Skip to Content
Merck

AV38276

Sigma-Aldrich

Anti-TEAD4 antibody produced in rabbit

affinity isolated antibody

Synonym(s):

Anti-TEA domain family member 4

Sign Into View Organizational & Contract Pricing

Select a Size


About This Item

UNSPSC Code:
12352203
NACRES:
NA.41
Technical Service
Need help? Our team of experienced scientists is here for you.
Let Us Assist
Technical Service
Need help? Our team of experienced scientists is here for you.
Let Us Assist

biological source

rabbit

Quality Level

conjugate

unconjugated

antibody form

affinity isolated antibody

antibody product type

primary antibodies

clone

polyclonal

form

buffered aqueous solution

mol wt

48 kDa

species reactivity

rabbit, mouse, dog, human, guinea pig, rat, horse, bovine

concentration

0.5 mg - 1 mg/mL

technique(s)

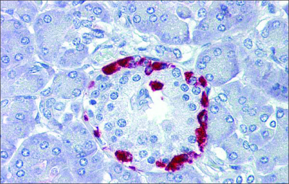
immunohistochemistry: suitable
western blot: suitable

NCBI accession no.

UniProt accession no.

shipped in

wet ice

storage temp.

−20°C

target post-translational modification

unmodified

Gene Information

human ... TEAD4(7004)

Related Categories

Immunogen

Synthetic peptide directed towards the C terminal region of human TEAD4

Biochem/physiol Actions

TEAD4 is a member of the transcriptional enhancer factor (TEF) family. The family members contain the TEA/ATTS DNA-binding domain. TEAD4 is preferentially expressed in skeletal muscle, and binds to the M-CAT regulatory element which directs muscle-specific gene expression. TEAD4 is encoded through the use of a non-AUG (TTG) translation initiation codon. This gene encodes a member of the transcriptional enhancer factor (TEF) family. The family members contain the TEA/ATTS DNA-binding domain. This member is preferentially expressed in skeletal muscle, and binds to the M-CAT regulatory element which directs muscle-specific gene expression. The protein is encoded through the use of a non-AUG (TTG) translation initiation codon. Three alternatively spliced transcript variants encoding distinct isoforms have been found for this gene.

Physical form

Purified antibody supplied in 1x PBS buffer with 0.09% (w/v) sodium azide and 2% sucrose.

Other Notes

Synthetic peptide located within the following region: MMNSVLENFTILQVVTNRDTQETLLCIAYVFEVSASEHGAQHHIYRLVKE

Disclaimer

Unless otherwise stated in our catalog or other company documentation accompanying the product(s), our products are intended for research use only and are not to be used for any other purpose, which includes but is not limited to, unauthorized commercial uses, in vitro diagnostic uses, ex vivo or in vivo therapeutic uses or any type of consumption or application to humans or animals.

Not finding the right product?  

Try our Product Selector Tool.

Storage Class Code

10 - Combustible liquids

WGK

WGK 2

Flash Point(F)

Not applicable

Flash Point(C)

Not applicable


Choose from one of the most recent versions:

Certificates of Analysis (COA)

Lot/Batch Number

Don't see the Right Version?

If you require a particular version, you can look up a specific certificate by the Lot or Batch number.

Already Own This Product?

Find documentation for the products that you have recently purchased in the Document Library.

Visit the Document Library

Our team of scientists has experience in all areas of research including Life Science, Material Science, Chemical Synthesis, Chromatography, Analytical and many others.

Contact Technical Service