SRP5319
PI3K (p110-α/p55-γ), active, His tagged human
PRECISIO®, recombinant, expressed in baculovirus infected Sf9 cells, ≥70% (SDS-PAGE), buffered aqueous glycerol solution
Synonym(s):
p110-alpha, p55-gamma
Sign Into View Organizational & Contract Pricing
Select a Size
About This Item
UNSPSC Code:
12352200
NACRES:
NA.32
recombinant
expressed in baculovirus infected Sf9 cells
product line
PRECISIO®
Assay
≥70% (SDS-PAGE)
form
buffered aqueous glycerol solution
specific activity
11.2-16.8 nmol/min·mg
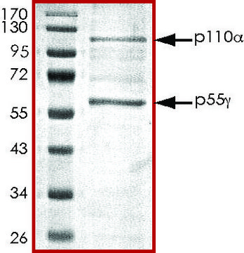
mol wt
~111 kDa (p110α)
~61 kDa (p85γ)
NCBI accession no.
shipped in
dry ice
storage temp.
−70°C
Gene Information
human ... PIK3CA(5290)
General description
PI3K (p110alpha/p55gamma) or Phosphatidylinositol 3-kinase is a lipid kinase that phosphorylates the inositol ring of phosphatidylinositol at the 3-prime position which serve as second messengers in growth signaling pathways. PI3K comprises a 110 kD catalytic subunit and a regulatory subunit of either 85, 55, or 50 kD. Phosphatidylinositol 3-kinase plays an important role in the metabolic actions of insulin, and a mutation in the PI3K has been associated with insulin resistance and plays an important role in glucose homeostasis in vivo. PI3K also plays an essential role in the development and induction of mast cells in normal and pathogenic immune responses.
Physical form
Supplied in 50 mM sodium phosphate, pH 7.0, 300 mM NaCl, 150 mM imidazole, 0.1 mM PMSF, 0.2 mM DTT, 25% glycerol.
Preparation Note
After opening, aliquot into smaller quantities and store at -70 °C. Avoid repeating handling and multiple freeze/thaw cycles.
Legal Information
PRECISIO is a registered trademark of Merck KGaA, Darmstadt, Germany
Signal Word
Danger
Hazard Statements
Precautionary Statements
Hazard Classifications
Eye Irrit. 2 - Repr. 1B - Skin Irrit. 2
Storage Class Code
6.1C - Combustible acute toxic Cat.3 / toxic compounds or compounds which causing chronic effects
WGK
WGK 1
Flash Point(F)
Not applicable
Flash Point(C)
Not applicable
Choose from one of the most recent versions:
Already Own This Product?
Find documentation for the products that you have recently purchased in the Document Library.
Our team of scientists has experience in all areas of research including Life Science, Material Science, Chemical Synthesis, Chromatography, Analytical and many others.
Contact Technical Service
