콘텐츠로 건너뛰기
Merck

ZRB3153

Anti-NF1 Antibody, clone 2N2 ZooMAb® Rabbit Monoclonal

newenhanced validation
greener alternative

recombinant, expressed in HEK 293 cells

동의어(들):

Neurofibromatosis-related protein NF-1, Neurofibromin

로그인조직 및 계약 가격 보기

크기 선택


제품정보 (DICE 배송 시 비용 별도)

UNSPSC 코드:
12352203
기술 서비스
도움이 필요하신가요? 저희 숙련된 과학자 팀이 도와드리겠습니다.
도움 문의
기술 서비스
도움이 필요하신가요? 저희 숙련된 과학자 팀이 도와드리겠습니다.
도움 문의

생물학적 소스

rabbit

Quality Level

재조합

expressed in HEK 293 cells

결합

unconjugated

항체 형태

purified antibody

항체 생산 유형

primary antibodies

클론

2N2, recombinant monoclonal

설명

recombinant, expressed in HEK 293 cells

제품 라인

ZooMAb® learn more

양식

lyophilized

분자량

calculated mol wt 319.37 kDa
observed mol wt ~320 kDa

정제법

using Protein A

종 반응성

human

종 반응성(상동성에 의해 예측)

mouse, bovine, rat

포장

antibody small pack of 25

환경친화적 대안 제품 특성

Waste Prevention
Designing Safer Chemicals
Design for Energy Efficiency
Learn more about the Principles of Green Chemistry.

향상된 검증

recombinant expression
Learn more about Antibody Enhanced Validation

sustainability

Greener Alternative Product

농도

0.3 mg/mL

기술

affinity binding assay: suitable
immunohistochemistry: suitable
western blot: suitable

동형

IgG

에피토프 서열

C-terminal

단백질 ID 수납 번호

UniProt 수납 번호

환경친화적 대안 카테고리

배송 상태

ambient

저장 온도

2-8°C

유전자 정보

human ... NF1(4763)

관련 카테고리

일반 설명

Neurofibromin (UniProt: P21359; also known as Neurofibromatosis-related protein NF-1) is encoded by the NF1 gene (Gene ID: 4763) in human. Neurofibromin is a GTPase-activating protein (GAP) that negatively regulates RAS/MAK signaling pathway by enhancing the hydrolysis of Ras-bound GTP. Hence, it can display tumor suppressor properties. Neurofibromin is widely expressed in brain, peripheral nerves, lung, colon, breast, and muscle tissues. It is primarily located in the cytoplasm and the plasma membrane of cells, with some presence in the nucleus. Neurofibromin has a Ras-GTP domain localized to amino acids 1235-1451. It also has a CRAL-TRIO domain (aa 1580-1738) that facilitates its binding to phospholipids. It binds primarily glycerophospholipids with monounsaturated C18:1 and/or C16:1 fatty acid moieties and a phosphatidylethanolamine or phosphatidylcholine head group. Six different isoforms of Neurofibromin have been described that are produced by alternative splicing. Neurofibromin has also been shown to serve as an estrogen receptor alpha (ER-a) transcriptional co-repressor through leucine/isoleucine-rich motifs, and this activity is independent of the GAP activity. Its depletion can thus cause estradiol hypersensitivity and tamoxifen agonism, which correlate with poor outcomes seen in ER+ breast cancer patients. Germline NF1 loss-of-function mutations in NF1 gene are known to cause Neurofibromatosis type I that involved tumors in the peripheral nervous system and fibromatous skin tumors. Somatic NF1 loss is also frequently detected in a wide range of tumors. Some mutations are also known to cause colorectal cancer and juvenile leukemia. This ZooMAb® recombinant monoclonal antibody, generated by our proprietary technology, offers significantly enhanced specificity, affinity, reproducibility, and stability over conventional monoclonals. (Ref.: Rossi, S., et al. (2018). Mod. Pathol. 31(1), 160-168).
We are committed to bringing you greener alternative products, which adhere to one or more of the 12 Principles of Green Chemistry. This antibody is preservative-free, produced without the harm or sacrifice of animals and exceptionally stable to allow for ambient shipping and storage if needed, and thus aligns with "Waste Prevention", "Designing Safer Chemicals" and "Design for Energy Efficiency". Click here for more information.
ZooMAb® antibodies represent an entirely new generation of recombinant monoclonal antibodies. Each ZooMAb® antibody is manufactured using our proprietary recombinant expression system, purified to homogeneity, and precisely dispensed to produce robust and highly reproducible lot-to-lot consistency. Only top-performing clones are released for use by researchers. Each antibody is validated for high specificity and affinity across multiple applications, including its most commonly used application. ZooMAb® antibodies are reliably available and ready to ship when you need them.

