Sign In to View Organizational & Contract Pricing.
Select a Size
Change View
About This Item
UNSPSC Code:
12352203
NACRES:
NA.41
eCl@ss:
32160702
Conjugate:
unconjugated
Clone:
DF-5, monoclonal
Application:
FACS, ICC, IF, IHC, WB
Citations:
-
biological source
mouse
Quality Level
conjugate
unconjugated
antibody form
purified immunoglobulin
antibody product type
primary antibodies
clone
DF-5, monoclonal
species reactivity
human
packaging
antibody small pack of 25 μg
technique(s)
flow cytometry: suitable, immunocytochemistry: suitable, immunofluorescence: suitable, immunohistochemistry: suitable, western blot: suitable
isotype
IgG3κ
NCBI accession no.
UniProt accession no.
target post-translational modification
unmodified
Gene Information
human ... ANPEP(290)
General description
109.54 kDa calculated.
Aminopeptidase N (UniProt: P15144; also known as EC:3.4.11.2, AP-N, hAPN, Alanyl aminopeptidase, Aminopeptidase M, AP-M, Microsomal aminopeptidase, Myeloid plasma membrane glycoprotein CD13, gp150, CD13) is encoded by the ANPEP (also known as APN, CD13, PEPN) gene (Gene ID: 290) in human. Aminopeptidase N is a single-pass type II membrane protein that is also found as a soluble form in cells. It is widely expressed as a homodimer of 280 kDa on the cell surface in many tissues, including intestinal epithelia and the nervous system. It serves as a broad specificity aminopeptidase that plays a role in the final digestion of peptides generated from hydrolysis of proteins by gastric and pancreatic proteases. It preferentially cleaves N-terminus neutral amino acids, most notably alanine residue. Aminopeptidase N is involved in many physiological processes, including antigen presentation regulation, differentiation, proliferation, apoptosis, cancer metastasis, and angiogenesis. It is also involved in the processing of various peptides including peptide hormones, such as angiotensin III and IV, neuropeptides, and chemokines. Human Aminopeptidase N consists of a short N-terminal cytoplasmic end (aa 2-8), a transmembrane domain (aa 9-32), and a large extracellular portion (aa 33-967), which is composed of a Ser/Thr-rich region (aa 33-68) and the metalloprotease domain (aa 69-967).
Immunogen
Crude cell membrane fraction from adult human papillary and reticular dermal fibroblasts.
Application
Immunohistochemistry Analysis: A 1:50 dilution from a representative lot detected APN/CD13 in human prostate tissue.
Flow Cytometry Analysis: A representative lot detected APN/CD13 in Flow Cytometry applications (Sorrell, J.M., et. al. (2003). Exp Dematol. 12(3):315-23).
Immunofluorescence Analysis: A representative lot detected APN/CD13 in Immunofluorescence applications (Sorrell, J.M., et. al. (2003). Exp Dematol. 12(3):315-23; Sorrell, J.M., et. al. (2007). Cell Tissue Res. 327(3):499-510).
Western Blotting Analysis: A representative lot detected APN/CD13 in Western Blotting applications (Sorrell, J.M., et. al. (2003). Exp Dematol. 12(3):315-23).
Immunocytochemistry Analysis: A 1:50 dilution from a representative lot detected APN/CD13 in PC3 cell line.
Flow Cytometry Analysis: A representative lot detected APN/CD13 in Flow Cytometry applications (Sorrell, J.M., et. al. (2003). Exp Dematol. 12(3):315-23).
Immunofluorescence Analysis: A representative lot detected APN/CD13 in Immunofluorescence applications (Sorrell, J.M., et. al. (2003). Exp Dematol. 12(3):315-23; Sorrell, J.M., et. al. (2007). Cell Tissue Res. 327(3):499-510).
Western Blotting Analysis: A representative lot detected APN/CD13 in Western Blotting applications (Sorrell, J.M., et. al. (2003). Exp Dematol. 12(3):315-23).
Immunocytochemistry Analysis: A 1:50 dilution from a representative lot detected APN/CD13 in PC3 cell line.
Research Category
Inflammation & Immunology
Inflammation & Immunology
This mouse monoclonal Anti-APN/CD13, clone DF-5, Cat. No. MABF2078, detects Aminopeptidase N and has been tested for use in Flow cytometry, Immunocytochemistry, Immunofluorescence, Immunohistochemistry, and Western Blotting.
Biochem/physiol Actions
Clone DF-5 specifically detects aminopeptidase N in human cells.
Physical form
Format: Purified
Protein G purified
Purified mouse monoclonal antibody IgG3 in buffer containing 0.1 M Tris-Glycine (pH 7.4), 150 mM NaCl with 0.05% sodium azide.
Preparation Note
Stable for 1 year at 2-8°C from date of receipt.
Analysis Note
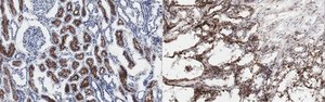
Evaluated by Immunohistochemistry in human kidney tissue.
Immunohistochemistry Analysis: A 1:250 dilution of this antibody detected APN/CD13 in human kidney tissue.
Immunohistochemistry Analysis: A 1:250 dilution of this antibody detected APN/CD13 in human kidney tissue.
Other Notes
Concentration: Please refer to lot specific datasheet.
Disclaimer
Unless otherwise stated in our catalog or other company documentation accompanying the product(s), our products are intended for research use only and are not to be used for any other purpose, which includes but is not limited to, unauthorized commercial uses, in vitro diagnostic uses, ex vivo or in vivo therapeutic uses or any type of consumption or application to humans or animals.
Still not finding the right product?
Try our Product Selector Tool to narrow your options
Storage Class
12 - Non Combustible Liquids
wgk
WGK 1
flash_point_f
Not applicable
flash_point_c
Not applicable
Certificates of Analysis (COA)
Search for Certificates of Analysis (COA) by entering the products Lot/Batch Number. Lot and Batch Numbers can be found on a product’s label following the words ‘Lot’ or ‘Batch’.
Already Own This Product?
Find documentation for the products that you have recently purchased in the Document Library.
Global Trade Item Number
| SKU | GTIN |
|---|---|
| MABF2078-100UG | 04054839431890 |