HPA001616
Anti-KNG1 antibody produced in rabbit

Ab1, Prestige Antibodies® Powered by Atlas Antibodies, affinity isolated antibody, buffered aqueous glycerol solution
동의어(들):
Anti-BDK, Anti-BK, Anti-KNG
생물학적 소스
rabbit
Quality Level
결합
unconjugated
항체 형태
affinity isolated antibody
항체 생산 유형
primary antibodies
클론
polyclonal
제품 라인
Prestige Antibodies® Powered by Atlas Antibodies
양식
buffered aqueous glycerol solution
종 반응성
human
향상된 검증
independent
Learn more about Antibody Enhanced Validation
기술
immunoblotting: 0.04-0.4 μg/mL
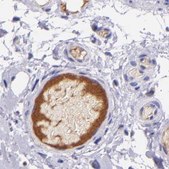
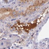
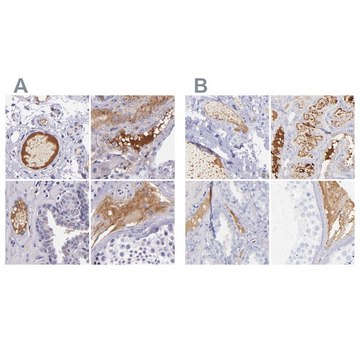
immunohistochemistry: 1:200-1:500
면역원 서열
ALKKYNSQNQSNNQFVLYRITEATKTVGSDTFYSFKYEIKEGDCPVQSGKTWQDCEYKDAAKAATGECTATVGKRSSTKFSVATQTCQITPAEGPVVTAQYDCLGCVHPISTQSPDLEPILRHGIQYFNNN
UniProt 수납 번호
배송 상태
wet ice
저장 온도
−20°C
타겟 번역 후 변형
unmodified
유전자 정보
human ... KNG1(3827)
유사한 제품을 찾으십니까? 방문 제품 비교 안내
면역원
애플리케이션
생화학적/생리학적 작용
특징 및 장점
Every Prestige Antibody is tested in the following ways:
- IHC tissue array of 44 normal human tissues and 20 of the most common cancer type tissues.
- Protein array of 364 human recombinant protein fragments.
물리적 형태
기타 정보
법적 정보
면책조항
적합한 제품을 찾을 수 없으신가요?
당사의 제품 선택기 도구.을(를) 시도해 보세요.
Storage Class Code
10 - Combustible liquids
WGK
WGK 1
Flash Point (°F)
Not applicable
Flash Point (°C)
Not applicable
개인 보호 장비
Eyeshields, Gloves, multi-purpose combination respirator cartridge (US)
자사의 과학자팀은 생명 과학, 재료 과학, 화학 합성, 크로마토그래피, 분석 및 기타 많은 영역을 포함한 모든 과학 분야에 경험이 있습니다..
고객지원팀으로 연락바랍니다.