Skip to Content
Merck

SAB2702186

Sigma-Aldrich

Monoclonal Anti-Citrate synthetase antibody produced in mouse

clone GT1761, affinity isolated antibody

Sign Into View Organizational & Contract Pricing

Select a Size


About This Item

UNSPSC Code:
12352203
NACRES:
NA.41
Technical Service
Need help? Our team of experienced scientists is here for you.
Let Us Assist
Technical Service
Need help? Our team of experienced scientists is here for you.
Let Us Assist

biological source

mouse

Quality Level

conjugate

unconjugated

antibody form

affinity isolated antibody

antibody product type

primary antibodies

clone

GT1761, monoclonal

form

buffered aqueous solution

mol wt

52kDa

species reactivity

zebrafish, mouse, human, rat

concentration

1mg/mL

technique(s)

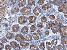
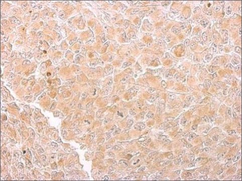
immunohistochemistry (formalin-fixed, paraffin-embedded sections): suitable
indirect immunofluorescence: suitable
western blot: 500-3000

isotype

IgG2a

UniProt accession no.

shipped in

wet ice

storage temp.

−20°C

target post-translational modification

unmodified

Gene Information

human ... CS(1431)

Immunogen

Recombinant protein encompassing a sequence within the center region of human Citrate synthetase.

Application

Suggested starting dilutions are as follows: ICC/IF: 1:100-1:1000, IHC-P: 1:100-1:1000, WB: 1:500-1:3000. Not yet tested in other applications. Optimal working dilutions should be determined experimentally by the end user.

Biochem/physiol Actions

The protein encoded by this gene is a Krebs tricarboxylic acid cycle enzyme that catalyzes the synthesis of citrate from oxaloacetate and acetyl coenzyme A. The enzyme is found in nearly all cells capable of oxidative metablism. This protein is nuclear encoded and transported into the mitochondrial matrix, where the mature form is found. [provided by RefSeq]

Features and Benefits

Evaluate our antibodies with complete peace of mind. If the antibody does not perform in your application, we will issue a full credit or replacement antibody. Learn more.

Physical form

Phosphate-buffered saline, no preservative added.

Other Notes

Purification: Affinity purified by Protein G

Disclaimer

Unless otherwise stated in our catalog or other company documentation accompanying the product(s), our products are intended for research use only and are not to be used for any other purpose, which includes but is not limited to, unauthorized commercial uses, in vitro diagnostic uses, ex vivo or in vivo therapeutic uses or any type of consumption or application to humans or animals.

Not finding the right product?  

Try our Product Selector Tool.

Storage Class Code

12 - Non Combustible Liquids

WGK

nwg

Flash Point(F)

Not applicable

Flash Point(C)

Not applicable


Choose from one of the most recent versions:

Certificates of Analysis (COA)

Lot/Batch Number

Don't see the Right Version?

If you require a particular version, you can look up a specific certificate by the Lot or Batch number.

Already Own This Product?

Find documentation for the products that you have recently purchased in the Document Library.

Visit the Document Library

Our team of scientists has experience in all areas of research including Life Science, Material Science, Chemical Synthesis, Chromatography, Analytical and many others.

Contact Technical Service