Skip to Content
Merck

ABS2107M

Anti-phospho-CaMKII beta (Ser331)

from rabbit, purified by affinity chromatography

Synonym(s):

Calcium/calmodulin-dependent protein kinase type II subunit beta, EC: 2.7.11.17, CaM kinase II subunit beta, CaMK-II beta

Sign In to View Organizational & Contract Pricing.

Select a Size

Change View

About This Item

UNSPSC Code:
12352203
NACRES:
NA.41
eCl@ss:
32160702
Clone:
polyclonal
Species reactivity:
rat
Application:
ICC, WB
Citations:
-
Technical Service
Need help? Our team of experienced scientists is here for you.
Let Us Assist


biological source

rabbit

Quality Level

antibody form

affinity isolated antibody

antibody product type

primary antibodies

clone

polyclonal

purified by

affinity chromatography

species reactivity

rat

species reactivity (predicted by homology)

human (based on 100% sequence homology)

packaging

antibody small pack of 25 μL

technique(s)

immunocytochemistry: suitable, western blot: suitable

isotype

IgG

NCBI accession no.

UniProt accession no.

target post-translational modification

phosphorylation (pSer331)

Gene Information

rat ... Camk2B(24245)

General description

Calcium/calmodulin-dependent protein kinase type II subunit beta (UniProt: P08413; also known as EC: 2.7.11.17, CaM kinase II subunit beta, CaMK-II subunit beta) is encoded by the Camk2b gene (Gene ID: 24245) in rat. CaM kinase II is one of the most widely studied multi-functional enzyme. It is found in high concentrations in the brain and in some regions it may constitute up to 2% of the total protein content. CaM kinase II is a complex of about 12 subunits, which exist in four differentially expressed forms (alpha, beta, gamma, and delta). CaMKII beta contains an auto-inhibitory domain (aa 283-293), a calmodulin-binding domain (aa 291-301) and a unique C-terminal association domain responsible for oligomerization. It is activated Ca2+/calmodulin and binding of calmodulin results in conformational change that relieves intrasteric autoinhibition and allows autophosphorylation of Thr-287 which turns the kinase in a constitutively active form and confers to the kinase a Ca2+-independent activity that persists even after withdrawal of calcium. Phosphorylation of Thr-287 locks the kinase into an activated state. CaM Kinase II typically recognizes the phosphorylation site sequence Arg-X-X-Ser/Thr. It prefers arginine in the P3 position, which is reported to make an electrostatic contact with Glu96 in the catalytic core.
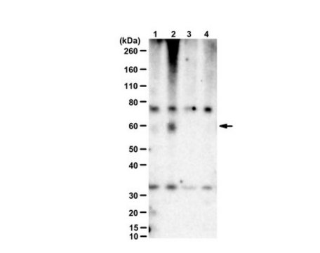
~60 kDa observed; 60.40 kDa calculated. Uncharacterized bands may be observed in some lysate(s).

Immunogen

A linear peptide corresponding to 10 amino acids surrounding phopho serine 331 of rat CaM Kinase II beta.

Application

Anti-phospho-CaMKII beta (Ser331), Cat. No. ABS2107, is a highly specific rabbit polyclonal antibody that targets Calcium/calmodulin-dependent protein kinase type II subunit beta (CaMK-II subunit beta) and has been tested for use in Immunocytochemistry and Western Blotting.
Western Blotting Analysis: A representative lot detected phospho-CaMKII beta (Ser331) in HEK293T cells transfected with CaMKII WT or mutants (Kim, K., et. al. (2015). Neuron. 87(4):813-26).

Immunocytochemistry Analysis: A representative lot detected phospho-CaMKII beta (Ser331) in dissociated hippocampal neurons (Kim, K., et. al. (2015). Neuron. 87(4):813-26).

Biochem/physiol Actions

This rabbit polyclonal antibody detects beta subunit of CaM Kinase II when phosphorylated on Ser331.

Analysis Note

Evaluated by Western Blotting in HEK293T cells transfected with CaMKII WT or mutant S331A.

Western Blotting Analysis: A 1:500 dilution of this antibody detected phospho-CaMKII beta (Ser331) in HEK293T cells transfected with CaMKII WT, but not the mutant S331A.

Other Notes

Concentration: Please refer to lot specific datasheet.


Still not finding the right product?

Try our Product Selector Tool to narrow your options


Storage Class

12 - Non Combustible Liquids

wgk

WGK 1

flash_point_f

Not applicable

flash_point_c

Not applicable



Certificates of Analysis (COA)

Search for Certificates of Analysis (COA) by entering the products Lot/Batch Number. Lot and Batch Numbers can be found on a product’s label following the words ‘Lot’ or ‘Batch’.

Already Own This Product?

Find documentation for the products that you have recently purchased in the Document Library.

Visit the Document Library



Global Trade Item Number

SKUGTIN
ABS210704054839352546
ABS2107-25UL04054839505584