Skip to Content
Merck

AV32512

Sigma-Aldrich

Anti-HEY1 antibody produced in rabbit

IgG fraction of antiserum

Synonym(s):

Anti-Hairy/enhancer-of-split related with YRPW motif 1

Sign Into View Organizational & Contract Pricing

Select a Size


About This Item

UNSPSC Code:
12352203
NACRES:
NA.41
Technical Service
Need help? Our team of experienced scientists is here for you.
Let Us Assist
Technical Service
Need help? Our team of experienced scientists is here for you.
Let Us Assist

antibody form

IgG fraction of antiserum

Quality Level

antibody product type

primary antibodies

clone

polyclonal

form

buffered aqueous solution

mol wt

32 kDa

species reactivity

human

concentration

0.5 mg - 1 mg/mL

technique(s)

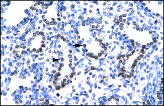
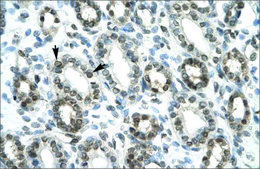
immunohistochemistry: suitable
western blot: suitable

NCBI accession no.

UniProt accession no.

shipped in

wet ice

storage temp.

−20°C

target post-translational modification

unmodified

Gene Information

human ... HEY1(23462)

General description

Hairy/enhancer-of-split related with YRPW motif 1 (HEY1, HESR1, HERP2, HRT1, CHF2), a basic helix-loop-helix (bHLH)-type transcription factor/repressor, is a downstream effector of Notch and c-Jun signaling. HEY1/HESR1 is involved in the regulation of cardiovascular, skeletal muscle, osteoblast, osteoclast, chondrocyte and neural development. HEY1/HESR1 is a repressor of myoblast differentiation/myogenesis and human dopamine transporter (DAT1) gene expression.

Immunogen

Synthetic peptide directed towards the C-terminal region of Human HEY1

Application

Rabbit polyclonal anti-HEY1/HESR1 antibody is used to tag Hairy/enhancer-of-split related with YRPW motif 1 for detection and quantitation by immunocytochemical and immunohistochemical (IHC) techniques. It is used as a probe to determine the presence and roles of Hairy/enhancer-of-split related with YRPW motif 1 in cardiovascular, skeletal muscle, osteoblast, osteoclast, chondrocyte and neural development.

Biochem/physiol Actions

Hairy/enhancer of split-related proteins, such as HEY1, are basic helix-loop-helix (bHLH) transcription factors implicated in cell fate decision and boundary formation. HEY genes are direct transcriptional targets of the Notch signaling pathways in Drosophila and vertebrates.
Rabbit polyclonal anti-HEY1/HESR1 antibody reacts with human, mouse, rat, bovine, and canine Hairy/enhancer-of-split related with YRPW motif 1 transcription factors.

Physical form

Purified antibody supplied in 1x PBS buffer with 0.09% (w/v) sodium azide and 2% sucrose.

Other Notes

Synthetic peptide located within the following region: PQNGHGNAGTTASPTEPHHQGRLGSAHPEAPALRAPPSGSFGPVLPVVTS

Disclaimer

Unless otherwise stated in our catalog or other company documentation accompanying the product(s), our products are intended for research use only and are not to be used for any other purpose, which includes but is not limited to, unauthorized commercial uses, in vitro diagnostic uses, ex vivo or in vivo therapeutic uses or any type of consumption or application to humans or animals.

Not finding the right product?  

Try our Product Selector Tool.

Storage Class Code

10 - Combustible liquids

WGK

WGK 1

Flash Point(F)

Not applicable

Flash Point(C)

Not applicable


Choose from one of the most recent versions:

Certificates of Analysis (COA)

Lot/Batch Number

Don't see the Right Version?

If you require a particular version, you can look up a specific certificate by the Lot or Batch number.

Already Own This Product?

Find documentation for the products that you have recently purchased in the Document Library.

Visit the Document Library

Our team of scientists has experience in all areas of research including Life Science, Material Science, Chemical Synthesis, Chromatography, Analytical and many others.

Contact Technical Service