ZRB2590
Anti-GDF15/NAG-1 Antibody, clone 1K11 ZooMAb® Rabbit Monoclonal

recombinant, expressed in HEK 293 cells
Synonym(s):
MIC-1, Macrophage inhibitory cytokine 1, NAG-1, NRG-1, NSAID-activated gene 1 protein, NSAID-regulated gene 1 protein, Placental TGF-beta, Placental bone morphogenetic protein, Prostate differentiation factor
Select a Size
About This Item
biological source
rabbit
Quality Level
recombinant
expressed in HEK 293 cells
conjugate
unconjugated
antibody form
purified antibody
antibody product type
primary antibodies
clone
recombinant monoclonal
description
clone 1K11
recombinant, expressed in HEK 293 cells
product line
ZooMAb® learn more
form
lyophilized
mol wt
calculated mol wt 34 kDa
observed mol wt ~34 kDa
purified by
using Protein A
species reactivity
human
packaging
antibody small pack of 25
greener alternative product characteristics
Waste Prevention
Designing Safer Chemicals
Design for Energy Efficiency
Learn more about the Principles of Green Chemistry.
enhanced validation
recombinant expression
Learn more about Antibody Enhanced Validation
sustainability
Greener Alternative Product
technique(s)
affinity binding assay: suitable
flow cytometry: suitable
immunocytochemistry: suitable
immunohistochemistry: suitable
western blot: suitable
isotype
IgG
epitope sequence
C-terminal
Protein ID accession no.
UniProt accession no.
greener alternative category
shipped in
ambient
storage temp.
2-8°C
Gene Information
human ... GDF15(9518)
General description
Immunogen
Application
Evaluated by Western Blotting in LNCap cell lysate.
Western Blotting Analysis: A 1:1,000 dilution of this antibody detected GDF15/NAG-1 in LNCap cell lysate.
Tested Applications
Western Blotting Analysis: A 1:1,000 dilution from a representative lot detected GDF15/NAG-1 in HT-1080 and NCI-H460 cell lysates.
Affinity Binding Assay: A representative lot of this antibody bound GDF15/NAG-1 peptide with a KD of 1.5 x 10-7 in an affinity binding assay.
Flow Cytometry Analysis: 0.1 µg from a representative lot detected GDF15/NAG-1 in one million NCI-H460 cells.
Immunocytochemistry Analysis: A 1:100 dilution from a representative lot detected GDF15/NAG-1 in HepG2 and HT1080 cells.
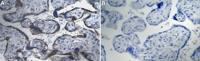
Immunohistochemistry (Paraffin) Analysis: A 1:100 dilution from a representative lot detected GDF15/NAG-1 in Human placenta tissue sections.
Note: Actual optimal working dilutions must be determined by end user as specimens, and experimental conditions may vary with the end user.
Biochem/physiol Actions
Physical form
Preparation Note
Legal Information
Disclaimer
Not finding the right product?
Try our Product Selector Tool.
Storage Class Code
11 - Combustible Solids
WGK
WGK 1
Flash Point(F)
Not applicable
Flash Point(C)
Not applicable
Choose from one of the most recent versions:
Already Own This Product?
Find documentation for the products that you have recently purchased in the Document Library.
Our team of scientists has experience in all areas of research including Life Science, Material Science, Chemical Synthesis, Chromatography, Analytical and many others.
Contact Technical Service