biological source
rabbit
Quality Level
recombinant
expressed in HEK 293 cells
conjugate
unconjugated
antibody form
purified antibody
antibody product type
primary antibodies
clone
4C17, monoclonal, recombinant monoclonal
product line
ZooMAb® learn more
form
lyophilized
mol wt
calculated mol wt 34.62 kDa, observed mol wt ~42 kDa
species reactivity
human
packaging
antibody small pack of 25 μL
greener alternative product characteristics
Waste Prevention
Designing Safer Chemicals
Design for Energy Efficiency
Learn more about the Principles of Green Chemistry.
enhanced validation
recombinant expression
Learn more about Antibody Enhanced Validation
sustainability
Greener Alternative Product
technique(s)
affinity binding assay: suitable, flow cytometry: suitable, immunocytochemistry: suitable, immunohistochemistry: suitable, western blot: suitable
isotype
IgG
UniProt accession no.
greener alternative category
shipped in
ambient
storage temp.
2-8°C
target post-translational modification
unmodified
Gene Information
human ... NANOG(79923)
General description
Homeobox protein Nanog (UniProt: Q9H9S0; Homeobox transcription factor Nanog, hNanog) is encoded by the NANOG gene (Gene ID: 79923) in human. Nanog is a transcription factor that is involved in the self-renewal of embryonic stem cells (ES) and is a critical factor for the maintenance of the undifferentiated state of pluripotent cells. Along with OCT4 and Sox2 it is responsible for maintaining ES cells in an undifferentiated state. It is expressed in embryonic stem (ES) and carcinoma cells and its expression is observed in inner cell mass (ICM) of the blastocyst and gonocytes between 14 and 19 weeks of gestation. Its expression decreases with ES differentiation. Nanog can autorepress its own expression in differentiating ES cells by binding to its own promoter following interaction with ZNF281/ZFP281, leading to recruitment of the NuRD complex and subsequent repression of expression. Overexpression of Nanog in ES cells maintains specific differentiation, however, its overexpression in cancer stem cells is reported to inhibit apoptosis. Nanog together with OCT4 can activate SNAIL2 and promote metastasis and the EMT phenotype in cancer cells. Nanog can be phosphorylated on serine 52, 71, and 78 and this can regulate its stability. Suppression of MEK/ERKs signaling is shown to enhance Nanog transactivation to inhibit ES cell differentiation. This ZooMAb recombinant monoclonal antibody, generated by our propriety technology, offers significantly enhanced specificity, affinity, reproducibility, and stability over conventional monoclonals. (Ref.: Gawlik-Rzemieniewska, N., and Bednarek, I (2016). Cancer Biol. Ther. 17(1); 1-10; Kim, S-H., et al. (2014). Stem Cell Res. 13(1); 1-11).
We are committed to bringing you greener alternative products, which adhere to one or more of The 12 Principles of Green Chemistry.This antibody is Preservative-free, produced without the harm or sacrifice of animals and exceptionally stable to allow for ambient shipping and storage if needed and thus aligns with "Waste Prevention", "Designing Safer Chemicals" and "Design for Energy Efficiency". Click here for more information.
ZooMAb antibodies represent an entirely new generation of recombinant monoclonal antibodies.
Each ZooMAb antibody is manufactured using our proprietary recombinant expression system, purified to homogeneity, and precisely dispensed to produce robust and highly reproducible lot-to-lot consistency. Only top-performing clones are released for use by researchers. Each antibody is validated for high specificity and affinity across multiple applications, including its most commonly used application. ZooMAb antibodies are reliably available and ready to ship when you need them.
Learn more about ZooMAb here.
Each ZooMAb antibody is manufactured using our proprietary recombinant expression system, purified to homogeneity, and precisely dispensed to produce robust and highly reproducible lot-to-lot consistency. Only top-performing clones are released for use by researchers. Each antibody is validated for high specificity and affinity across multiple applications, including its most commonly used application. ZooMAb antibodies are reliably available and ready to ship when you need them.
