Skip to Content
Merck

ZRB1712

Sigma-Aldrich

Anti-PI-3 kinase p110α Antibody, clone 1J4 ZooMAb® Rabbit Monoclonal

enhanced validation
greener alternative

recombinant, expressed in HEK 293 cells

Sign Into View Organizational & Contract Pricing

Select a Size


About This Item

UNSPSC Code:
12352203
NACRES:
NA.43
Technical Service
Need help? Our team of experienced scientists is here for you.
Let Us Assist
Technical Service
Need help? Our team of experienced scientists is here for you.
Let Us Assist

biological source

rabbit

Quality Level

recombinant

expressed in HEK 293 cells

conjugate

unconjugated

antibody form

purified antibody

antibody product type

primary antibodies

clone

1J4, recombinant monoclonal

description

recombinant, expressed in HEK 293 cells

product line

ZooMAb® learn more

form

lyophilized

mol wt

calculated mol wt 124.28 kDa
observed mol wt ~110 kDa

purified by

using Protein A

species reactivity

human

species reactivity (predicted by homology)

monkey

packaging

antibody small pack of 25 μL

greener alternative product characteristics

Waste Prevention
Designing Safer Chemicals
Design for Energy Efficiency
Learn more about the Principles of Green Chemistry.

enhanced validation

recombinant expression
Learn more about Antibody Enhanced Validation

sustainability

Greener Alternative Product

technique(s)

affinity binding assay: suitable
flow cytometry: suitable
immunohistochemistry (formalin-fixed, paraffin-embedded sections): suitable
western blot: suitable

isotype

IgG

epitope sequence

Internal

Protein ID accession no.

UniProt accession no.

greener alternative category

shipped in

ambient

storage temp.

2-8°C

target post-translational modification

unmodified

Gene Information

human ... PIK3CA(5290)

General description

Phosphatidylinositol 4,5-bisphosphate 3-kinase catalytic subunit alpha isoform (UniProt: P42336; also known as EC:2.7.1.137, PI3-kinase subunit alpha, PI3K-alpha, PI3Kalpha, PtdIns-3-kinase subunit alpha, Phosphatidylinositol 4,5-bisphosphate 3-kinase 110 kDa catalytic subunit alpha, PtdIns-3-kinase subunit p110-alpha, p110alpha, Phosphoinositide 3-kinase alpha, Phosphoinositide-3-kinase catalytic alpha polypeptide, Serine/threonine protein kinase PIK3CA) is encoded by the PIK3CA gene (Gene ID: 5290) in human. The PI 3-kinases (PI3-K) are ubiquitous, heterodimeric enzymes that play a crucial role in the regulation of many cellular processes, including cell growth, proliferation, motility, and survival. They are divided into three classes based on their structure and substrate specificity. Class I PI 3-K contain a 110 kDa catalytic subunit and an 85 kDa regulatory subunit. The catalytic subunit associates with an 85 kDa adaptor/regulatory subunit that is essential for interaction of these PI3-K with receptor tyrosine kinases and intracellular proteins. Following ligand binding to receptor and activation of receptor tyrosine kinase, the p85/p110 complex is recruited to the receptor by interaction of the SH2 domain of p85 with consensus phosphotyrosine residues on receptor tyrosine kinase. The interaction of a receptor tyrosine kinase with the p85 subunit relieves the inhibitory effect of p85 on the p110 catalytic subunit and the activated PI3-K phosphorylates phosphoinositol (PI) substrates to produce PIP, PIP2, and PIP3. These molecules act as second messengers for downstream signal transduction. Class IA PI3-K signal transduction is considered to be important in mediating insulin responses in cells. Any loss in the activity of these kinases can result in metabolic defects linked to type 2 diabetes. Inhibition of PI 3-kinase and overexpression of dominant negative PI3-K mutants are shown to block many of the physiological responses to insulin. Overactivation of PI3-K pathway can perturb the control mechanisms for cell growth and survival and contribute to metastatic competence and resistance to chemotherapy. Abnormal activation of PI3-K is seen in several forms of cancer. About 30% of solid tumors contain mutations in the catalytic unit of their PI3-K, which increase its enzymatic activity and produce excessive Akt signal transduction. This ZooMAbZooMAb® recombinant monoclonal antibody, generated by our propriety technology, offers significantly enhanced specificity, affinity, reproducibility, and stability over conventional monoclonals.
We are committed to bringing you greener alternative products, which adhere to one or more of The 12 Principles of Green Chemistry.This antibody is Preservative-free, produced without the harm or sacrifice of animals and exceptionally stable to allow for ambient shipping and storage if needed and thus aligns with "Waste Prevention", "Designing Safer Chemicals" and "Design for Energy Efficiency". Click here for more information.
ZooMAb® antibodies represent an entirely new generation of recombinant monoclonal antibodies.Each ZooMAb® antibody is manufactured using our proprietary recombinant expression system, purified to homogeneity, and precisely dispensed to produce robust and highly reproducible lot-to-lot consistency. Only top-performing clones are released for use by researchers. Each antibody is validated for high specificity and affinity across multiple applications, including its most commonly used application. ZooMAb® antibodies are reliably available and ready to ship when you need them.

