콘텐츠로 건너뛰기
Merck

ZRB1806

Sigma-Aldrich

Anti-MerTK Antibody, clone 2E14 ZooMAb® Rabbit Monoclonal

enhanced validation
greener alternative

recombinant, expressed in HEK 293 cells

동의어(들):

Tyrosine-protein kinase Mer;EC:2.7.10.1;Proto-oncogene c-Mer;Receptor tyrosine kinase MerTK

로그인조직 및 계약 가격 보기

크기 선택


제품정보 (DICE 배송 시 비용 별도)

UNSPSC 코드:
12352203
NACRES:
NA.43
기술 서비스
도움이 필요하신가요? 저희 숙련된 과학자 팀이 도와드리겠습니다.
도움 문의
기술 서비스
도움이 필요하신가요? 저희 숙련된 과학자 팀이 도와드리겠습니다.
도움 문의

생물학적 소스

rabbit

Quality Level

재조합

expressed in HEK 293 cells

결합

unconjugated

항체 형태

purified antibody

항체 생산 유형

primary antibodies

클론

2E14, recombinant monoclonal

설명

2E14 Clone

제품 라인

ZooMAb® learn more

양식

lyophilized

분자량

calculated mol wt 110.25 kDa
observed mol wt ~170 kDa

정제법

using Protein A

종 반응성

human, rat

종 반응성(상동성에 의해 예측)

monkey

포장

antibody small pack of 25 μL

환경친화적 대안 제품 특성

Waste Prevention
Designing Safer Chemicals
Design for Energy Efficiency
Learn more about the Principles of Green Chemistry.

향상된 검증

recombinant expression
Learn more about Antibody Enhanced Validation

sustainability

Greener Alternative Product

기술

affinity binding assay: suitable
flow cytometry: suitable
immunohistochemistry: suitable
western blot: suitable

동형

IgG

에피토프 서열

C-terminal cytoplasmic domain

단백질 ID 수납 번호

UniProt 수납 번호

환경친화적 대안 카테고리

배송 상태

ambient

저장 온도

2-8°C

타겟 번역 후 변형

unmodified

유전자 정보

human ... MERTK(10461)

일반 설명

Tyrosine-protein kinase Mer (UniProt: Q12866; also known as EC:2.7.10.1, Proto-oncogene c-Mer, Receptor tyrosine kinase MerTK) is encoded by the MERTK (also known as MER) gene (Gene ID: 10461) in human. MerTK is a single-pass type I membrane glycoprotein that is synthesized with a signal peptide (aa 1-20), which is subsequently cleaved off to generate the mature form that contains an extracellular domain (aa 21-505), a transmembrane domain (aa 506-526), and a cytoplasmic domain (aa 27-999). Its protein kinase domain is localized to amino acids 587-858. MerTK is highly expressed in testis, ovary, prostate, lung, and kidney tissue. Its expression is not observed in normal B- and T-cells but is expressed in several neoplastic B- and T-cell lines. Overexpression of MerTK has also been reported in non-small cell lung cancer (NSCLC). It is involved in the regulation of cell survival, migration, differentiation, and phagocytosis of apoptotic cells. It transduces signals from the extracellular matrix into the cytoplasm by binding to several ligands, including galectin-3, Tubby protein, Tubby-related protein 1, and GAS6, a member of the Axl subfamily of receptor protein-tyrosine kinases. Ligand binding at the cell surface induces autophosphorylation of MerTK on its intracellular domain that provides docking sites for downstream signaling molecules. Its autophosphorylation on tyrosine 749, 753, and 754 in the activation loop imparts full activity. It is also autophosphorylated on tyrosine 872 that leads to recruitment of downstream partners of the signaling cascade such as phospholipase C 2. This ZooMAb® recombinant monoclonal antibody, generated by our propriety technology, offers significantly enhanced specificity, affinity, reproducibility, and stability over conventional monoclonals. (Ref.: Cummings, CT., et al. (2014). Oncotarget, 5(21); 10434-45; Rogers, AEJ., et al. (2012). Oncogene. 31(38): 4171 4181).
We are committed to bringing you greener alternative products, which adhere to one or more of The 12 Principles of Green Chemistry.This antibody is Preservative-free, produced without the harm or sacrifice of animals and exceptionally stable to allow for ambient shipping and storage if needed and thus aligns with "Waste Prevention", "Designing Safer Chemicals" and "Design for Energy Efficiency". Click here for more information.
ZooMAb® antibodies represent an entirely new generation of recombinant monoclonal antibodies.Each ZooMAb® antibody is manufactured using our proprietary recombinant expression system, purified to homogeneity, and precisely dispensed to produce robust and highly reproducible lot-to-lot consistency. Only top-performing clones are released for use by researchers. Each antibody is validated for high specificity and affinity across multiple applications, including its most commonly used application. ZooMAb® antibodies are reliably available and ready to ship when you need them.

