콘텐츠로 건너뛰기
Merck

SAB2104085

Sigma-Aldrich

Anti-KIF23 antibody produced in rabbit

affinity isolated antibody

동의어(들):

Anti-CHO1, Anti-KNSL5, Anti-MKLP1

로그인조직 및 계약 가격 보기

크기 선택


제품정보 (DICE 배송 시 비용 별도)

MDL number:
UNSPSC 코드:
12352203
NACRES:
NA.41
기술 서비스
도움이 필요하신가요? 저희 숙련된 과학자 팀이 도와드리겠습니다.
도움 문의
기술 서비스
도움이 필요하신가요? 저희 숙련된 과학자 팀이 도와드리겠습니다.
도움 문의

생물학적 소스

rabbit

Quality Level

결합

unconjugated

항체 형태

affinity isolated antibody

항체 생산 유형

primary antibodies

클론

polyclonal

양식

buffered aqueous solution

분자량

98 kDa

종 반응성

rat, human, dog, horse, bovine, mouse, pig, rabbit

농도

0.5 mg - 1 mg/mL

기술

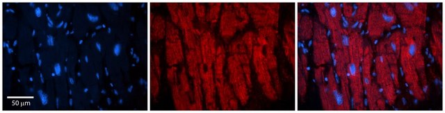
immunohistochemistry: suitable
western blot: suitable

NCBI 수납 번호

UniProt 수납 번호

배송 상태

wet ice

저장 온도

−20°C

타겟 번역 후 변형

unmodified

유전자 정보

human ... KIF23(9493)

면역원

Synthetic peptide directed towards the middle region of human KIF23

생화학적/생리학적 작용

KIF23 is a member of kinesin-like protein family. This family includes microtubule-dependent molecular motors that transport organelles within cells and move chromosomes during cell division. This protein has been shown to cross-bridge antiparallel microtubules and drive microtubule movement in vitro. Alternate splicing of this gene results in two transcript variants encoding two different isoforms. The protein encoded by this gene is a member of kinesin-like protein family. This family includes microtubule-dependent molecular motors that transport organelles within cells and move chromosomes during cell division. This protein has been shown to cross-bridge antiparallel microtubules and drive microtubule movement in vitro. Alternate splicing of this gene results in two transcript variants encoding two different isoforms.

물리적 형태

Purified antibody supplied in 1x PBS buffer with 0.09% (w/v) sodium azide and 2% sucrose.

기타 정보

Synthetic peptide located within the following region: HMQGKLNEKEKMISGQKLEIERLEKKNKTLEYKIEILEKTTTIYEEDKRN

면책조항

Unless otherwise stated in our catalog or other company documentation accompanying the product(s), our products are intended for research use only and are not to be used for any other purpose, which includes but is not limited to, unauthorized commercial uses, in vitro diagnostic uses, ex vivo or in vivo therapeutic uses or any type of consumption or application to humans or animals.

적합한 제품을 찾을 수 없으신가요?  

당사의 제품 선택기 도구.을(를) 시도해 보세요.

Storage Class Code

10 - Combustible liquids

WGK

WGK 3

Flash Point (°F)

Not applicable

Flash Point (°C)

Not applicable


가장 최신 버전 중 하나를 선택하세요:

시험 성적서(COA)

Lot/Batch Number

적합한 버전을 찾을 수 없으신가요?

특정 버전이 필요한 경우 로트 번호나 배치 번호로 특정 인증서를 찾을 수 있습니다.

이 제품을 이미 가지고 계십니까?

문서 라이브러리에서 최근에 구매한 제품에 대한 문서를 찾아보세요.

문서 라이브러리 방문

자사의 과학자팀은 생명 과학, 재료 과학, 화학 합성, 크로마토그래피, 분석 및 기타 많은 영역을 포함한 모든 과학 분야에 경험이 있습니다..

고객지원팀으로 연락바랍니다.