Skip to Content
Merck

MABN1545

Anti-MRP2 Antibody, clone 4C9.2

clone 4C9.2, from mouse

Synonym(s):

Canalicular multispecific organic anion transporter 1, ATP-binding cassette sub-family C member 2, Canalicular multidrug resistance protein, cMRP, Multidrug resistance-associated protein 2

Sign In to View Organizational & Contract Pricing.

Select a Size

Change View

About This Item

UNSPSC Code:
12352203
NACRES:
NA.41
eCl@ss:
32160702
Conjugate:
unconjugated
Clone:
4C9.2, monoclonal
Application:
IHC, WB
Citations:
-
Technical Service
Need help? Our team of experienced scientists is here for you.
Let Us Assist


biological source

mouse

Quality Level

conjugate

unconjugated

antibody form

purified antibody

antibody product type

primary antibodies

clone

4C9.2, monoclonal

species reactivity

human

technique(s)

immunohistochemistry: suitable (paraffin), western blot: suitable

isotype

IgG2bκ

NCBI accession no.

UniProt accession no.

shipped in

ambient

target post-translational modification

unmodified

Gene Information

human ... ABCC2(1244)

General description

Canalicular multispecific organic anion transporter 1 (UniProt Q92887; also known as ATP-binding cassette sub-family C member 2, Canalicular multidrug resistance protein, cMRP, Multidrug resistance-associated protein 2) is encoded by the ABCC2 (also known as CMOAT, CMOAT1, CMRP, DJS, MRP2) gene (Gene ID 1244) in human. MRP2/ABCC2 belongs to the family of human ATP-binding cassette (ABC) transporters that are classified into seven subfamilies from ABC-A to ABC-G based on their sequence similarities. P-glycoprotein (P-gp/ABCB1), MRP2/ABCC2, and breast cancer resistance protein (BCRP/ABCG2) are well known plasma membrane ABC transporters that mediate the export of intracellular drugs, drug conjugates and metabolites. MRP2/ABCC2 is the second member of the ABCC subfamily of 13 transporters (ABCC1 to ABCC13). MRP2 is expressed in the apical hepatocyte plasma membrane, renal proximal tubules and small intestine, where it plays a role in the elimination and oral bioavailability of drugs, xenotoxins and their metabolites. MRP2 primarily functions as an organic anion transporter to mediate the elimination of bile acids, GSH and conjugated metabolites of numerous drugs and other xenobiotics. Weakly basic drugs appear to be co-transported with GSH by MRP2. Methotrexate, anthracyclines (doxorubicin, epirubicin), mitoxantrone, cisplatin, and etoposide are well known chemotherapeutic substrates of MRP2. MRP2 contains 17-transmembrane helices (a.a. 28-48, 69-89, 94-114, 127-147, 166-186, 314-334, 361-381, 438-458, 462-482, 545-565, 588-608, 972-992, 1034-1054, 1098-1118, 1120-1140, 1212-1232, 1235-1255), having its N-terminal end (a.a. 1-27) exposed extracellularly and C-terminal end (a.a. 1256-1545) at the cytoplasmic side. Two conserved nucleotide-binding domains (NBDs; a.a. 671-678 and 1334-1341) mediate the binding and hydrolyzing ATP via an ATPase, thereby providing energy for substrates export from the cytoplasm to the extracellular space.
~175-260 kDa observed. 174.2 kDa calculated. Larger-than-calculated sizes and smeary banding pattern are consistent with the detection of differentially glycosylated MRP2 species. Uncharacterized bands may be observed in some lysate(s).

Immunogen

GST-tagged recombinant fragment corresponding to the third cytoplasmic domain of human MRP2.

Application

Anti-MRP2, clone 4C9.2, Cat. No. MABN1545, is a highly specific mouse monoclonal antibody, that targets ABCC2 and has been tested in Immunohistochemistry (Paraffin) and Western Blotting.
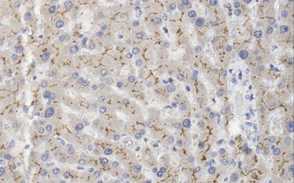
Immunohistochemistry Analysis: A 1:50 dilution from a representative lot detected MRP2 in human liver tissue sections.
Research Category
Neuroscience

Biochem/physiol Actions

Clone 4C9.2 targets an epitope within the third cytoplasmic domain of human MRP2.

Physical form

Format: Purified
Protein G purified.
Purified mouse IgG2b in buffer containing 0.1 M Tris-Glycine (pH 7.4), 150 mM NaCl with 0.05% sodium azide.

Preparation Note

Stable for 1 year at 2-8°C from date of receipt.

Analysis Note

Evaluated by Western Blotting in HepG2 cell lysate.

Western Blotting Analysis: 0.1 µg/mL of this antibody detected MRP2 in 10 µg of HepG2 cell lysate.

Other Notes

Concentration: Please refer to lot specific datasheet.

Disclaimer

Unless otherwise stated in our catalog or other company documentation accompanying the product(s), our products are intended for research use only and are not to be used for any other purpose, which includes but is not limited to, unauthorized commercial uses, in vitro diagnostic uses, ex vivo or in vivo therapeutic uses or any type of consumption or application to humans or animals.


Still not finding the right product?

Try our Product Selector Tool to narrow your options


Storage Class

12 - Non Combustible Liquids

wgk

WGK 1

flash_point_f

Not applicable

flash_point_c

Not applicable



Certificates of Analysis (COA)

Search for Certificates of Analysis (COA) by entering the products Lot/Batch Number. Lot and Batch Numbers can be found on a product’s label following the words ‘Lot’ or ‘Batch’.

Already Own This Product?

Find documentation for the products that you have recently purchased in the Document Library.

Visit the Document Library



Global Trade Item Number

SKUGTIN
MABN154504054839056307