Learn more about ZooMAb here.
Immunogen
His-tagged full-length recombinant human Nanog.
Application
Anti-Nanog, clone 4C17 ZooMAb, Cat. No. ZRB1566, is a recombinant Rabbit monoclonal antibody that targets Nanog and is tested for use in Affinity Binding Assay, Flow Cytometry, Immunocytochemistry, Immunohistochemistry, and Western Blotting.
Western Blotting Analysis: A 1:1,000 dilution from a representative lot detected Nanog in H9 cell lysate.
Flow Cytometry Analysis: 1 μg from a representative lot detected Nanog in one million NTERA-2 cells.
Immunocytochemistry Analysis: A 1:100 dilution from a representative lot detected Nanog in NTERA-2 cells.
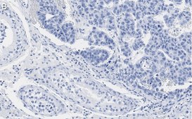
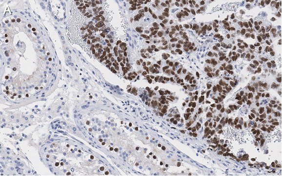
Immunohistochemistry (Paraffin) Analysis: A 1:100 dilution from a representative lot detected Nanog in human testis cancer tissue sections.
Affinity Binding Assay: A representative lot of this antibody bound human recombinant Nanog with a KD of 7.6 x 10-9 in an affinity binding assay.
Note: Actual optimal working dilutions must be determined by end user as specimens, and experimental conditions may vary with the end user
Flow Cytometry Analysis: 1 μg from a representative lot detected Nanog in one million NTERA-2 cells.
Immunocytochemistry Analysis: A 1:100 dilution from a representative lot detected Nanog in NTERA-2 cells.
Immunohistochemistry (Paraffin) Analysis: A 1:100 dilution from a representative lot detected Nanog in human testis cancer tissue sections.
Affinity Binding Assay: A representative lot of this antibody bound human recombinant Nanog with a KD of 7.6 x 10-9 in an affinity binding assay.
Note: Actual optimal working dilutions must be determined by end user as specimens, and experimental conditions may vary with the end user
Biochem/physiol Actions
Clone 4C17 is a ZooMAb rabbit recombinant monoclonal antibody that specifically detects human Nanog.
Physical form
Purified recombinant rabbit monoclonal antibody IgG, lyophilized in PBS, 5% Trehalose, normal appearance a coarse or translucent resin. Contains no biocide or preservatives, such as azide, or any animal by-products. Larger pack sizes provided as multiples of 25 μL.
Preparation Note
Recommend storage of lyophilized product at 2-8°C; Before reconstitution, micro-centrifuge vials briefly to spin down material to bottom of the vial; Reconstitute each vial by adding 25 μL of filtered lab grade water or PBS; Reconstituted antibodies can be stored at 2-8°C, or -20°C for long term storage. Avoid repeated freeze-thaws.
Reconstitute lyophilized antibody pellet with 25μL of ultrapure water or Phosphate Buffered Saline (PBS). Please refer to our reconstitution protocol and the specific application guidance on the suggested starting dilutions and sample type.
Legal Information
ZooMAb is a registered trademark of Merck KGaA, Darmstadt, Germany
Disclaimer
Unless otherwise stated in our catalog or other company documentation accompanying the product(s), our products are intended for research use only and are not to be used for any other purpose, which includes but is not limited to, unauthorized commercial uses, in vitro diagnostic uses, ex vivo or in vivo therapeutic uses or any type of consumption or application to humans or animals.
Still not finding the right product?
제품 선택 도구}를 사용하여 선택의 폭을 좁혀보세요.
저장 등급
11 - Combustible Solids
wgk
WGK 1
flash_point_f
Not applicable
flash_point_c
Not applicable
국제 무역 품목 번호
| SKU | GTIN |
|---|---|
| ZRB1566-4X25UL | 04061842310968 |
| ZRB1566-25UL | 04061842310951 |