Skip to Content
Merck

ZRB3226

Anti-CD98/SLC3A2 Antibody, clone 3B15 ZooMAb® Rabbit Monoclonal

enhanced validation
greener alternative

recombinant, expressed in HEK 293 cells

Synonym(s):

4F2 cell-surface antigen heavy chain, 4F2 heavy chain antigen, 4F2hc, Amino acid transporter heavy chain SLC3A2, Lymphocyte activation antigen 4F2 large subunit, Solute carrier family 3 member 2

Sign Into View Organizational & Contract Pricing

Select a Size


About This Item

UNSPSC Code:
12352203
Technical Service
Need help? Our team of experienced scientists is here for you.
Let Us Assist
Technical Service
Need help? Our team of experienced scientists is here for you.
Let Us Assist

biological source

rabbit

Quality Level

recombinant

expressed in HEK 293 cells

conjugate

unconjugated

antibody form

purified antibody

antibody product type

primary antibodies

clone

3B15, recombinant monoclonal

description

recombinant, expressed in HEK 293 cells

product line

ZooMAb® learn more

form

lyophilized

mol wt

calculated mol wt 67.9 kDa
observed mol wt ~68 kDa

purified by

using Protein A

species reactivity

human

packaging

antibody small pack of 25

greener alternative product characteristics

Waste Prevention
Designing Safer Chemicals
Design for Energy Efficiency
Learn more about the Principles of Green Chemistry.

enhanced validation

recombinant expression
Learn more about Antibody Enhanced Validation

sustainability

Greener Alternative Product

technique(s)

affinity binding assay: suitable
flow cytometry: suitable
immunohistochemistry: suitable
western blot: suitable

isotype

IgG

epitope sequence

Internal

Protein ID accession no.

UniProt accession no.

greener alternative category

shipped in

ambient

storage temp.

2-8°C

Gene Information

human ... SLC3A2(6520)

General description

Amino acid transporter heavy chain SLC3A2 (UniProt: P08195; also known as 4F2 cell-surface antigen heavy chain, 4F2hc, 4F2 heavy chain antigen, Lymphocyte activation antigen 4F2 large subunit, Solute carrier family 3 member 2) is encoded by the SLC3A2 (also known as MDU1) gene (Gene ID: 6520) in human. CD98/SLC3A2, is a type II transmembrane protein that consists of a large extracellular domain (aa 102-184), a transmembrane domain (aa 185-205) and a short cytoplasmic tail (aa 206-630). The extracellular region contains multiple domains that facilitate the interaction with other proteins and amino acid transporters. CD98/SLC3A2 forms a heterodimer with light chain amino acid transporters (such as SLC7A5, SLC7A6, SLC7A7, SLC7A8, SLC7A10 and SLC7A11) to create functional amino acid transport systems with different AAT activities. CD98/SLC3A2 functions primarily as a chaperone for light chain transporters, enhancing their stability and activity at the plasma membrane. It plays a critical role in the transport of neutral, basic, and some acidic amino acids across the cell membrane. By facilitating amino acid uptake, CD98/SLC3A2 is involved in various physiological processes, including nutrient absorption and renal reabsorption of aromatic amino acids, protein synthesis, and cell signaling. Altered expression or mutations in SLC3A2 can lead to conditions such as cystinuria and osteoarthritis. In cancer, SLC3A2 is often overexpressed, promoting tumor growth and survival by enhancing amino acid availability for rapidly proliferating cells. This ZooMAb® recombinant monoclonal antibody, generated by our proprietary technology, offers significantly enhanced specificity, affinity, reproducibility, and stability over conventional monoclonals. (Ref.: Xia, R., et al., (2024), Int J Biol Macromol, 260, 129646)
We are committed to bringing you greener alternative products, which adhere to one or more of the 12 Principles of Green Chemistry. This antibody is preservative-free, produced without the harm or sacrifice of animals and exceptionally stable to allow for ambient shipping and storage if needed, and thus aligns with "Waste Prevention", "Designing Safer Chemicals" and "Design for Energy Efficiency". Click here for more information.
ZooMAb® antibodies represent an entirely new generation of recombinant monoclonal antibodies. Each ZooMAb® antibody is manufactured using our proprietary recombinant expression system, purified to homogeneity, and precisely dispensed to produce robust and highly reproducible lot-to-lot consistency. Only top-performing clones are released for use by researchers. Each antibody is validated for high specificity and affinity across multiple applications, including its most commonly used application. ZooMAb® antibodies are reliably available and ready to ship when you need them.

