콘텐츠로 건너뛰기
Merck

ZMS1053

Anti-Integrin αV Antibody, clone 272-17E6 ZooMAb® Mouse Monoclonal

greener alternative

recombinant, expressed in HEK 293 cells

조직 및 계약 가격을 보려면 로그인를 클릭합니다.

크기 선택

보기 변경

제품정보 (DICE 배송 시 비용 별도)

NACRES:
NA.41
UNSPSC Code:
12352203
Conjugate:
unconjugated
Clone:
272-17E6, recombinant monoclonal, monoclonal
Application:
FACS, ICC, IHC (p)
Citations:
-
기술 서비스
도움이 필요하신가요? 저희 숙련된 과학자 팀이 도와드리겠습니다.
도움 문의


biological source

mouse

Quality Level

recombinant

expressed in HEK 293 cells

conjugate

unconjugated

antibody form

purified antibody

antibody product type

primary antibodies

clone

272-17E6, recombinant monoclonal, monoclonal

product line

ZooMAb® learn more

form

lyophilized

mol wt

calculated mol wt ~116.04 kDa

species reactivity

human

packaging

antibody small pack of 25 μL

greener alternative product characteristics

Waste Prevention
Designing Safer Chemicals
Design for Energy Efficiency
Learn more about the Principles of Green Chemistry.

enhanced validation

recombinant expression
Learn more about Antibody Enhanced Validation

sustainability

Greener Alternative Product

technique(s)

flow cytometry: suitable, immunocytochemistry: suitable, immunohistochemistry (formalin-fixed, paraffin-embedded sections): suitable

isotype

IgG1κ

UniProt accession no.

greener alternative category

shipped in

ambient

storage temp.

2-8°C

target post-translational modification

unmodified

General description

Integrin aV (UniProt: P06756; also known as Vitronectin receptor, Vitronectin receptor subunit alpha, CD51) is encoded by the ITGAV (also known as MSK8, VNRA, VNTR) gene (Gene ID: 3685) in human. Integrins are heterodimeric integral membrane proteins composed of an a subunit and a b subunit that function in cell surface adhesion and signaling. They contain a large extracellular domain responsible for ligand binding, a single transmembrane domain, and a cytoplasmic domain. The exact combination of various a and b-subunits dictates the binding specificity of integrins to different ECM components. Although both subunits are required for adhesion, the binding specificity primarily depends on the extracellular portion of the an a subunit. The structural and functional diversity of the integrin family is based upon the pairing abilities of the individual a and b subunits. Integrins are not constitutively active and their activation from a low ligand-binding affinity state to high ligand-binding affinity state requires conformational change that can originate from either from their cytoplasmic or extracellular interactions. The recognition site for most integrins that bind the ECM consists of an RGD (arginine-glycine-aspartic acid) sequence. Integrin aV is a single-pass membrane glycoprotein that is synthesized with a signal peptide (aa 1-30), which is subsequently cleaved off to generate the mature form. The mature form contains an extracellular domain (aa 31-992), a transmembrane domain (aa 993-1016), and a cytoplasmic domain (aa 1017-1048). The a-subunit is composed of a heavy (aa 31-889) and a light (aa 891-1048) chain linked by a disulfide bond. Integrin aV can associate with b-1, b b-3, b-5, b-6, or b-8 in a non-covalent manner. This ZooMAb® recombinant monoclonal antibody, generated by our propriety technology, offers significantly enhanced specificity, affinity, reproducibility, and stability over conventional monoclonals.
We are committed to bringing you greener alternative products, which adhere to one or more of The 12 Principles of Green Chemistry.This antibody is Preservative-free, produced without the harm or sacrifice of animals and exceptionally stable to allow for ambient shipping and storage if needed and thus aligns with "Waste Prevention", "Designing Safer Chemicals" and "Design for Energy Efficiency". Click here for more information.
ZooMAb antibodies represent an entirely new generation of recombinant monoclonal antibodies.

Each ZooMAb antibody is manufactured using our proprietary recombinant expression system, purified to homogeneity, and precisely dispensed to produce robust and highly reproducible lot-to-lot consistency. Only top-performing clones are released for use by researchers. Each antibody is validated for high specificity and affinity across multiple applications, including its most commonly used application. ZooMAb antibodies are reliably available and ready to ship when you need them.

