Skip to Content
Merck

ZRB2287

Anti-TIMP2 Antibody, clone 2H23 ZooMAb® Rabbit Monoclonal

enhanced validation
greener alternative

recombinant, expressed in HEK 293 cells

Synonym(s):

CSC-21K, Metalloproteinase inhibitor 2, Tissue inhibitor of metalloproteinases 2 (TIMP-2)

Sign Into View Organizational & Contract Pricing

Select a Size


About This Item

UNSPSC Code:
12352203
Technical Service
Need help? Our team of experienced scientists is here for you.
Let Us Assist
Technical Service
Need help? Our team of experienced scientists is here for you.
Let Us Assist

biological source

rabbit

Quality Level

recombinant

expressed in HEK 293 cells

conjugate

unconjugated

antibody form

purified antibody

antibody product type

primary antibodies

clone

2H23, recombinant monoclonal

description

recombinant, expressed in HEK 293 cells

product line

ZooMAb® learn more

form

lyophilized

mol wt

calculated mol wt 24.39 kDa
observed mol wt ~28 kDa

purified by

using Protein A

species reactivity

rat, human

species reactivity (predicted by homology)

porcine, guinea pig, mouse, sheep, bovine

packaging

antibody small pack of 25

greener alternative product characteristics

Waste Prevention
Designing Safer Chemicals
Design for Energy Efficiency
Learn more about the Principles of Green Chemistry.

enhanced validation

recombinant expression
Learn more about Antibody Enhanced Validation

sustainability

Greener Alternative Product

technique(s)

affinity binding assay: suitable
immunohistochemistry: suitable
western blot: suitable

isotype

IgG

epitope sequence

C-terminal

Protein ID accession no.

UniProt accession no.

greener alternative category

shipped in

ambient

storage temp.

2-8°C

Gene Information

human ... TIMP2(7077)

General description

Metalloproteinase inhibitor 2 (UniProt: P16035; also known as CSC-21K, Tissue inhibitor of metalloproteinases 2 (TIMP-2)) is encoded by the TIMP2 gene (Gene ID: 7077) in human. This gene is a member of the TIMP gene family. The proteins encoded by this gene family are natural inhibitors of the matrix metalloproteinases, a group of peptidases involved in degradation of the extracellular matrix. TIMP2 protein is synthesized with a signal peptide (aa 1-26), which is subsequently cleaved off to produce the mature form (aa 27-220). TIMP2 is widely expressed in various tissues and is primarily secreted into the extracellular space. Increased levels of TIMP′s are suggested to result in ECM accumulation leading to fibrosis, whereas loss of TIMP responses leads to enhanced matrix proteolysis. TIMP2 directly inhibits MMPs, in particular MMP2, but TIMP2 is also required for the activation of MMP2 through its interaction with MMP14. TIMP2 form complexes with metalloproteinases (such as collagenases) and irreversibly inactivates them by binding to their catalytic zinc cofactor. In addition to an inhibitory role against metalloproteinases, the protein has a unique role among TIMP family members in its ability to directly suppress the proliferation of endothelial cells. As a result, the TIMP2 may be critical to the maintenance of tissue homeostasis by suppressing the proliferation of quiescent tissues in response to angiogenic factors, and by inhibiting protease activity in tissues undergoing remodeling of the extracellular matrix. TIMP2 inhibits the proteolytic invasiveness of tumor cells and normal placental trophoblast cells. It also plays a role in pulmonary disease through its influence on extracellular matrix (ECM) turnover and recent studies suggest that, TIMP2 could play roles in aging and inflammation processes. An understanding of TIMP2 molecular targets, and how its biological functions evolve in the progressing tumor microenvironment may reveal new therapeutic opportunities. This ZooMAb® recombinant monoclonal antibody, generated by our proprietary technology, offers significantly enhanced specificity, affinity, reproducibility, and stability over conventional monoclonals. (Ref.: Costanzo, L., et al. Pulm Med. (2022). 3632764; Peeney, D., et al. (2022). Carcinogenesis. 4(5); 405 418).
We are committed to bringing you greener alternative products, which adhere to one or more of the 12 Principles of Green Chemistry. This antibody is preservative-free, produced without the harm or sacrifice of animals and exceptionally stable to allow for ambient shipping and storage if needed, and thus aligns with "Waste Prevention", "Designing Safer Chemicals" and "Design for Energy Efficiency". Click here for more information.
ZooMAb® antibodies represent an entirely new generation of recombinant monoclonal antibodies. Each ZooMAb® antibody is manufactured using our proprietary recombinant expression system, purified to homogeneity, and precisely dispensed to produce robust and highly reproducible lot-to-lot consistency. Only top-performing clones are released for use by researchers. Each antibody is validated for high specificity and affinity across multiple applications, including its most commonly used application. ZooMAb® antibodies are reliably available and ready to ship when you need them.

