콘텐츠로 건너뛰기
Merck

HPA042451

Sigma-Aldrich

Anti-SETD2 antibody produced in rabbit

Prestige Antibodies® Powered by Atlas Antibodies, affinity isolated antibody, buffered aqueous glycerol solution

동의어(들):

Setd2 Antibody, Setd2 Antibody - Anti-SETD2 antibody produced in rabbit, Anti-Flj23184, Anti-Hif-1, Anti-Hypb, Anti-Kiaa1732, Anti-Kmt3a, Anti-Set domain containing 2

로그인조직 및 계약 가격 보기

크기 선택


제품정보 (DICE 배송 시 비용 별도)

UNSPSC 코드:
12352203
인간 단백질 도해서 번호:
NACRES:
NA.43
기술 서비스
도움이 필요하신가요? 저희 숙련된 과학자 팀이 도와드리겠습니다.
도움 문의
기술 서비스
도움이 필요하신가요? 저희 숙련된 과학자 팀이 도와드리겠습니다.
도움 문의

생물학적 소스

rabbit

Quality Level

결합

unconjugated

항체 형태

affinity isolated antibody

항체 생산 유형

primary antibodies

클론

polyclonal

제품 라인

Prestige Antibodies® Powered by Atlas Antibodies

양식

buffered aqueous glycerol solution

종 반응성

human

기술

immunofluorescence: 0.25-2 μg/mL
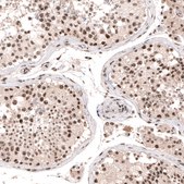
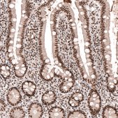
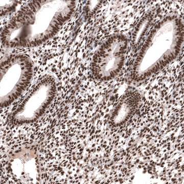
immunohistochemistry: 1:50-1:200

면역원 서열

NLGMTSPLPYDSLGYNAPHHPFAGYPPGYPMQAYVDPSNPNAGKVLLPTPSMDPVCSPAPYDHAQPLVGHSTEPLSAPPPVPVVPHVAAPVEVSSSQYVA

UniProt 수납 번호

배송 상태

wet ice

저장 온도

−20°C

타겟 번역 후 변형

unmodified

유전자 정보

human ... SETD2(29072)

일반 설명

SET domain containing 2 (SETD2) is a histone methyltransferase gene and is mapped on human chromosome 3p21.31, a region associated with growth arrest of cancer cells.

면역원

SET domain containing 2 recombinant protein epitope signature tag (PrEST)

애플리케이션

All Prestige Antibodies® Powered by Atlas Antibodies is developed and validated by the Human Protein Atlas (HPA) project . Each antibody is tested by immunohistochemistry against hundreds of normal and disease tissues. These images can be viewed on the Human Protein Atlas (HPA) site by clicking on the Image Gallery link. We also provide Prestige Antibodies® protocols and other useful information.
Anti-SETD2 antibody produced in rabbit has been used in immunohistochemistry.

생화학적/생리학적 작용

SET domain containing 2 (SETD2) plays a vital role in trimethylation of the histone mark H3K36 (histone 3 lysine 36). Mutation of this tumor suppressor gene (TSG) is associated with the pathogenesis of various cancers including, clear cell renal cell carcinoma (cRCC), breast cancer, lung cancer, acute lymphoblastic leukemia(ALL), and glioma. In addition, SETD2 gene is also involved in the development of Huntington′s disease (HD). SETD2 plays an important role in the transcriptional elongation by maintaining chromatin structure through association with hyperphosphorylated RNA polymerase II (POLR2A). SETD2 interacts with p53 and acts as a tumor suppressor in breast cancer cells. SETD2 is implicated in DNA double-strand break (DSB) exclusion and homologous recombination (HR) repair in human cells. SETD2 in HeLa cells alters nucleosome organization via decreasing the recruitment of the FACT (facilitates chromatin transcription) complex to active genes.

특징 및 장점

Prestige Antibodies® are highly characterized and extensively validated antibodies with the added benefit of all available characterization data for each target being accessible via the Human Protein Atlas portal linked just below the product name at the top of this page. The uniqueness and low cross-reactivity of the Prestige Antibodies® to other proteins are due to a thorough selection of antigen regions, affinity purification, and stringent selection. Prestige antigen controls are available for every corresponding Prestige Antibody and can be found in the linkage section.

Every Prestige Antibody is tested in the following ways:
  • IHC tissue array of 44 normal human tissues and 20 of the most common cancer type tissues.
  • Protein array of 364 human recombinant protein fragments.

물리적 형태

Solution in phosphate buffered saline, pH 7.2, containing 40% glycerol and 0.02% sodium azide.

기타 정보

Corresponding Antigen APREST79513

법적 정보

Prestige Antibodies is a registered trademark of Merck KGaA, Darmstadt, Germany

면책조항

Unless otherwise stated in our catalog or other company documentation accompanying the product(s), our products are intended for research use only and are not to be used for any other purpose, which includes but is not limited to, unauthorized commercial uses, in vitro diagnostic uses, ex vivo or in vivo therapeutic uses or any type of consumption or application to humans or animals.

적합한 제품을 찾을 수 없으신가요?  

당사의 제품 선택기 도구.을(를) 시도해 보세요.

Storage Class Code

10 - Combustible liquids

WGK

WGK 1

Flash Point (°F)

Not applicable

Flash Point (°C)

Not applicable


가장 최신 버전 중 하나를 선택하세요:

시험 성적서(COA)

Lot/Batch Number

적합한 버전을 찾을 수 없으신가요?

특정 버전이 필요한 경우 로트 번호나 배치 번호로 특정 인증서를 찾을 수 있습니다.

이 제품을 이미 가지고 계십니까?

문서 라이브러리에서 최근에 구매한 제품에 대한 문서를 찾아보세요.

문서 라이브러리 방문

SETD2 loss-of-function promotes renal cancer branched evolution through replication stress and impaired DNA repair.
Kanu N
Oncogene null
SETD2-dependent histone H3K36 trimethylation is required for homologous recombination repair and genome stability.
Pfister SX
Cell Reports null
Histone methyltransferase gene SETD2 is a novel tumor suppressor gene in clear cell renal cell carcinoma.
Duns G
Cancer Research null
In Young Park et al.
mAbs, 8(8), 1590-1597 (2016-10-30)
Posttranslational modifications (PTMs) on microtubules differentiate these cytoskeletal elements for a variety of cellular functions. We recently identified SETD2 as a dual-function histone and microtubule methyltransferase, and methylation as a new microtubule PTM that occurs on lysine 40 of α-tubulin
G Martinelli et al.
Leukemia, 32(1), 139-148 (2017-07-01)
The molecular basis of advanced systemic mastocytosis (SM) is not fully understood and despite novel therapies the prognosis remains dismal. Exome sequencing of an index-patient with mast cell leukemia (MCL) uncovered biallelic loss-of-function mutations in the SETD2 histone methyltransferase gene.

자사의 과학자팀은 생명 과학, 재료 과학, 화학 합성, 크로마토그래피, 분석 및 기타 많은 영역을 포함한 모든 과학 분야에 경험이 있습니다..

고객지원팀으로 연락바랍니다.