Skip to Content
Merck

ZRB2481

Anti-α Actin 2 Antibody, clone 1C22 ZooMAb® Rabbit Monoclonal

greener alternative

recombinant, expressed in HEK 293 cells

Synonym(s):

Actin aortic smooth muscle, Alpha-actin-2, Cell growth-inhibiting gene 46 protein

Sign In to View Organizational & Contract Pricing.

Select a Size

Change View

About This Item

NACRES:
NA.43
UNSPSC Code:
12352203
Conjugate:
unconjugated
Clone:
1C22, recombinant monoclonal
Application:
ICC, IHC, WB, affinity binding assay
Citations:
-
Technical Service
Need help? Our team of experienced scientists is here for you.
Let Us Assist


biological source

rabbit

Quality Level

recombinant

expressed in HEK 293 cells

conjugate

unconjugated

antibody form

purified antibody

antibody product type

primary antibodies

clone

1C22, recombinant monoclonal

description

recombinant, expressed in HEK 293 cells

product line

ZooMAb® learn more

form

lyophilized

purified by

using Protein A

species reactivity

mouse, human, rat

packaging

antibody small pack of 25 μL

greener alternative product characteristics

Waste Prevention
Designing Safer Chemicals
Design for Energy Efficiency
Learn more about the Principles of Green Chemistry.

enhanced validation

recombinant expression
Learn more about Antibody Enhanced Validation

sustainability

Greener Alternative Product

technique(s)

affinity binding assay: suitable, immunocytochemistry: suitable, immunohistochemistry: suitable, western blot: suitable

isotype

IgG

epitope sequence

N-terminal

Protein ID accession no.

UniProt accession no.

greener alternative category

shipped in

ambient

storage temp.

2-8°C

Gene Information

human ... ACTA2(59)

General description

Actin, aortic smooth muscle (UniProt P62736; also known as Alpha-actin-2, Cell growth-inhibiting gene 46 protein) is encoded by the ACTA2 (also known as AAT6, ACTSA, ACTVS, GIG46, MYMY5) gene (Gene ID 59) in human. Actins are ubiquitous eukaryotic proteins that serve as multi-functional, basic building blocks of cytoskeletal microfilaments. They play critical role in a wide range of cellular processes, including cell division, cell migration, chromatin remodeling, transcriptional regulation, and vesicle trafficking. These functions are attributed to their ability to form filaments, which can quickly assemble and disassemble depending upon the needs of the cell. At least six different actin types have been reported in mammals. Although actins show about 90% overall sequence homology, isoforms do show spatial, temporal, and tissue-specific expression patterns and only 50-60% homology is found in their 18 N-terminal residues. β- and γ-actins, also known as cytoplasmic actins, are highly conserved in higher animals and are predominantly expressed in non-muscle cells where they control cell structure and motility. They are nearly identical proteins and differ only in four amino acids at the N-terminal region. The other four actin isoforms are typically found in specific adult muscle tissue types. α-cardiac and α-skeletal actins are expressed in striated cardiac and skeletal muscles, respectively.  α and γ-actins are primarily found in vascular smooth muscle and enteric smooth muscles, respectively. α Actin 2 expression has been observed in neural stem cells (NSC) and its downregulation in NSC inhibits their migration by hindering actin filament polymerization. This ZooMAb® recombinant monoclonal antibody, generated by our propriety technology, offers significantly enhanced specificity, Affinity, reproducibility, and stability over conventional monoclonals. (Ref.: Zhang, J., et al. (2020). Sem Cell Int. 2020. Article 4764012).
We are committed to bringing you greener alternative products, which adhere to one or more of The 12 Principles of Green Chemistry.This antibody is Preservative-free, produced without the harm or sacrifice of animals and exceptionally stable to allow for ambient shipping and storage if needed and thus aligns with "Waste Prevention", "Designing Safer Chemicals" and "Design for Energy Efficiency". Click here for more information.
ZooMAb® antibodies represent an entirely new generation of recombinant monoclonal antibodies. Each ZooMAb® antibody is manufactured using our proprietary recombinant expression system, purified to homogeneity, and precisely dispensed to produce robust and highly reproducible lot-to-lot consistency. Only top-performing clones are released for use by researchers. Each antibody is validated for high specificity and affinity across multiple applications, including its most commonly used application. ZooMAb® antibodies are reliably available and ready to ship when you need them.

