콘텐츠로 건너뛰기
Merck

HPA021488

Sigma-Aldrich

Anti-WIPI2 antibody produced in rabbit

Prestige Antibodies® Powered by Atlas Antibodies, affinity isolated antibody, buffered aqueous glycerol solution, Ab2

동의어(들):

Anti-WD repeat domain phosphoinositide-interacting protein 2, Anti-WIPI-2, Anti-WIPI49-like protein 2

로그인조직 및 계약 가격 보기

크기 선택


제품정보 (DICE 배송 시 비용 별도)

UNSPSC 코드:
12352203
인간 단백질 도해서 번호:
NACRES:
NA.41
기술 서비스
도움이 필요하신가요? 저희 숙련된 과학자 팀이 도와드리겠습니다.
도움 문의
기술 서비스
도움이 필요하신가요? 저희 숙련된 과학자 팀이 도와드리겠습니다.
도움 문의

생물학적 소스

rabbit

Quality Level

결합

unconjugated

항체 형태

affinity isolated antibody

항체 생산 유형

primary antibodies

클론

polyclonal

제품 라인

Prestige Antibodies® Powered by Atlas Antibodies

양식

buffered aqueous glycerol solution

종 반응성

human

기술

immunoblotting: 0.04-0.4 μg/mL
immunofluorescence: 0.25-2 μg/mL
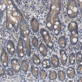
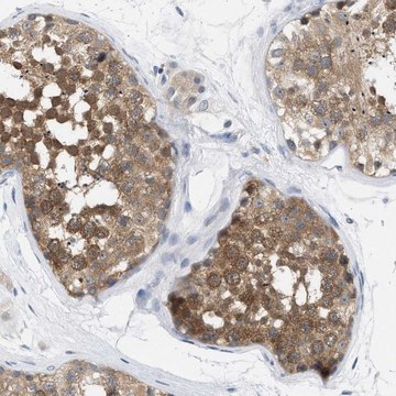
immunohistochemistry: 1:20-1:50

면역원 서열

MKVLHTIRETPPNPAGLCALSINNDNCYLAYPGSATIGEVQVFDTINLRAANMIPAHDSPLAALAFDASGTKLATASEKGTVIRVF

UniProt 수납 번호

배송 상태

wet ice

저장 온도

−20°C

타겟 번역 후 변형

unmodified

유전자 정보

human ... WIPI2(26100)

일반 설명

WD repeat domain, phosphoinositide-interacting 2 belongs to the WIPI protein family. It is localized on the autophagy membrane and plasma membrane. Apart from this, it is also present on the membranes near the golgi cisternae. WIPI2 is a mammalian orthologous of Atg18, which is ubiquitously expressed in variety of cell lines.

면역원

WD repeat domain phosphoinositide-interacting protein 2 recombinant protein epitope signature tag (PrEST)

애플리케이션

Anti-WIPI2 antibody produced in rabbit has been used in immunofluorescence studies. All Prestige Antibodies®Powered by Atlas Antibodies is developed and validated by the Human Protein Atlas (HPA) project . Each antibody is tested by immunohistochemistry against hundreds of normal and disease tissues. These images can be viewed on the Human Protein Atlas (HPA) site by clicking on the Image Gallery link. We also provide Prestige Antibodies® protocols and other useful information.

생화학적/생리학적 작용

WIPI2 (WD repeat domain, phosphoinositide-interacting 2) plays a vital role in the transformation of omegasomes to autophagosomes. The above protein functions as a mammalian effector of phosphatidylinositol 3-phosphate (PtdIns3P). WIPI2 aids recombinant capsid protein VP1 (rVP1) in upregulating autophagy, MAPK1 (Mitogen-Activated Protein Kinase 1)/3 phosphorylation and matrix metallopeptidase 9 (MMP-9) activity, which are required for macrophage migration.

특징 및 장점

Prestige Antibodies® are highly characterized and extensively validated antibodies with the added benefit of all available characterization data for each target being accessible via the Human Protein Atlas portal linked just below the product name at the top of this page. The uniqueness and low cross-reactivity of the Prestige Antibodies® to other proteins are due to a thorough selection of antigen regions, affinity purification, and stringent selection. Prestige antigen controls are available for every corresponding Prestige Antibody and can be found in the linkage section.

Every Prestige Antibody is tested in the following ways:
  • IHC tissue array of 44 normal human tissues and 20 of the most common cancer type tissues.
  • Protein array of 364 human recombinant protein fragments.

물리적 형태

Solution in phosphate-buffered saline, pH 7.2, containing 40% glycerol and 0.02% sodium azide

기타 정보

Corresponding Antigen APREST75038

법적 정보

Prestige Antibodies is a registered trademark of Merck KGaA, Darmstadt, Germany

면책조항

Unless otherwise stated in our catalog or other company documentation accompanying the product(s), our products are intended for research use only and are not to be used for any other purpose, which includes but is not limited to, unauthorized commercial uses, in vitro diagnostic uses, ex vivo or in vivo therapeutic uses or any type of consumption or application to humans or animals.

적합한 제품을 찾을 수 없으신가요?  

당사의 제품 선택기 도구.을(를) 시도해 보세요.

Storage Class Code

10 - Combustible liquids

WGK

WGK 1

Flash Point (°F)

Not applicable

Flash Point (°C)

Not applicable


가장 최신 버전 중 하나를 선택하세요:

시험 성적서(COA)

Lot/Batch Number

적합한 버전을 찾을 수 없으신가요?

특정 버전이 필요한 경우 로트 번호나 배치 번호로 특정 인증서를 찾을 수 있습니다.

이 제품을 이미 가지고 계십니까?

문서 라이브러리에서 최근에 구매한 제품에 대한 문서를 찾아보세요.

문서 라이브러리 방문

Joanna Biazik et al.
Autophagy, 11(3), 439-451 (2015-02-26)
Phagophore nucleates from a subdomain of the endoplasmic reticulum (ER) termed the omegasome and also makes contact with other organelles such as mitochondria, Golgi complex, plasma membrane and recycling endosomes during its formation. We have used serial block face scanning
Ultrastructural relationship of the phagophore with surrounding organelles.
Biazik J
Autophagy, 11(3), 439-451 (2015)
Freeze-fracture replica immunolabelling reveals human WIPI-1 and WIPI-2 as membrane proteins of autophagosomes.
Proikas-Cezanne T
Journal of Cellular and Molecular Medicine, 15(9), 2007-2010 (2011)
Mammalian Atg18 (WIPI2) localizes to omegasome-anchored phagophores and positively regulates LC3 lipidation.
Polson HE
Autophagy, 6(4), 506-522 (2010)
Recombinant protein rVP1 upregulates BECN1-independent autophagy, MAPK1/3 phosphorylation and MMP9 activity via WIPI1/WIPI2 to promote macrophage migration.
Liao CC
Autophagy, 9(1), 5-19 (2013)

자사의 과학자팀은 생명 과학, 재료 과학, 화학 합성, 크로마토그래피, 분석 및 기타 많은 영역을 포함한 모든 과학 분야에 경험이 있습니다..

고객지원팀으로 연락바랍니다.