunogen

Peptide sequence around aa. 78-82 (T-H-S-I-E), according to the protein MAP2K4.

Features and Benefits

Evaluate our antibodies with complete peace of mind. If the antibody does not perform in your application, we will issue a full credit or replacement antibody. Learn more.

Physical form

Solution in phosphate-buffered saline containing 0.02% sodium azide and 50% glycerol


Still not finding the right product?

Try our Product Selector Tool to narrow your options


Storage Class

10 - Combustible liquids

wgk

WGK 1

flash_point_f

Not applicable

flash_point_c

Not applicable



Choose from one of the most recent versions:

Certificates of Analysis (COA)

Lot/Batch Number

It looks like we've run into a problem, but you can still download Certificates of Analysis from our Documents section.

If you need assistance, please contact Customer Support

Already Own This Product?

Find documentation for the products that you have recently purchased in the Document Library.

Visit the Document Library



Global Trade Item Number

SKUGTIN
SAB4300404-100UG04061831497045