Immunogen

KLH-conjugated linear peptide corresponding to 9 amino acids from the N-terminal region of human Actin 2.

Application

Quality Control Testing

Evaluated by Western Blotting in HeLa cell lysate.

Western Blotting Analysis: A 1:1,000 dilution of this antibody detected Actin 2 in HeLa cell lysate.

Tested Applications

Western Blotting Analysis: A 1:1,000 dilution from a representative lot detected Actin 2 in C2C12, PC12, and NIH3T3 cell lysates.

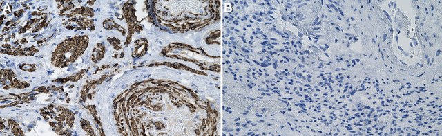
Immunohistochemistry (Paraffin) Analysis: A 1:100 dilution from a representative lot detected Actin 2 in Human uterus tissue sections.

Immunocytochemistry Analysis: A 1:100 dilution from a representative lot detected Actin 2 in HeLa cells.

Affinity Binding Assay: A representative lot of this antibody bound Actin 2 peptide with a KD of 4.2 x 10-7 in an affinity binding assay.

Note: Actual optimal working dilutions must be determined by end user as specimens, and experimental conditions may vary with the end user.

Biochem/physiol Actions

Clone 1C22 is a ZooMAb® rabbit recombinant monoclonal antibody that specifically detects Actin 2. It targets an epitope within 9 amino acids from the N-terminal region.

Physical form

Purified recombinant rabbit monoclonal antibody IgG, lyophilized in PBS, 5% Trehalose, normal appearance a coarse or translucent resin. The PBS/trehalose components in the ZooMAb formulation can have the appearance of a semi-solid (bead like gel) after lyophilization. This is a normal phenomenon. Please follow the recommended reconstitution procedure in the data sheet to dissolve the semi-solid, bead-like, gel-appearing material. The resulting antibody solution is completely stable and functional as proven by full functional testing. Contains no biocide or preservatives, such as azide, or any animal by-products. Larger pack sizes provided as multiples of 25 µL.

Preparation Note

Recommend storage of lyophilized product at 2-8°C; Before reconstitution, micro-centrifuge vials briefly to spin down material to bottom of the vial; Reconstitute each vial by adding 25 µL of filtered lab grade water or PBS; Reconstituted antibodies can be stored at 2-8°C, or -20°C for long term storage. Avoid repeated freeze-thaws.
Reconstitute lyophilized antibody pellet with 25μL of ultrapure water or Phosphate Buffered Saline (PBS). Please refer to our reconstitution protocol and the specific application guidance on the suggested starting dilutions and sample type.

Other Notes

Concentration: Please refer to the Certificate of Analysis for the lot-specific concentration.

Legal Information

Affinity is a trademark of Mine Safety Appliances Co.
ZooMAb is a registered trademark of Merck KGaA, Darmstadt, Germany

Disclaimer

Unless otherwise stated in our catalog or other company documentation accompanying the product(s), our products are intended for research use only and are not to be used for any other purpose, which includes but is not limited to, unauthorized commercial uses, in vitro diagnostic uses, ex vivo or in vivo therapeutic uses or any type of consumption or application to humans or animals.


Still not finding the right product?

Try our Product Selector Tool to narrow your options


Storage Class

11 - Combustible Solids

wgk

WGK 1

flash_point_f

Not applicable

flash_point_c

Not applicable



Choose from one of the most recent versions:

Certificates of Analysis (COA)

Lot/Batch Number

It looks like we've run into a problem, but you can still download Certificates of Analysis from our Documents section.

If you need assistance, please contact Customer Support

Already Own This Product?

Find documentation for the products that you have recently purchased in the Document Library.

Visit the Document Library



Global Trade Item Number

SKUGTIN
ZRB2481-25UL04065270080615
ZRB2481-4X25UL04065270080622