Skip to Content
Merck

ZRB2211

Sigma-Aldrich

Anti-Cdc25A Antibody, clone 1M11 ZooMAb® Rabbit Monoclonal

enhanced validation
greener alternative

recombinant, expressed in HEK 293 cells

Synonym(s):

Dual specificity phosphatase Cdc25A, EC:3.1.3.48, M-phase inducer phosphatase 1

Sign Into View Organizational & Contract Pricing

Select a Size


About This Item

UNSPSC Code:
12352203
NACRES:
NA.43
Technical Service
Need help? Our team of experienced scientists is here for you.
Let Us Assist
Technical Service
Need help? Our team of experienced scientists is here for you.
Let Us Assist

biological source

rabbit

Quality Level

recombinant

expressed in HEK 293 cells

conjugate

unconjugated

antibody form

purified antibody

antibody product type

primary antibodies

clone

1M11, recombinant monoclonal

description

recombinant, expressed in HEK 293 cells

product line

ZooMAb® learn more

form

lyophilized

mol wt

calculated mol wt 59.09 kDa
observed mol wt ~54 kDa

purified by

using Protein A

species reactivity

human

packaging

antibody small pack of 25

greener alternative product characteristics

Waste Prevention
Designing Safer Chemicals
Design for Energy Efficiency
Learn more about the Principles of Green Chemistry.

enhanced validation

recombinant expression
Learn more about Antibody Enhanced Validation

sustainability

Greener Alternative Product

technique(s)

affinity binding assay: suitable
immunocytochemistry: suitable
immunohistochemistry: suitable
western blot: suitable

isotype

IgG

epitope sequence

C-terminal half

Protein ID accession no.

UniProt accession no.

greener alternative category

shipped in

ambient

storage temp.

2-8°C

Gene Information

human ... CDC25A(993)

General description

M-phase inducer phosphatase 1 (UniProt: P30304; also known as EC:3.1.3.48, Dual specificity phosphatase Cdc25A) is encoded by the CDC25A gene (Gene ID: 993) in human. The Cdc25 dual phosphatase family has three members: Cdc25A, Cdc25B, and Cdc25C that contain well conserved catalytic domains, but differ in their regulatory domains. Cdc25A is a dual-specificity protein tyrosine phosphatase that plays a crucial role in cell cycle regulation. It removes the inhibitory phosphorylation in various cyclin-dependent kinases (CDKs) and positively regulates CDK activities leading to cell cycle progression. The regulatory domain of Cdc25A is localized in the N-terminal region and its catalytic domain resides in the C-terminal region. The regulatory domain contains a series of phosphorylation sites that are involved in maintaining its stability and in protein-protein interaction. The N-terminal region also contains the nuclear localization sequence (NLS) and the nuclear export sequence (NES) that determine its subcellular location. Cdc25A plays a role in assisting both G1/S and G2/M progression by dephosphorylating CDK4 at tyrosine 17, CDK6 at tyrosine 24, and CDK2 and CDK1 at threonine 14/tyrosine 15. Its phosphorylation on serine 76, 124, 178, 279, and 293 and threonine 507 by CHEK1 and on serine 124 and 293 by CHEK2 mediates cell cycle arrest. Overexpression of Cdc25A is reported to promote tumorigenesis and is frequently observed in various types of cancer. Two isoforms of Cdc25A have been described that are produced by alternative splicing. This ZooMAb® recombinant monoclonal antibody, generated by our propriety technology, offers significantly enhanced specificity, affinity, reproducibility, and stability over conventional monoclonals. (Ref.: Shen, T., and Huang, S. (2012). Anticancer Agents Med. Chem. 12(6); 631-639; Boutros, R., et al. (2007). Nat. Rev. Cancer. 7(7); 495-507).
We are committed to bringing you greener alternative products, which adhere to one or more of the 12 Principles of Green Chemistry. This antibody is preservative-free, produced without the harm or sacrifice of animals and exceptionally stable to allow for ambient shipping and storage if needed, and thus aligns with "Waste Prevention", "Designing Safer Chemicals" and "Design for Energy Efficiency". Click here for more information.
ZooMAb® antibodies represent an entirely new generation of recombinant monoclonal antibodies. Each ZooMAb® antibody is manufactured using our proprietary recombinant expression system, purified to homogeneity, and precisely dispensed to produce robust and highly reproducible lot-to-lot consistency. Only top-performing clones are released for use by researchers. Each antibody is validated for high specificity and affinity across multiple applications, including its most commonly used application. ZooMAb® antibodies are reliably available and ready to ship when you need them.