Immunogen

Full-length purified human Integrin aV.

Application

Quality Control Testing

Evaluated by Immunocytochemistry in A549 cell line.

Immunocytochemistry Analysis: A 1:100 dilution of this antibody detected Integrin aV in A549 cells.

Tested Applications

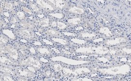
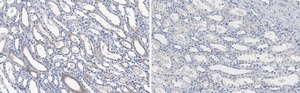
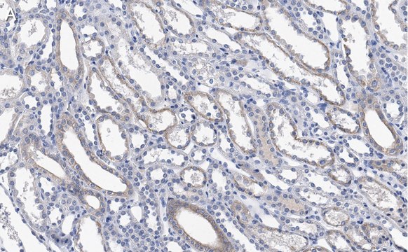
Immunohistochemistry (Paraffin) Analysis: A 1:100 dilution from a representative lot detected Integrin V in human kidney and human placenta tissue sections.

Flow Cytometry Analysis: 0.1 μg from a representative lot detected Integrin V in one million A549 cells.

Note: Actual optimal working dilutions must be determined by end user as specimens, and experimental conditions may vary with the end user
Anti-Integrin aV, clone 272-17E6 ZooMAb®, Cat. No. ZMS1053, is a recombinant Mouse monoclonal antibody that specifically targets Integrin aV and is tested for use in Flow Cytometry, Immunocytochemistry, and Immunohistochemistry (Paraffin).

Biochem/physiol Actions

Clone 272-17E6 is a a ZooMAb® mouse recombinant monoclonal antibody that specifically detects human Integrin aV.

Physical form

Purified recombinant mouse monoclonal antibody IgG, lyophilized in PBS, 5% Trehalose, normal appearance a coarse or translucent resin. Contains no biocide or preservatives, such as azide, or any animal by-products. Larger pack sizes provided as multiples of 25 μL.

Preparation Note

Recommend storage of lyophilized product at 2-8°C; Before reconstitution, micro-centrifuge vials briefly to spin down material to bottom of the vial; Reconstitute each vial by adding 25 μL of filtered lab grade water or PBS; Reconstituted antibodies can be stored at 2-8°C, or -20°C for long term storage. Avoid repeated freeze-thaws.
Reconstitute lyophilized antibody pellet with 25μL of ultrapure water or Phosphate Buffered Saline (PBS). Please refer to our reconstitution protocol and the specific application guidance on the suggested starting dilutions and sample type.

Legal Information

ZooMAb is a registered trademark of Merck KGaA, Darmstadt, Germany

Disclaimer

Unless otherwise stated in our catalog or other company documentation accompanying the product(s), our products are intended for research use only and are not to be used for any other purpose, which includes but is not limited to, unauthorized commercial uses, in vitro diagnostic uses, ex vivo or in vivo therapeutic uses or any type of consumption or application to humans or animals.


Still not finding the right product?

제품 선택 도구}를 사용하여 선택의 폭을 좁혀보세요.


저장 등급

11 - Combustible Solids

wgk

WGK 1

flash_point_f

Not applicable

flash_point_c

Not applicable



가장 최신 버전 중 하나를 선택하세요:

시험 성적서(COA)

Lot/Batch Number

It looks like we've run into a problem, but you can still download Certificates of Analysis from our 문서 section.

도움이 필요하시면 연락하세요. 고객 지원 부서

이 제품을 이미 가지고 계십니까?

문서 라이브러리에서 최근에 구매한 제품에 대한 문서를 찾아보세요.

문서 라이브러리 방문


문서

Learn about the hallmarks of cancer and find reliable ZooMAb® recombinant antibodies to study them, conveniently organized by cancer hallmark.

암의 특징에 대해 알아보고, 암 특징별로 편리하게 정리된 신뢰할 수 있는 ZooMAb® 재조합형 항체를 확인해보세요.





국제 무역 품목 번호

SKUGTIN
ZMS1053-25UL04065265651851
ZMS1053-4X25UL04065265651868