콘텐츠로 건너뛰기
Merck

ABT330

Sigma-Aldrich

Anti-TSLP Antibody

from rabbit, purified by affinity chromatography

동의어(들):

TSLP Antibody, Thymic stromal lymphopoietin

로그인조직 및 계약 가격 보기

크기 선택


제품정보 (DICE 배송 시 비용 별도)

UNSPSC 코드:
12352203
eCl@ss:
32160702
NACRES:
NA.41
기술 서비스
도움이 필요하신가요? 저희 숙련된 과학자 팀이 도와드리겠습니다.
도움 문의
기술 서비스
도움이 필요하신가요? 저희 숙련된 과학자 팀이 도와드리겠습니다.
도움 문의

생물학적 소스

rabbit

Quality Level

결합

unconjugated

항체 형태

affinity isolated antibody

항체 생산 유형

primary antibodies

클론

polyclonal

정제법

affinity chromatography

종 반응성

mouse, human

기술

immunofluorescence: suitable
immunohistochemistry: suitable (paraffin)
western blot: suitable

UniProt 수납 번호

배송 상태

wet ice

타겟 번역 후 변형

unmodified

유전자 정보

human ... TSLP(85480)

일반 설명

Thymic stromal lymphopoietin (TSLP) has recently been identified as an important factor capable of driving dendritic cell maturation and activation. TSLP is a four-helix-bundle cytokine that is expressed mainly by barrier epithelial cells and is a potent activator of several cell types such as myeloid dendritic cells. TSLP is involved in the positive selection of regulatory T cells, maintenance of peripheral CD4+ T cell homeostasis and the induction of CD4+ T cell-mediated allergic reaction. TSLP is also capable of supporting the growth of fetal liver and adult B cell progenitors and their differentiation to the IgM-positive stage of B cell development. TSLP is expressed in a number of tissues including heart, liver, and prostate.
~23 kDa observed. The calculated molecular weight of this protein is 18 kDa, but can be observed at ~23 kDa due to high glycosylation.

면역원

Epitope: Intermediate domain
KLH-conjugated linear peptide corresponding to the intermediate domain of human TSLP.

애플리케이션

Detect Thymic stromal lymphopoietin using this rabbit polyclonal antibody, Anti-TSLP Antibody validated for use in western blotting, IHC (Paraffin) & Immunofluorescence.
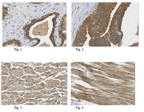
Immunohistochemistry Analysis: A 1:1,000 dilution from a representative lot detected TSLP in human prostate cancer and heart tissues.

Immunofluorescence Analysis: A 20 μg/mL from a representative lot detected TSLP in human brain cells.
Research Category
Cell Structure
Research Sub Category
Adhesion (CAMs)

생화학적/생리학적 작용

This antibody recognizes the intermediate domain of TSLP.

물리적 형태

Antigen Affinity Purified
Purified rabbit polyclonal in buffer containing PBS with up to 0.1% sodium azide.

제조 메모

Stable for 1 year at 2-8°C from date of receipt.

분석 메모

Control
A20 cell lysate
Evaluated by Western Blotting in A20 cell lysate.

Western Blotting Analysis: 2 µg/mL of this antibody detected TSLP in 15 µg of A20 cell lysate.

기타 정보

Concentration: Please refer to the Certificate of Analysis for the lot-specific concentration.

면책조항

Unless otherwise stated in our catalog or other company documentation accompanying the product(s), our products are intended for research use only and are not to be used for any other purpose, which includes but is not limited to, unauthorized commercial uses, in vitro diagnostic uses, ex vivo or in vivo therapeutic uses or any type of consumption or application to humans or animals.

적합한 제품을 찾을 수 없으신가요?  

당사의 제품 선택기 도구.을(를) 시도해 보세요.

Storage Class Code

12 - Non Combustible Liquids

WGK

WGK 2

Flash Point (°F)

Not applicable

Flash Point (°C)

Not applicable


시험 성적서(COA)

제품의 로트/배치 번호를 입력하여 시험 성적서(COA)을 검색하십시오. 로트 및 배치 번호는 제품 라벨에 있는 ‘로트’ 또는 ‘배치’라는 용어 뒤에서 찾을 수 있습니다.

이 제품을 이미 가지고 계십니까?

문서 라이브러리에서 최근에 구매한 제품에 대한 문서를 찾아보세요.

문서 라이브러리 방문

Kathleen M Buchheit et al.
The Journal of allergy and clinical immunology, 137(5), 1566-1576 (2015-12-23)
Prostaglandin (PG) D2 is the dominant COX product of mast cells and is an effector of aspirin-induced respiratory reactions in patients with aspirin-exacerbated respiratory disease (AERD). We evaluated the role of the innate cytokine thymic stromal lymphopoietin (TSLP) acting on
Simon G Royce et al.
FASEB journal : official publication of the Federation of American Societies for Experimental Biology, 33(5), 6402-6411 (2019-02-16)
The airway remodeling (AWR) associated with chronic allergic airways disease (AAD)/asthma contributes to irreversible airway obstruction. This study compared and combined the antiremodeling and other effects of induced pluripotent stem cell and mesenchymoangioblast-derived mesenchymal stem cells (MCA-MSCs) with the corticosteroid
Simon G Royce et al.
FASEB journal : official publication of the Federation of American Societies for Experimental Biology, 33(5), 6402-6411 (2019-02-16)
The airway remodeling (AWR) associated with chronic allergic airways disease (AAD)/asthma contributes to irreversible airway obstruction. This study compared and combined the antiremodeling and other effects of induced pluripotent stem cell and mesenchymoangioblast-derived mesenchymal stem cells (MCA-MSCs) with the corticosteroid

자사의 과학자팀은 생명 과학, 재료 과학, 화학 합성, 크로마토그래피, 분석 및 기타 많은 영역을 포함한 모든 과학 분야에 경험이 있습니다..

고객지원팀으로 연락바랍니다.