ZRB2404
Anti-RelB Antibody, clone 1M14 ZooMAb® Rabbit Monoclonal

recombinant, expressed in HEK 293 cells
Synonym(s):
Anti-Trop2 Antibody, clone 2G10 ZooMAb® Mouse Monoclonal, I-Rel, Transcription factor RelB
Select a Size
About This Item
biological source
rabbit
Quality Level
recombinant
expressed in HEK 293 cells
conjugate
unconjugated
antibody form
purified antibody
antibody product type
primary antibodies
clone
1M14, recombinant monoclonal
description
recombinant, expressed in HEK 293 cells
product line
ZooMAb® learn more
form
lyophilized
mol wt
calculated mol wt 62.13 kDa
observed mol wt ~75 kDa
purified by
using Protein A
species reactivity
human, mouse
packaging
antibody small pack of 25
greener alternative product characteristics
Waste Prevention
Designing Safer Chemicals
Design for Energy Efficiency
Learn more about the Principles of Green Chemistry.
enhanced validation
recombinant expression
Learn more about Antibody Enhanced Validation
sustainability
Greener Alternative Product
technique(s)
ELISA: suitable
affinity binding assay: suitable
immunofluorescence: suitable
immunohistochemistry: suitable
western blot: suitable
isotype
IgG
epitope sequence
C-terminal half
Protein ID accession no.
UniProt accession no.
greener alternative category
shipped in
ambient
storage temp.
2-8°C
Gene Information
human ... RELB(5971)
Related Categories
General description
Immunogen
Application
Evaluated by Western Blotting in RAW264.7 cell lysate.
Western Blotting Analysis: A 1:1,000 dilution of this antibody detected RelB in RAW264.7 cell lysate.
Tested Applications
Western Blotting Analysis: A 1:1,000 dilution from a representative lot detected RelB in lysate from Raji and Daudi cells and Human tonsil tissue and T7-tagged recombinant fragment from Human RelB protein.
Enzyme Immunoassay (ELISA) Analysis: Serial dilutions from a representative lot detected T7-tagged recombinant fragment of Human RelB protein.
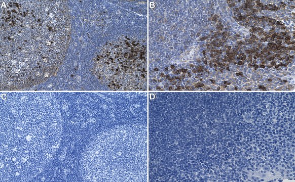
Immunofluorescence Analysis: A 1:100 dilution from a representative lot detected RelB in Human tonsil tissue sections.
Immunohistochemistry (Paraffin) Analysis: A 1:100 dilution from a representative lot detected RelB in Human tonsil tissue sections.
Affinity Binding Assay Analysis: A representative lot of this antibody bound RelB peptide with a KD of 6.1 x 10-8 in an affinity binding assay.
Note: Actual optimal working dilutions must be determined by end user as specimens, and experimental conditions may vary with the end user.
Biochem/physiol Actions
Physical form
Preparation Note
Legal Information
Disclaimer
Not finding the right product?
Try our Product Selector Tool.
Storage Class Code
11 - Combustible Solids
WGK
WGK 1
Choose from one of the most recent versions:
Already Own This Product?
Find documentation for the products that you have recently purchased in the Document Library.
Our team of scientists has experience in all areas of research including Life Science, Material Science, Chemical Synthesis, Chromatography, Analytical and many others.
Contact Technical Service