Immunogen

KLH-conjugated linear peptide corresponding to 24 amino acids from the C-terminal half of human Cdc25A.

Application

Quality Control Testing

Evaluated by Western Blotting in HeLa cell nuclear extract.

Western Blotting Analysis: A 1:1,000 dilution of this antibody detected Cdc25A in HeLa cell nuclear extract.

Tested Applications

Western Blotting Analysis: A 1:1,000 dilution from a representative lot detected Cdc25A in HEK293 cell nuclear extract and 1:10,000 dilution in HepG2 cell lysate.

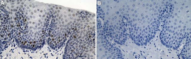
Immunohistochemistry (Paraffin) Analysis: A 1:100 dilution from a representative lot detected Cdc25A in Human esophagus tissue sections.

Affinity Binding Assay: A representative lot of this antibody bound Cdc25A peptide with a KD of 5.5 x 10-6 in an affinity binding assay.

Immunocytochemistry Analysis: A 1:100 dilution from a representative lot detected Cdc25A in A431, HeLa, and HepG2 cells.

Note: Actual optimal working dilutions must be determined by end user as specimens, and experimental conditions may vary with the end user.

Biochem/physiol Actions

Clone 1M11 is a ZooMAb® rabbit recombinant monoclonal antibody that specifically detects Cdc25A. It targets an epitope within 24 amino acids from the C-terminal half.

Physical form

Purified recombinant rabbit monoclonal antibody IgG, lyophilized in PBS with 5% Trehalose, normal appearance a coarse or translucent resin. The PBS/trehalose components in the ZooMAb formulation can have the appearance of a semi-solid (bead like gel) after lyophilization. This is a normal phenomenon. Please follow the recommended reconstitution procedure in the data sheet to dissolve the semi-solid, bead-like, gel-appearing material. The resulting antibody solution is completely stable and functional as proven by full functional testing. Contains no biocide or preservatives, such as azide, or any animal by-products. Larger pack sizes provided as multiples of 25 µL.

Preparation Note

Recommend storage of lyophilized product at 2-8°C; Before reconstitution, micro-centrifuge vials briefly to spin down material to bottom of the vial; Reconstitute each vial by adding 25 µL of filtered lab grade water or PBS; Reconstituted antibodies can be stored at 2-8°C, or -20°C for long term storage. Avoid repeated freeze-thaws.
Reconstitute lyophilized antibody pellet with 25μL of ultrapure water or Phosphate Buffered Saline (PBS). Please refer to our reconstitution protocol and the specific application guidance on the suggested starting dilutions and sample type.

Legal Information

ZooMAb is a registered trademark of Merck KGaA, Darmstadt, Germany

Disclaimer

Unless otherwise stated in our catalog or other company documentation accompanying the product(s), our products are intended for research use only and are not to be used for any other purpose, which includes but is not limited to, unauthorized commercial uses, in vitro diagnostic uses, ex vivo or in vivo therapeutic uses or any type of consumption or application to humans or animals.

Not finding the right product?  

Try our Product Selector Tool.

Storage Class Code

11 - Combustible Solids

WGK

WGK 1

Flash Point(F)

Not applicable

Flash Point(C)

Not applicable


Choose from one of the most recent versions:

Certificates of Analysis (COA)

Lot/Batch Number

It looks like we've run into a problem, but you can still download Certificates of Analysis from our Documents section.

If you need assistance, please contact Customer Support

Already Own This Product?

Find documentation for the products that you have recently purchased in the Document Library.

Visit the Document Library

Our team of scientists has experience in all areas of research including Life Science, Material Science, Chemical Synthesis, Chromatography, Analytical and many others.

Contact Technical Service