Immunogen

KLH-conjugated linear peptide corresponding to 24 amino acids from the extracellular domain of human CD98/SLC3A2.

Application

Quality Control Testing

Evaluated by Western Blotting in MCF-7 membrane extract.

Western Blotting Analysis: A 1:10,000 dilution of this antibody detected CD98/SLC3A2 in MCF-7 membrane extract.

Tested Applications

Western Blotting Analysis: A 1:10,000 dilution from a representative lot detected CD98/SLC3A2 in HeLa cell membrane and human kidney membrane extract.

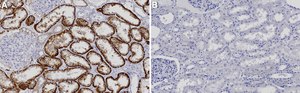
Immunohistochemistry (Paraffin) Analysis: A 1:1,000 dilution from a representative lot detected CD98/SLC3A2 in human kidney tissue sections.

Flow Cytometry Analysis: 1 µg from a representative lot detected CD98/SLC3A3 in one million HeLa cells.

Affinity Binding Assay: A representative lot of this antibody bound with CD98/SLC3A2 peptide with at least one thousand-fold (1,000X) higher than with non-specific control peptide.

Note: Actual optimal working dilutions must be determined by end user as specimens, and experimental conditions may vary with the end user.

Biochem/physiol Actions

Clone 3B15 is a ZooMAb® rabbit recombinant monoclonal antibody that detects CD98/SLC3A2. It targets an epitope within 24 amino acids from the extracellular domain.

Physical form

Purified recombinant rabbit monoclonal antibody IgG, lyophilized in PBS with 5% Trehalose, normal appearance a coarse or translucent resin. The PBS/trehalose components in the ZooMAb formulation can have the appearance of a semi-solid (bead like gel) after lyophilization. This is a normal phenomenon. Please follow the recommended reconstitution procedure in the data sheet to dissolve the semi-solid, bead-like, gel-appearing material. The resulting antibody solution is completely stable and functional as proven by full functional testing. Contains no biocide or preservatives, such as azide, or any animal by-products. Larger pack sizes provided as multiples of 25 µL.

Preparation Note

300 µg/mL after reconstitution at 25 µL per vial. Please refer to guidance on suggested starting dilutions and/or titers per application and sample type.
Recommend storage of lyophilized product at 2-8°C; Before reconstitution, micro-centrifuge vials briefly to spin down material to bottom of the vial; Reconstitute each vial by adding 25 µL of filtered lab grade water or PBS; Reconstituted antibodies can be stored at 2-8°C, or -20°C for long term storage. Avoid repeated freeze-thaws.

Legal Information

ZooMAb is a registered trademark of Merck KGaA, Darmstadt, Germany

Disclaimer

Unless otherwise stated in our catalog or other company documentation accompanying the product(s), our products are intended for research use only and are not to be used for any other purpose, which includes but is not limited to, unauthorized commercial uses, in vitro diagnostic uses, ex vivo or in vivo therapeutic uses or any type of consumption or application to humans or animals.

Not finding the right product?  

Try our Product Selector Tool.


Choose from one of the most recent versions:

Certificates of Analysis (COA)

Lot/Batch Number

It looks like we've run into a problem, but you can still download Certificates of Analysis from our Documents section.

If you need assistance, please contact Customer Support

Already Own This Product?

Find documentation for the products that you have recently purchased in the Document Library.

Visit the Document Library

Our team of scientists has experience in all areas of research including Life Science, Material Science, Chemical Synthesis, Chromatography, Analytical and many others.

Contact Technical Service