HPA021146
Anti-ATXN2 antibody produced in rabbit

affinity isolated antibody, buffered aqueous glycerol solution, Ab3
Synonym(s):
Anti-Ataxin-2, Anti-Spinocerebellar ataxia type 2 protein, Anti-Trinucleotide repeat-containing gene 13 protein
biological source
rabbit
Quality Level
conjugate
unconjugated
antibody form
affinity isolated antibody
antibody product type
primary antibodies
clone
polyclonal
form
buffered aqueous glycerol solution
species reactivity
human
enhanced validation
orthogonal RNAseq
independent
Learn more about Antibody Enhanced Validation
technique(s)
immunoblotting: 0.04-0.4 μg/mL
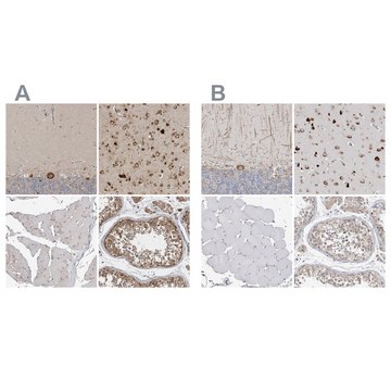
immunohistochemistry: 1:500-1:1000
immunogen sequence
RHPRNHRVSAGRGSISSGLEFVSHNPPSEAATPPVARTSPSGGTWSSVVSGVPRLSPKTHRPRSPRQNSIGNTPSGPVLASPQAGIIPTEAVAMPIPAASPTPASPASNRAVTPSSEAKDSRLQDQRQNSPAGNKENIKPNET
UniProt accession no.
shipped in
wet ice
storage temp.
−20°C
target post-translational modification
unmodified
Gene Information
human ... ATXN2(6311)
Related Categories
General description
Immunogen
Application
Immunofluorescence (1 paper)
Biochem/physiol Actions
Features and Benefits
Every Prestige Antibody is tested in the following ways:
- IHC tissue array of 44 normal human tissues and 20 of the most common cancer type tissues.
- Protein array of 364 human recombinant protein fragments.
Physical form
Other Notes
Legal Information
Disclaimer
Not finding the right product?
Try our Product Selector Tool.
Storage Class Code
10 - Combustible liquids
WGK
WGK 1
Flash Point(F)
Not applicable
Flash Point(C)
Not applicable
Choose from one of the most recent versions:
Already Own This Product?
Find documentation for the products that you have recently purchased in the Document Library.
Our team of scientists has experience in all areas of research including Life Science, Material Science, Chemical Synthesis, Chromatography, Analytical and many others.
Contact Technical Service