Immunogen

KLH-conjugated linear peptide corresponding to 17 amino acids from the C-terminal region of human TIMP2.

Application

Quality Control Testing

Evaluated by Western Blotting in SW480 cell lysate.

Western Blotting Analysis (WB): A 1:1,000 dilution of this antibody detected TIMP2 in SW480 cell lysate.

Tested Applications

Western Blotting Analysis: A 1:1,000 dilution of this antibody detected TIMP2 in C6 cell lysate and a 1:10,000 dilution of this antibody detected TIMP2 in lysate from U-2 OS conditioned media.

Affinity Binding Assay: A representative lot of this antibody bound with TIMP2 peptide with at least one hundred thousand-fold (100,000X) higher affinity than with non-specific control peptide.

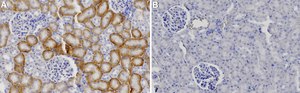
Immunohistochemistry (Paraffin) Analysis: A 1:100 dilution from a representative lot detected TIMP2 in rat kidney tissue sections.

Note: Actual optimal working dilutions must be determined by end user as specimens, and experimental conditions may vary with the end user.

Biochem/physiol Actions

Clone 2H23 is a ZooMAb® recombinant rabbit monoclonal antibody that specifically detects TIMP2. It targets an epitope within 17 amino acids from the C-terminal region.

Physical form

Purified recombinant rabbit monoclonal antibody IgG, lyophilized in PBS with 5% Trehalose, normal appearance a coarse or translucent resin. The PBS/trehalose components in the ZooMAb formulation can have the appearance of a semi-solid (bead like gel) after lyophilization. This is a normal phenomenon. Please follow the recommended reconstitution procedure in the data sheet to dissolve the semi-solid, bead-like, gel-appearing material. The resulting antibody solution is completely stable and functional as proven by full functional testing. Contains no biocide or preservatives, such as azide, or any animal by-products. Larger pack sizes provided as multiples of 25 µL.

Preparation Note

300 µg/mL after reconstitution at 25 µL per vial. Please refer to guidance on suggested starting dilutions and/or titers per application and sample type.
Recommend storage of lyophilized product at 2-8°C; Before reconstitution, micro-centrifuge vials briefly to spin down material to bottom of the vial; Reconstitute each vial by adding 25 µL of filtered lab grade water or PBS; Reconstituted antibodies can be stored at 2-8°C, or -20°C for long term storage. Avoid repeated freeze-thaws.

Legal Information

ZooMAb is a registered trademark of Merck KGaA, Darmstadt, Germany

Disclaimer

Unless otherwise stated in our catalog or other company documentation accompanying the product(s), our products are intended for research use only and are not to be used for any other purpose, which includes but is not limited to, unauthorized commercial uses, in vitro diagnostic uses, ex vivo or in vivo therapeutic uses or any type of consumption or application to humans or animals.

Not finding the right product?  

Try our Product Selector Tool.

Storage Class Code

11 - Combustible Solids

WGK

WGK 2

Flash Point(F)

Not applicable

Flash Point(C)

Not applicable


Choose from one of the most recent versions:

Certificates of Analysis (COA)

Lot/Batch Number

It looks like we've run into a problem, but you can still download Certificates of Analysis from our Documents section.

If you need assistance, please contact Customer Support

Already Own This Product?

Find documentation for the products that you have recently purchased in the Document Library.

Visit the Document Library

Our team of scientists has experience in all areas of research including Life Science, Material Science, Chemical Synthesis, Chromatography, Analytical and many others.

Contact Technical Service