콘텐츠로 건너뛰기
Merck

MABE1820

Sigma-Aldrich

Anti-Neurofibromin C Antibody, clone NFC

clone NFC, from mouse

동의어(들):

Neurofibromatosis-related protein NF-1

로그인조직 및 계약 가격 보기

크기 선택


제품정보 (DICE 배송 시 비용 별도)

UNSPSC 코드:
12352203
eCl@ss:
32160702
NACRES:
NA.41
기술 서비스
도움이 필요하신가요? 저희 숙련된 과학자 팀이 도와드리겠습니다.
도움 문의
기술 서비스
도움이 필요하신가요? 저희 숙련된 과학자 팀이 도와드리겠습니다.
도움 문의

생물학적 소스

mouse

결합

unconjugated

항체 형태

purified immunoglobulin

항체 생산 유형

primary antibodies

클론

NFC, monoclonal

종 반응성

human

포장

antibody small pack of 25 μL

기술

immunohistochemistry: suitable (paraffin)

동형

IgG1κ

UniProt 수납 번호

타겟 번역 후 변형

unmodified

유전자 정보

human ... NF1(4763)

관련 카테고리

일반 설명

319.37 kDa calculated.
Neurofibromin (UniProt: P21359; also known as Neurofibromatosis-related protein NF-1) is encoded by the NF1 gene (Gene ID: 4763) in human. Neurofibromin is a GTPase-activating protein that negatively regulatres RAS/MAOK pathway by enhancing the hydrolysis of Ras-bound GTP. Hence, it can display tumor suppressor properties. Neurofibromin has been detected in brain, peripheral nerves, lung, colon, and muscle tissues. It has a CRAL-TRIO domain (aa 1580-1738) that facilitates its binding to phospholipids. It binds primarily glycerophospholipids with monounsaturated C18:1 and/or C16:1 fatty acid moieties and a phosphatidylethanolamine or phosphatidylcholine head group. Neurofibromin also has a Ras-GTP domain (aa 1235-1451). Mutations in NF1 gene are known to cause Neurofibromatosis type I that involved tumors in the peripheral nervous system and fibromatous skin tumors. Some mutations are also known to cause colorectal cancer and juvenile leukemia. Six different isoforms of Neurofibromin have been described that are produced by alternative splicing. (Ref.: Rossi, S., et al. (2018). Mod. Pathol. 31(1), 160-168).

면역원

Epitope: C-terminus
Recombinant fragment corresponding to 281 amino acids from the C-terminal region of human Neurofibromin C.

애플리케이션

Anti-Neurofibromin C, clone NFC, Cat. No. MABE1820, is a highly specific mouse monoclonal antibody that targets Neurofibromin and has been tested for use in Immunohistochemistry (Paraffin).
Immunohistochemistry (Paraffin) Analysis: A representative lot detected Neurofibromin C in Immunohistochemistry applications (Rossi, S., et. al. (2018). Mod Pathol. 31(1):160-168).
Western Blotting Analysis: A representative lot detected Neurofibromin C lysate from human NF1 +/+ cells, but not in -/- cells or NF1+/+ cells transfected with siRNA targeting neurofibromin (Reuss, DE.,et al., (2014). Acta Neuropathol. 127(4); 565-572).
Research Category
Epigenetics & Nuclear Function

생화학적/생리학적 작용

Clone NFC specifically detects human Neurofibromin C. it targets an epitope with in the C-terminal region.

물리적 형태

Format: Purified
Protein G purified
Purified mouse monoclonal antibody IgG1 in buffer containing 0.1 M Tris-Glycine (pH 7.4), 150 mM NaCl with 0.05% sodium azide.

제조 메모

Stable for 1 year at 2-8°C from date of receipt.

분석 메모

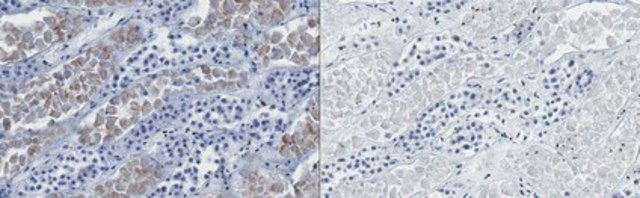
Evaluated by Immunohistochemistry (Paraffin) in human kidney tissue sections.

Immunohistochemistry (Paraffin) Analysis: A 1:50 dilution of this antibody detected Neurofibromin C in human kidney tissue sections.

기타 정보

Concentration: Please refer to lot specific datasheet.

면책조항

Unless otherwise stated in our catalog or other company documentation accompanying the product(s), our products are intended for research use only and are not to be used for any other purpose, which includes but is not limited to, unauthorized commercial uses, in vitro diagnostic uses, ex vivo or in vivo therapeutic uses or any type of consumption or application to humans or animals.

적합한 제품을 찾을 수 없으신가요?  

당사의 제품 선택기 도구.을(를) 시도해 보세요.


시험 성적서(COA)

제품의 로트/배치 번호를 입력하여 시험 성적서(COA)을 검색하십시오. 로트 및 배치 번호는 제품 라벨에 있는 ‘로트’ 또는 ‘배치’라는 용어 뒤에서 찾을 수 있습니다.

이 제품을 이미 가지고 계십니까?

문서 라이브러리에서 최근에 구매한 제품에 대한 문서를 찾아보세요.

문서 라이브러리 방문

Sabrina Rossi et al.
Modern pathology : an official journal of the United States and Canadian Academy of Pathology, Inc, 31(1), 160-168 (2017-09-02)
An increasing body of evidence supports the involvement of NF1 mutations, constitutional or somatic, in the pathogenesis of gastrointestinal stromal tumors (GISTs). Due to the large size of the NF1 locus, the existence of multiple pseudogenes and the wide spectrum

자사의 과학자팀은 생명 과학, 재료 과학, 화학 합성, 크로마토그래피, 분석 및 기타 많은 영역을 포함한 모든 과학 분야에 경험이 있습니다..

고객지원팀으로 연락바랍니다.