면역원

KLH-conjugated linear peptide corresponding to 25 amino acids from the C-terminal region of human NF1.

애플리케이션

Quality Control Testing

Evaluated by Western Blotting in nuclear extract from U-2 OS cells.

Western Blotting Analysis: A 1:1,000 dilution of this antibody detected NF1 in nuclear extract from U-2 OS cells.

Tested Applications

Western Blotting Analysis: A 1:1,000 dilution from a representative lot detected NF1 in nuclear extract from HEK-293 cells.

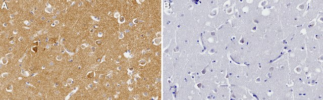
Immunohistochemistry (Paraffin) Analysis: A 1:100 dilution from a representative lot detected NF1 in human cerebral cortex tissue sections.

Affinity Binding Assay: A representative lot of this antibody bound NF1 peptide with at least ten thousand-fold (10,000X) higher affinity than with non-specific control peptide.

Note: Actual optimal working dilutions must be determined by end user as specimens, and experimental conditions may vary with the end user.

생화학적/생리학적 작용

Clone 2N2 is a ZooMAb® recombinant rabbit monoclonal antibody that specifically detects NF1. It targets an epitope within 25 amino acids from the C-terminal region.

물리적 형태

Purified recombinant rabbit monoclonal antibody IgG, lyophilized in PBS with 5% Trehalose, normal appearance a coarse or translucent resin. The PBS/trehalose components in the ZooMAb formulation can have the appearance of a semi-solid (bead like gel) after lyophilization. This is a normal phenomenon. Please follow the recommended reconstitution procedure in the data sheet to dissolve the semi-solid, bead-like, gel-appearing material. The resulting antibody solution is completely stable and functional as proven by full functional testing. Contains no biocide or preservatives, such as azide, or any animal by-products. Larger pack sizes provided as multiples of 25 µL.

제조 메모

300 µg/mL after reconstitution at 25 µL per vial. Please refer to guidance on suggested starting dilutions and/or titers per application and sample type.
Recommend storage of lyophilized product at 2-8°C; Before reconstitution, micro-centrifuge vials briefly to spin down material to bottom of the vial; Reconstitute each vial by adding 25 µL of filtered lab grade water or PBS; Reconstituted antibodies can be stored at 2-8°C, or -20°C for long term storage. Avoid repeated freeze-thaws.

법적 정보

ZooMAb is a registered trademark of Merck KGaA, Darmstadt, Germany

면책조항

Unless otherwise stated in our catalog or other company documentation accompanying the product(s), our products are intended for research use only and are not to be used for any other purpose, which includes but is not limited to, unauthorized commercial uses, in vitro diagnostic uses, ex vivo or in vivo therapeutic uses or any type of consumption or application to humans or animals.

적합한 제품을 찾을 수 없으신가요?  

당사의 제품 선택기 도구.을(를) 시도해 보세요.


가장 최신 버전 중 하나를 선택하세요:

시험 성적서(COA)

Lot/Batch Number

It looks like we've run into a problem, but you can still download Certificates of Analysis from our 문서 section.

도움이 필요하시면 연락하세요. 고객 지원 부서

이 제품을 이미 가지고 계십니까?

문서 라이브러리에서 최근에 구매한 제품에 대한 문서를 찾아보세요.

문서 라이브러리 방문

자사의 과학자팀은 생명 과학, 재료 과학, 화학 합성, 크로마토그래피, 분석 및 기타 많은 영역을 포함한 모든 과학 분야에 경험이 있습니다..

고객지원팀으로 연락바랍니다.