Skip to Content
Merck

ZRB2051

Sigma-Aldrich

Anti-ATF3 Antibody, clone 1G12 ZooMAb® Rabbit Monoclonal

enhanced validation
greener alternative

recombinant, expressed in HEK 293 cells

Synonym(s):

Cyclic AMP-dependent transcription factor ATF-3;cAMP-dependent transcription factor ATF-3;Activating transcription factor 3

Sign Into View Organizational & Contract Pricing

Select a Size


About This Item

UNSPSC Code:
12352203
NACRES:
NA.41
Technical Service
Need help? Our team of experienced scientists is here for you.
Let Us Assist
Technical Service
Need help? Our team of experienced scientists is here for you.
Let Us Assist

biological source

rabbit

Quality Level

recombinant

expressed in HEK 293 cells

conjugate

unconjugated

antibody form

purified antibody

antibody product type

primary antibodies

clone

1G12, recombinant monoclonal

description

1G12 Clone

product line

ZooMAb® learn more

form

lyophilized

mol wt

calculated mol wt 20.58 kDa
observed mol wt ~45 kDa

purified by

using Protein A

species reactivity

rat, human, mouse

packaging

antibody small pack of 25 μL

greener alternative product characteristics

Waste Prevention
Designing Safer Chemicals
Design for Energy Efficiency
Learn more about the Principles of Green Chemistry.

enhanced validation

recombinant expression
Learn more about Antibody Enhanced Validation

sustainability

Greener Alternative Product

technique(s)

ELISA: suitable
affinity binding assay: suitable
immunocytochemistry: suitable
immunohistochemistry (formalin-fixed, paraffin-embedded sections): suitable
western blot: suitable

isotype

IgG

epitope sequence

C-terminal half

Protein ID accession no.

UniProt accession no.

greener alternative category

shipped in

ambient

storage temp.

2-8°C

target post-translational modification

unmodified

Gene Information

human ... ATF3(467)

General description

Cyclic AMP-dependent transcription factor ATF-3 (UniProt: P18847; also known as cAMP-dependent transcription factor ATF-3, Activating transcription factor 3) is encoded by the ATF3 gene (Gene ID: 467) in human. ATF3 is a member of the ATF/cAMP response element-binding (CREB) family that binds to the cAMP response element (CRE) (consensus: 5′-GTGACGT[AC][AG]-3′). It serves as a stress-induced transcription factor that plays a role in modulating metabolism, immunity, and oncogenesis. It acts as a hub of the cellular adaptive-response network. Multiple extracellular signals, including ER stress, cytokines, chemokines, and lipopolysaccharides can induce ATF3. It acts as a transcriptional repressor by forming a homodimer. It may repress transcription by stabilizing the binding of inhibitory cofactors at the promoter. ATF3 can also interact with proteins via its basic leucine zipper (bZIP; aa 86-149) domain and modulate cellular functions independently of its transcriptional activity. ATF3 is also involved in glucose metabolism in a variety of organs and tissues, including the pancreas, liver, adipose tissue, hypothalamus, and heart. Overexpression of ATF3 in the liver is shown to reduce the levels of gluconeogenic enzymes, including phosphoenolpyruvate carboxykinase (PEPCK) and fructose-1,6-bisphosphatase (FBP). Its expression is up-regulated by low glucose and down-regulated by high glucose levels. Lower levels of ATF3 are observed in hepatocellular carcinoma (HCC) and are associated with clinical cancer stage and pathological tumor grade in patients with HCC. Its low expression is associated with poor overall survival. Five isoforms of ATF3 have been described that are produced by alternative splicing. This ZooMAb® recombinant monoclonal antibody, generated by our propriety technology, offers significantly enhanced specificity, affinity, reproducibility, and stability over conventional monoclonals. (Ref.: Li, L., et al. (2021). BMC Med. Genomics. 14; Article number: 8; Ku, H-C., and Cheng, C-F. (2020). Front. Endocrinol. 11; 556; Lee, YS., et al. (2014). Endocr. J. 61(1); 85-90).
We are committed to bringing you greener alternative products, which adhere to one or more of The 12 Principles of Green Chemistry.This antibody is Preservative-free, produced without the harm or sacrifice of animals and exceptionally stable to allow for ambient shipping and storage if needed and thus aligns with "Waste Prevention", "Designing Safer Chemicals" and "Design for Energy Efficiency". Click here for more information.
ZooMAb® antibodies represent an entirely new generation of recombinant monoclonal antibodies.Each ZooMAb® antibody is manufactured using our proprietary recombinant expression system, purified to homogeneity, and precisely dispensed to produce robust and highly reproducible lot-to-lot consistency. Only top-performing clones are released for use by researchers. Each antibody is validated for high specificity and affinity across multiple applications, including its most commonly used application. ZooMAb® antibodies are reliably available and ready to ship when you need them.

