콘텐츠로 건너뛰기
Merck

ZRB2822

Sigma-Aldrich

Anti-CYP11A1 Antibody, clone 2M5 ZooMAb® Rabbit Monoclonal

enhanced validation
greener alternative

recombinant, expressed in HEK 293 cells

동의어(들):

CYPXIA1, Cholesterol desmolase, Cholesterol side-chain cleavage enzyme, mitochondrial, Cytochrome P450 11A1, Cytochrome P450(scc), EC:1.14.15.6

로그인조직 및 계약 가격 보기

크기 선택


제품정보 (DICE 배송 시 비용 별도)

UNSPSC 코드:
12352203
기술 서비스
도움이 필요하신가요? 저희 숙련된 과학자 팀이 도와드리겠습니다.
도움 문의
기술 서비스
도움이 필요하신가요? 저희 숙련된 과학자 팀이 도와드리겠습니다.
도움 문의

생물학적 소스

rabbit

Quality Level

재조합

expressed in HEK 293 cells

결합

unconjugated

항체 형태

purified antibody

항체 생산 유형

primary antibodies

클론

2M5, recombinant monoclonal

설명

recombinant, expressed in HEK 293 cells

제품 라인

ZooMAb® learn more

양식

lyophilized

분자량

calculated mol wt 60.1 kDa
observed mol wt ~52 kDa

정제법

using Protein A

종 반응성

human

종 반응성(상동성에 의해 예측)

chimpanzee

포장

antibody small pack of 25

환경친화적 대안 제품 특성

Waste Prevention
Designing Safer Chemicals
Design for Energy Efficiency
Learn more about the Principles of Green Chemistry.

향상된 검증

recombinant expression
Learn more about Antibody Enhanced Validation

sustainability

Greener Alternative Product

기술

affinity binding assay: suitable
immunofluorescence: suitable
immunohistochemistry: suitable
western blot: suitable

동형

IgG

에피토프 서열

N-terminal half

단백질 ID 수납 번호

UniProt 수납 번호

환경친화적 대안 카테고리

배송 상태

ambient

저장 온도

2-8°C

유전자 정보

human ... CYP11A1(1583)

일반 설명

Cholesterol side-chain cleavage enzyme, mitochondrial (UniProt: P05108; also known as EC:1.14.15.6, CYPXIA1, Cholesterol desmolase, Cytochrome P450 11A1, Cytochrome P450(scc)) is encoded by the CYP11A1 (also known as CYP11A) gene (Gene ID: 1583) in human. This gene encodes a member of the cytochrome P450 superfamily of enzymes. The cytochrome P450 proteins are monooxygenases that catalyze many reactions involved in drug metabolism and synthesis of cholesterol, steroids and other lipids. This protein localizes to the mitochondrial inner membrane and catalyzes the conversion of cholesterol to pregnenolone, the first and rate-limiting step in the synthesis of the steroid hormones. Two transcript variants encoding different isoforms have been found for this gene. The cellular location of the smaller isoform is unclear since it lacks the mitochondrial-targeting transit peptide. Its highly expressed in steroidogenic tissues such as the adrenal cortex, ovaries, and testes. Its expression is regulated by trophic hormones like ACTH in the adrenal cortex and LH in the gonads. Mutations in the CYP11A1 gene can lead to defects in steroid hormone biosynthesis, resulting in CAH, a condition characterized by impaired adrenal function. Altered expression of CYP11A1 has been implicated in the pathogenesis of PCOS, affecting steroid hormone levels. Studies show that artemisinins promoted cytochrome P450 family 11 subfamily A member 1 (CYP11A1) protein degradation to block androgen overproduction. This ZooMAb® recombinant monoclonal antibody, generated by our proprietary technology, offers significantly enhanced specificity, affinity, reproducibility, and stability over conventional monoclonals. (Ref.: Liu. Y., et al. (2024). Science, 14;384(6701)).
We are committed to bringing you greener alternative products, which adhere to one or more of the 12 Principles of Green Chemistry. This antibody is preservative-free, produced without the harm or sacrifice of animals and exceptionally stable to allow for ambient shipping and storage if needed, and thus aligns with "Waste Prevention", "Designing Safer Chemicals" and "Design for Energy Efficiency". Click here for more information.
ZooMAb® antibodies represent an entirely new generation of recombinant monoclonal antibodies. Each ZooMAb® antibody is manufactured using our proprietary recombinant expression system, purified to homogeneity, and precisely dispensed to produce robust and highly reproducible lot-to-lot consistency. Only top-performing clones are released for use by researchers. Each antibody is validated for high specificity and affinity across multiple applications, including its most commonly used application. ZooMAb® antibodies are reliably available and ready to ship when you need them.