Immunogen

KLH-conjugated linear peptide corresponding to 24 amino acids from the internal region of human PI-3 kinase p110a.

Application

Quality Control Testing

Evaluated by Western Blotting in HeLa cell lysate.

Western Blotting Analysis: A 1:10,000 dilution of this antibody detected PI-3 kinase p110a in HeLa cell lysate.

Tested applications

Western Blotting Analysis: A 1:10,000 dilution from a representative lot detected PI-3 kinase p110a in K562 cell lysate.

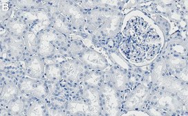
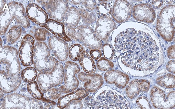
Immunohistochemistry (Paraffin) Analysis: A 1:100 dilution from a representative lot detected PI-3 kinase p110 in human cerebellum and human kidney tissue sections.

Affinity Binding Assay: A representative lot of this antibody bound PI3 Kinase p110 with a KD of 6.6 x 10-7 in an affinity binding assay.

Flow Cytometry Analysis: 1 μg from a representative lot detected PI-3 kinase p110 in one million K562 cells.

Note: Actual optimal working dilutions must be determined by end user as specimens, and experimental conditions may vary with the end user

Biochem/physiol Actions

Clone 1J4 is a ZooMAb® Rabbit recombinant monoclonal antibody that specifically detects PI-3 kinase p110a. It targets an epitope within 24 amino acids from the internal region.

Physical form

Purified recombinant rabbit monoclonal antibody IgG, lyophilized in PBS, 5% Trehalose, normal appearance a coarse or translucent resin. The PBS/trehalose components in the ZooMAb formulation can have the appearance of a semi-solid (bead like gel) after lyophilization. This is a normal phenomenon. Please follow the recommended reconstitution procedure in the data sheet to dissolve the semi-solid, bead-like, gel-appearing material. The resulting antibody solution is completely stable and functional as proven by full functional testing. Contains no biocide or preservatives, such as azide, or any animal by-products. Larger pack sizes provided as multiples of 25 μL.

Preparation Note

Recommend storage of lyophilized product at 2-8°C; Before reconstitution, micro-centrifuge vials briefly to spin down material to bottom of the vial; Reconstitute each vial by adding 25 μL of filtered lab grade water or PBS; Reconstituted antibodies can be stored at 2-8°C, or -20°C for long term storage. Avoid repeated freeze-thaws.
Reconstitute lyophilized antibody pellet with 25μL of ultrapure water or Phosphate Buffered Saline (PBS). Please refer to our reconstitution protocol and the specific application guidance on the suggested starting dilutions and sample type.

Legal Information

ZooMAb is a registered trademark of Merck KGaA, Darmstadt, Germany

Disclaimer

Unless otherwise stated in our catalog or other company documentation accompanying the product(s), our products are intended for research use only and are not to be used for any other purpose, which includes but is not limited to, unauthorized commercial uses, in vitro diagnostic uses, ex vivo or in vivo therapeutic uses or any type of consumption or application to humans or animals.

Not finding the right product?  

Try our Product Selector Tool.

Storage Class Code

11 - Combustible Solids

WGK

WGK 1

Flash Point(F)

Not applicable

Flash Point(C)

Not applicable


Choose from one of the most recent versions:

Certificates of Analysis (COA)

Lot/Batch Number

It looks like we've run into a problem, but you can still download Certificates of Analysis from our Documents section.

If you need assistance, please contact Customer Support

Already Own This Product?

Find documentation for the products that you have recently purchased in the Document Library.

Visit the Document Library

Our team of scientists has experience in all areas of research including Life Science, Material Science, Chemical Synthesis, Chromatography, Analytical and many others.

Contact Technical Service