Immunogen

KLH-conjugated linear peptide corresponding to 15 amino acids from the C-terminal half of human cAMP-dependent transcription factor ATF-3 (ATF3).

Application

Quality Control Testing

Evaluated by Western Blotting in NIH3T3 cell lysate.

Western Blotting Analysis: A 1:10,000 dilution of this antibody detected ATF3 in NIH3T3 cell lysate.

Tested Applications

Western Blotting Analysis: A 1:10,000 dilution from a representative lot detected ATF3 in lysates from A549, HeLa, and C6 cells and recombinant Human ATF3.

Immunocytochemistry Analysis: A 1:100 dilution from a representative lot detected ATF3 in A431 cells.

Enzyme Immunoassay (ELISA) Analysis: Various dilutions of this antibody detected recombinant Human ATF3.

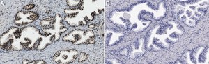
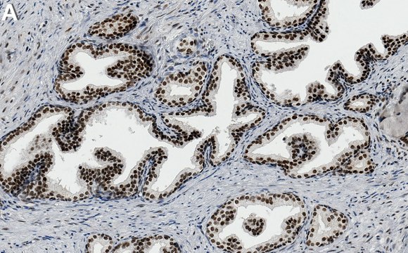
Immunohistochemistry (Paraffin) Analysis: A 1:100 dilution from a representative lot detected ATF3 in human prostate tissue sections.

Affinity Binding Assay: A representative lot of this antibody bound His-tagged recombinant Human ATF3 with a KD of 9.7 x 10-7 in an affinity binding assay.

Note: Actual optimal working dilutions must be determined by end user as specimens, and experimental conditions may vary with the end user.

Biochem/physiol Actions

Clone 1G12 is a ZooMAb® Rabbit recombinant monoclonal antibody that specifically detects cAMP-dependent transcription factor ATF-3 (ATF3). It targets an epitope within 15 amino acids from the C-terminal half.

Physical form

Purified recombinant rabbit monoclonal antibody IgG, lyophilized in PBS with 5% Trehalose, normal appearance a coarse or translucent resin. The PBS/trehalose components in the ZooMAb formulation can have the appearance of a semi-solid (bead like gel) after lyophilization. This is a normal phenomenon. Please follow the recommended reconstitution procedure in the data sheet to dissolve the semi-solid, bead-like, gel-appearing material. The resulting antibody solution is completely stable and functional as proven by full functional testing. Contains no biocide or preservatives, such as azide, or any animal by-products. Larger pack sizes provided as multiples of 25 µL.

Preparation Note

Recommend storage of lyophilized product at 2-8°C; Before reconstitution, micro-centrifuge vials briefly to spin down material to bottom of the vial; Reconstitute each vial by adding 25 µL of filtered lab grade water or PBS; Reconstituted antibodies can be stored at 2-8°C, or -20°C for long term storage. Avoid repeated freeze-thaws.
Reconstitute lyophilized antibody pellet with 25μL of ultrapure water or Phosphate Buffered Saline (PBS). Please refer to our reconstitution protocol and the specific application guidance on the suggested starting dilutions and sample type.

Legal Information

ZooMAb is a registered trademark of Merck KGaA, Darmstadt, Germany

Disclaimer

Unless otherwise stated in our catalog or other company documentation accompanying the product(s), our products are intended for research use only and are not to be used for any other purpose, which includes but is not limited to, unauthorized commercial uses, in vitro diagnostic uses, ex vivo or in vivo therapeutic uses or any type of consumption or application to humans or animals.

Not finding the right product?  

Try our Product Selector Tool.

Storage Class Code

11 - Combustible Solids

WGK

WGK 1

Flash Point(F)

Not applicable

Flash Point(C)

Not applicable


Choose from one of the most recent versions:

Certificates of Analysis (COA)

Lot/Batch Number

Don't see the Right Version?

If you require a particular version, you can look up a specific certificate by the Lot or Batch number.

Already Own This Product?

Find documentation for the products that you have recently purchased in the Document Library.

Visit the Document Library

Our team of scientists has experience in all areas of research including Life Science, Material Science, Chemical Synthesis, Chromatography, Analytical and many others.

Contact Technical Service