HPA036985
Anti-GRSF1 antibody produced in rabbit

Prestige Antibodies® Powered by Atlas Antibodies, affinity isolated antibody, buffered aqueous glycerol solution
동의어(들):
Anti-G-rich RNA sequence binding factor 1
생물학적 소스
rabbit
Quality Level
결합
unconjugated
항체 형태
affinity isolated antibody
항체 생산 유형
primary antibodies
클론
polyclonal
제품 라인
Prestige Antibodies® Powered by Atlas Antibodies
양식
buffered aqueous glycerol solution
종 반응성
human
향상된 검증
independent
orthogonal RNAseq
Learn more about Antibody Enhanced Validation
기술
immunoblotting: 0.04-0.4 μg/mL
immunofluorescence: 0.25-2 μg/mL
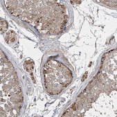
immunohistochemistry: 1:200-1:500
면역원 서열
RRNEVRTHVGSYKGKKIASFPTAKYITEPEMVFEEHEVNEDIQPMTAFESEKEIELPKEVPEKLPEAADFGTTSSLHFVH
UniProt 수납 번호
배송 상태
wet ice
저장 온도
−20°C
타겟 번역 후 변형
unmodified
유전자 정보
human  ...  GRSF1(2926)   
일반 설명
The gene GRSF1 (G-rich RNA sequence binding factor 1) is mapped to human chromosome 4q13. It belongs to the hnRNP (heterogeneous nuclear ribonucleoprotein) F/H RNA binding protein family. The protein has three quasi-RNA-recognition motifs and has high affinity for G-rich sequence. The GRSF1 protein is present in the cytoplasm and mitochondrial matrix. It is ubiquitously expressed.
면역원
G-rich RNA sequence binding factor 1 recombinant protein epitope signature tag (PrEST)
애플리케이션
All Prestige Antibodies®Powered by Atlas Antibodies is developed and validated by the Human Protein Atlas (HPA) project . Each antibody is tested by immunohistochemistry against hundreds of normal and disease tissues. These images can be viewed on the Human Protein Atlas (HPA) site by clicking on the Image Gallery link. We also provide Prestige Antibodies® protocols  and other useful information.
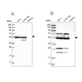
Anti-GRSF1 antibody produced in rabbit has been used in western blotting.
Anti-GRSF1 antibody produced in rabbit has been used in western blotting.
생화학적/생리학적 작용
GRSF1 (G-rich RNA sequence binding factor 1) interacts with cellular and viral mRNAs and brings them to polyribosomes for translation. In the mitochondrial matrix, it controls mitochondrial nascent RNA processing.  
특징 및 장점
Prestige Antibodies® are highly characterized and extensively validated antibodies with the added benefit of all available characterization data for each target being accessible via the Human Protein Atlas portal linked just below the product name at the top of this page. The uniqueness and low cross-reactivity of the Prestige Antibodies® to other proteins are due to a thorough selection of antigen regions, affinity purification, and stringent selection. Prestige antigen controls are available for every corresponding Prestige Antibody and can be found in the linkage section.
Every Prestige Antibody is tested in the following ways:
Every Prestige Antibody is tested in the following ways:
- IHC tissue array of 44 normal human tissues and 20 of the most common cancer type tissues.
 - Protein array of 364 human recombinant protein fragments.
 
물리적 형태
Solution in phosphate buffered saline, pH 7.2, containing 40% glycerol and 0.02% sodium azide.
기타 정보
Corresponding Antigen APREST79742
법적 정보
Prestige Antibodies is a registered trademark of Merck KGaA, Darmstadt, Germany
면책조항
Unless otherwise stated in our catalog or other company documentation accompanying the product(s), our products are intended for research use only and are not to be used for any other purpose, which includes but is not limited to, unauthorized commercial uses, in vitro diagnostic uses, ex vivo or in vivo therapeutic uses or any type of consumption or application to humans or animals.
적합한 제품을 찾을 수 없으신가요?
당사의 제품 선택기 도구.을(를) 시도해 보세요.
Storage Class Code
10 - Combustible liquids
WGK
WGK 1
Flash Point (°F)
Not applicable
Flash Point (°C)
Not applicable
miR-346 and miR-138 competitively regulate hTERT in GRSF1- and AGO2-dependent manners, respectively.
Song G, et al. 
Scientific Reports, 5, 15793-15793 (2015)
A pseudouridine synthase module is essential for mitochondrial protein synthesis and cell viability.
Antonicka H, et al. 
The Embo Journal, 18, 28-38 (2017)
GRSF1 regulates RNA processing in mitochondrial RNA granules.
Jourdain AA, et al. 
Cell Metabolism, 17, 399-410 (2013)
Assignment of GRSF1 encoding a poly(A)+ mRNA binding protein to human chromosome 4q13.
Banga SS, et al. 
Cytogenetics and Cell Genetics, 73, 295-296 (1996)
The mitochondrial RNA-binding protein GRSF1 localizes to RNA granules and is required for posttranscriptional mitochondrial gene expression.
Antonicka H, et al. 
Cell Metabolism, 17, 386-398 (2013)
자사의 과학자팀은 생명 과학, 재료 과학, 화학 합성, 크로마토그래피, 분석 및 기타 많은 영역을 포함한 모든 과학 분야에 경험이 있습니다..
고객지원팀으로 연락바랍니다.