면역원

KLH-conjugated linear peptide corresponding to 24 amino acids from the N-terminal half of human CYP11A1.

애플리케이션

Quality Control Testing

Evaluated by Western Blotting in human placenta tissue lysate.

Western Blotting Analysis: A 1:10,000 dilution of this antibody detected CYP11A1 protein in human placenta tissue lysate.

Tested Applications

Western Blotting Analysis: A 1:1,000-10,000 dilution from a representative lot detected CYP11A1 in human adrenal and human testis tissue lysate.

Affinity Binding Assay: A representative lot of this antibody bound CYP11A1 peptide with at least ten thousand-fold (10,000X) higher than with non-specific control peptide.

Immunofluorescence Analysis: A 1:1,000 dilution from a representative lot detected CYP11A1 in human adrenal gland tissue sections.

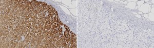
Immunohistochemistry (Paraffin) Analysis (IHC(P)): A 1:1,000 dilution from a representative lot detected CYP11A1 in human adrenal gland tissue sections.

Note: Actual optimal working dilutions must be determined by end user as specimens, and experimental conditions may vary with the end user.

생화학적/생리학적 작용

Clone 2M5 is a ZooMAb® recombinant rabbit monoclonal antibody that specifically detects CYP11A1. It targets an epitope within 24 amino acids from the N-terminal half.

물리적 형태

Purified recombinant rabbit monoclonal antibody IgG, lyophilized in PBS with 5% Trehalose, normal appearance a coarse or translucent resin. The PBS/trehalose components in the ZooMAb formulation can have the appearance of a semi-solid (bead like gel) after lyophilization. This is a normal phenomenon. Please follow the recommended reconstitution procedure in the data sheet to dissolve the semi-solid, bead-like, gel-appearing material. The resulting antibody solution is completely stable and functional as proven by full functional testing. Contains no biocide or preservatives, such as azide, or any animal by-products. Larger pack sizes provided as multiples of 25 µL.

제조 메모

Recommend storage of lyophilized product at 2-8°C; Before reconstitution, micro-centrifuge vials briefly to spin down material to bottom of the vial; Reconstitute each vial by adding 25 µL of filtered lab grade water or PBS; Reconstituted antibodies can be stored at 2-8°C, or -20°C for long term storage. Avoid repeated freeze-thaws.
Reconstitute lyophilized antibody pellet with 25μL of ultrapure water or Phosphate Buffered Saline (PBS). Please refer to our reconstitution protocol and the specific application guidance on the suggested starting dilutions and sample type.

법적 정보

ZooMAb is a registered trademark of Merck KGaA, Darmstadt, Germany

면책조항

Unless otherwise stated in our catalog or other company documentation accompanying the product(s), our products are intended for research use only and are not to be used for any other purpose, which includes but is not limited to, unauthorized commercial uses, in vitro diagnostic uses, ex vivo or in vivo therapeutic uses or any type of consumption or application to humans or animals.

적합한 제품을 찾을 수 없으신가요?  

당사의 제품 선택기 도구.을(를) 시도해 보세요.

Storage Class Code

11 - Combustible Solids

WGK

WGK 2

Flash Point (°F)

Not applicable

Flash Point (°C)

Not applicable


가장 최신 버전 중 하나를 선택하세요:

시험 성적서(COA)

Lot/Batch Number

It looks like we've run into a problem, but you can still download Certificates of Analysis from our 문서 section.

도움이 필요하시면 연락하세요. 고객 지원 부서

이 제품을 이미 가지고 계십니까?

문서 라이브러리에서 최근에 구매한 제품에 대한 문서를 찾아보세요.

문서 라이브러리 방문

자사의 과학자팀은 생명 과학, 재료 과학, 화학 합성, 크로마토그래피, 분석 및 기타 많은 영역을 포함한 모든 과학 분야에 경험이 있습니다..

고객지원팀으로 연락바랍니다.