콘텐츠로 건너뛰기
Merck

ABS236

Sigma-Aldrich

Anti-Cytochrome P450 (scc) Antibody, a.a. 509-526

from rabbit, purified by affinity chromatography

동의어(들):

Cholesterol side-chain cleavage enzyme, mitochondrial, CYPXIA1, Cholesterol desmolase, Cytochrome P450 11A1, Cytochrome P450(scc)

로그인조직 및 계약 가격 보기

크기 선택


제품정보 (DICE 배송 시 비용 별도)

UNSPSC 코드:
12352203
eCl@ss:
32160702
NACRES:
NA.41
기술 서비스
도움이 필요하신가요? 저희 숙련된 과학자 팀이 도와드리겠습니다.
도움 문의
기술 서비스
도움이 필요하신가요? 저희 숙련된 과학자 팀이 도와드리겠습니다.
도움 문의

생물학적 소스

rabbit

Quality Level

결합

unconjugated

항체 형태

affinity isolated antibody

항체 생산 유형

primary antibodies

클론

polyclonal

정제법

affinity chromatography

종 반응성

rat

기술

immunohistochemistry: suitable (paraffin)
western blot: suitable

NCBI 수납 번호

UniProt 수납 번호

배송 상태

wet ice

타겟 번역 후 변형

unmodified

유전자 정보

일반 설명

As a member of the cytochrome P450 family, Cytochrome P450 Side Chain Cleavage Enzyme (scc) catalyzes the side-chain cleavage reaction of cholesterol to pregnenolone during the first step of steroid biosynthesis. It is expressed in certain organs, such as ovaries, adrenal glands, and testis. Deficiency in CYP11A1 is commonly associated with adrenal insufficiency, and with variable degrees of disorder of sex development (DSD).
~52 kDa observed. On higher percentage gels and longer exposures, 8 kDa cleavage product can be detected.

면역원

KLH-conjugated linear peptide corresponding to the C-terminus of rat Cytochrome P450 (scc), a.a. 509-526.

애플리케이션

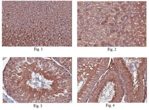
Immunohistochemistry Analysis: A 1:4,000-8,000 dilution from a representative lot detected Cytochrome P450 (scc) in rat adrenal gland and rat testis tissue.
This Cytochrome P450 (scc) antibody is validated for use in WB & IHC for the detection of the Cytochrome P450 (scc) protein.

생화학적/생리학적 작용

This antibody recognizes the C-terminus of Cytochrome P450 (scc), a.a. 509-526.

분석 메모

Control
Rat adrenal tissue lysate
Evaluated by Western Blot in rat adrenal tissue lysate.

Western Blot Analysis: 0.02 µg/mL of this antibody detected Cytochrome P450 (scc) in 10 µg of rat adrenal tissue lysate.

기타 정보

Concentration: Please refer to the Certificate of Analysis for the lot-specific concentration.
Replaces: AB1294

적합한 제품을 찾을 수 없으신가요?  

당사의 제품 선택기 도구.을(를) 시도해 보세요.

Storage Class Code

12 - Non Combustible Liquids

WGK

WGK 1

Flash Point (°F)

Not applicable

Flash Point (°C)

Not applicable


시험 성적서(COA)

제품의 로트/배치 번호를 입력하여 시험 성적서(COA)을 검색하십시오. 로트 및 배치 번호는 제품 라벨에 있는 ‘로트’ 또는 ‘배치’라는 용어 뒤에서 찾을 수 있습니다.

이 제품을 이미 가지고 계십니까?

문서 라이브러리에서 최근에 구매한 제품에 대한 문서를 찾아보세요.

문서 라이브러리 방문

Li Guang-Yu et al.
Molecular reproduction and development, 83(3), 226-235 (2016-03-21)
Myeloid cell leukemia-1 (MCL1), an anti-apoptotic member of the BCL2 family, is expressed abundantly in the testis. Previous characterization revealed that MCL1 is expressed exclusively in the Leydig cells in the mouse testis, yet what it does in these cells
Sheu-Ran Choi et al.
Frontiers in pharmacology, 10, 1439-1439 (2019-12-24)
Research indicates that neurosteroids are locally synthesized in the central nervous system and play an important modulatory role in nociception. While the neurosteroidogenic enzyme, cytochrome P450 side-chain cleavage enzyme (P450scc), is the initiating enzyme of steroidogenesis, P450scc has not been

자사의 과학자팀은 생명 과학, 재료 과학, 화학 합성, 크로마토그래피, 분석 및 기타 많은 영역을 포함한 모든 과학 분야에 경험이 있습니다..

고객지원팀으로 연락바랍니다.