면역원

KLH-conjugated linear peptide corresponding to 19 amino acids from the C-terminal, cytoplasmic domain of human Tyrosine-protein kinase Mer (MerTK).

애플리케이션

Quality Control Testing

Evaluated by Western Blotting in HepG2 cell lysate.

Western Blotting Analysis: A 1:1,000 dilution of this antibody detected MerTK in HepG2 cell lysate.

Tested Applications

Western Blotting Analysis: A 1:1,000 dilution from a representative lot detected MerTK in lysates from HEK293 cells and Rat testis tissue.

Affinity Binding Assay: A representative lot of this antibody bound MerTK peptide with a KD of 7.9 x 10-7 in an affinity binding assay.

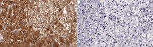
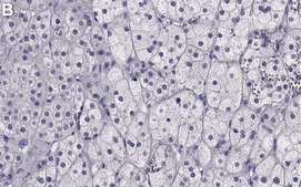
Immunohistochemistry Applications: A representative lot detected MerTK in human adrenal gland tissue sections.

Flow Cytometry Analysis: 0.1 μg from a representative lot detected MerTK in one million U937 cells.

Note: Actual optimal working dilutions must be determined by end user as specimens, and experimental conditions may vary with the end user.

생화학적/생리학적 작용

Clone 2E14 is a ZooMAb® Rabbit recombinant monoclonal antibody that specifically detects Tyrosine-protein kinase Mer (MerTK). It targets an epitope within 19 amino acids from the C-terminal, cytoplasmic domain.

물리적 형태

Purified recombinant rabbit monoclonal antibody IgG, lyophilized in PBS, 5% Trehalose, normal appearance a coarse or translucent resin. The PBS/trehalose components in the ZooMAb formulation can have the appearance of a semi-solid (bead like gel) after lyophilization. This is a normal phenomenon. Please follow the recommended reconstitution procedure in the data sheet to dissolve the semi-solid, bead-like, gel-appearing material. The resulting antibody solution is completely stable and functional as proven by full functional testing. Contains no biocide or preservatives, such as azide, or any animal by-products. Larger pack sizes provided as multiples of 25 μL.

제조 메모

Recommend storage of lyophilized product at 2-8°C; Before reconstitution, micro-centrifuge vials briefly to spin down material to bottom of the vial; Reconstitute each vial by adding 25 μL of filtered lab grade water or PBS; Reconstituted antibodies can be stored at 2-8°C, or -20°C for long term storage. Avoid repeated freeze-thaws.
Reconstitute lyophilized antibody pellet with 25μL of ultrapure water or Phosphate Buffered Saline (PBS). Please refer to our reconstitution protocol and the specific application guidance on the suggested starting dilutions and sample type.

법적 정보

ZooMAb is a registered trademark of Merck KGaA, Darmstadt, Germany

면책조항

Unless otherwise stated in our catalog or other company documentation accompanying the product(s), our products are intended for research use only and are not to be used for any other purpose, which includes but is not limited to, unauthorized commercial uses, in vitro diagnostic uses, ex vivo or in vivo therapeutic uses or any type of consumption or application to humans or animals.

적합한 제품을 찾을 수 없으신가요?  

당사의 제품 선택기 도구.을(를) 시도해 보세요.

Storage Class Code

11 - Combustible Solids

WGK

WGK 1

Flash Point (°F)

Not applicable

Flash Point (°C)

Not applicable


가장 최신 버전 중 하나를 선택하세요:

시험 성적서(COA)

Lot/Batch Number

It looks like we've run into a problem, but you can still download Certificates of Analysis from our 문서 section.

도움이 필요하시면 연락하세요. 고객 지원 부서

이 제품을 이미 가지고 계십니까?

문서 라이브러리에서 최근에 구매한 제품에 대한 문서를 찾아보세요.

문서 라이브러리 방문

자사의 과학자팀은 생명 과학, 재료 과학, 화학 합성, 크로마토그래피, 분석 및 기타 많은 영역을 포함한 모든 과학 분야에 경험이 있습니다..

고객지원팀으로 연락바랍니다.