제품 이름
Anti-Aquaporin 4 Antibody, Chemicon®, from rabbit
생물학적 소스
rabbit
Quality Level
항체 형태
affinity isolated antibody
항체 생산 유형
primary antibodies
클론
polyclonal
정제법
affinity chromatography
종 반응성
human, mouse, rat
제조업체/상표
Chemicon®
기술
western blot: suitable
NCBI 수납 번호
UniProt 수납 번호
배송 상태
wet ice
타겟 번역 후 변형
unmodified
유전자 정보
human  ...  AQP4(361)   
일반 설명
Aquaporin-4 (UniProt: P47863; also known as AQP-4, Mercurial-insensitive water channel (MIWC), WCH4) is encoded by the Aqp4 gene (Gene ID: 25293) in rat. Aquaporin-4 is a transmembrane water channel protein predominantly expressed in astrocytes within the central nervous system (CNS), where it plays a critical role in maintaining water homeostasis and supporting key physiological processes. Strategically localized at the perivascular end-feet of astrocytes, Aquaporin-4 facilitates bidirectional water transport across the blood-brain barrier and is integral to the glymphatic system, a clearance pathway responsible for removing interstitial solutes such as amyloid-beta. Dysregulation of Aquaporin-4 has been implicated in numerous neuropathological conditions, including neuromyelitis optica spectrum disorder (NMOSD), Alzheimer′s disease, traumatic brain injury, and brain edema. In NMOSD, autoantibodies targeting Aquaporin-4 lead to astrocyte destruction, inflammation, and central nervous system damage, emphasizing the importance of early and accurate detection methods such as biosensors. Aquaporin-4 isoforms, particularly M23, form supramolecular structures called orthogonal arrays of particles (OAPs), which are crucial for its localization and function. Extended isoforms such as AQP4ex further regulate water channel activity and contribute to amyloid-beta clearance, highlighting their therapeutic potential in neurodegenerative diseases. Redistribution of Aquaporin-4 within astrocytes, often due to disruptions in its anchoring dystrophin-associated protein complex, has been associated with impaired glymphatic function, exacerbating conditions like idiopathic normal pressure hydrocephalus and glioblastoma. (Ref.: Silverglate, B., et al., (2023), Expert Opin.Therap. Targets, 27(7), 523-530; Peng, S., et al., (2023), Neurobiol. Dis. 179, Article 106035; Vandebroek, A., and Yasui, M. (2020), Int. J. Mol. Sci. 21(5); 1603).
Target molecular weight ~32 kDa observed. 34.48 kDa calculated. Uncharacterized bands may be observed in some lysate(s).
면역원
KLH-conjugated linear peptide corresponding to 16 amino acids from the C-terminal cytoplasmic domain of human.
애플리케이션
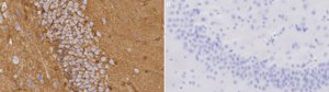
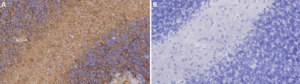
Anti-Aquaporin-4, Cat. No. AB2218 is a rabbit polyclonal antibody that detects Aquaporin-4 and is tested for use in Western Blotting and Immunohistochemistry (Paraffin).
Evaluated by Western Blotting in rat brain tissue lysate. 
Western Blotting Analysis: A 1:1,000 dilution of this antibody detected Aquaporin-4 in rat brain tissue lysate.
Tested applications
Western Blotting Analysis: A 1:1,000 dilution of this antibody detected Aquaporin-4 in human and mouse brain tissue lysate.
Immunohistochemistry (Paraffin) Analysis: A 1:1,000 dilution from a representative lot detected Aquaporin-4 in human, rat, and mouse brain tissue sections.
Note: Actual optimal working dilutions must be determined by end user as specimens, and experimental conditions may vary with the end user.
Western Blotting Analysis: A 1:1,000 dilution of this antibody detected Aquaporin-4 in rat brain tissue lysate.
Tested applications
Western Blotting Analysis: A 1:1,000 dilution of this antibody detected Aquaporin-4 in human and mouse brain tissue lysate.
Immunohistochemistry (Paraffin) Analysis: A 1:1,000 dilution from a representative lot detected Aquaporin-4 in human, rat, and mouse brain tissue sections.
Note: Actual optimal working dilutions must be determined by end user as specimens, and experimental conditions may vary with the end user.
Research Category
Neuroscience
Neuroscience
생화학적/생리학적 작용
This rabbit polyclonal antibody detects Aquaporin-4. It targets an epitope within 16  amino acids from the C-terminal cytoplasmic domain.
물리적 형태
Purified rabbit polyclonal antibody in buffer containing 0.1 M Tris-Glycine (pH 7.4), 150 mM NaCl with 0.05% sodium azide.
제조 메모
Recommended storage: +2°C to +8°C.
분석 메모
Control
Tested on adult rat brain lysate
Tested on adult rat brain lysate
기타 정보
Concentration: Please refer to the Certificate of Analysis for the lot-specific concentration.
Replaces: AB3068
법적 정보
CHEMICON is a registered trademark of Merck KGaA, Darmstadt, Germany
면책조항
Unless otherwise stated in our catalog or other company documentation accompanying the product(s), our products are intended for research use only and are not to be used for any other purpose, which includes but is not limited to, unauthorized commercial uses, in vitro diagnostic uses, ex vivo or in vivo therapeutic uses or any type of consumption or application to humans or animals.
적합한 제품을 찾을 수 없으신가요?
당사의 제품 선택기 도구.을(를) 시도해 보세요.
Storage Class Code
12 - Non Combustible Liquids
WGK
WGK 1
Flash Point (°F)
Not applicable
Flash Point (°C)
Not applicable
시험 성적서(COA)
제품의 로트/배치 번호를 입력하여 시험 성적서(COA)을 검색하십시오. 로트 및 배치 번호는 제품 라벨에 있는 ‘로트’ 또는 ‘배치’라는 용어 뒤에서 찾을 수 있습니다.
Loss of astrocyte polarization upon transient focal brain ischemia as a possible mechanism to counteract early edema formation.
Esther Steiner,Gaby U Enzmann,Shuo Lin,Sharang Ghavampour,Melanie-Jane Hannocks et al. 
Glia null
Evidence of a rudimentary colon in the elasmobranch, Leucoraja erinacea.
Nicole Alexandra Theodosiou,Alyssa Simeone 
Development Genes and Evolution null
Loss of astrocyte polarity marks blood-brain barrier impairment during experimental autoimmune encephalomyelitis.
Karen Wolburg-Buchholz,Andreas F Mack,Esther Steiner,Friederike Pfeiffer et al. 
Acta neuropathologica null
Absence of glial ?-dystrobrevin causes abnormalities of the blood-brain barrier and progressive brain edema.
Lien, CF; Mohanta, SK; Frontczak-Baniewicz, M; Swinny, JD; Zablocka, B; Gorecki, DC 
The Journal of Biological Chemistry null
Stefanie Gurnik et al.
Acta neuropathologica, 131(5), 753-773 (2016-03-05)
The homeostasis of the central nervous system is maintained by the blood-brain barrier (BBB). Angiopoietins (Ang-1/Ang-2) act as antagonizing molecules to regulate angiogenesis, vascular stability, vascular permeability and lymphatic integrity. However, the precise role of angiopoietin/Tie2 signaling at the BBB
자사의 과학자팀은 생명 과학, 재료 과학, 화학 합성, 크로마토그래피, 분석 및 기타 많은 영역을 포함한 모든 과학 분야에 경험이 있습니다..
고객지원팀으로 연락바랍니다.