Skip to Content
Merck

SRP0461

Sigma-Aldrich

BRD4 (49-170) His tag human

recombinant, expressed in E. coli, ≥90% (SDS-PAGE)

Synonym(s):

CAP, HUNK1, HUNKI, MCAP, bromodomain containing 4

Sign Into View Organizational & Contract Pricing

Select a Size


About This Item

UNSPSC Code:
12352200
NACRES:
NA.32
Technical Service
Need help? Our team of experienced scientists is here for you.
Let Us Assist
Technical Service
Need help? Our team of experienced scientists is here for you.
Let Us Assist

biological source

human

recombinant

expressed in E. coli

Assay

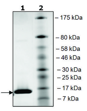
≥90% (SDS-PAGE)

form

aqueous solution

mol wt

15.5 kDa

packaging

pkg of 100 μg

technique(s)

cell based assay: suitable

solubility

water: soluble

NCBI accession no.

UniProt accession no.

shipped in

dry ice

storage temp.

−70°C

Gene Information

human ... BRD4(23476)

General description

Research area: Cancer

BRD4 (bromodomain-containing protein 4) belongs to the BET (bromodomain and extra-terminal) family. The protein has two bromodomains (BD1 and BD2) connected via a long interdomain linker.Human Bromodomain containing 4, also known as BRD4, HUNK1, or MCAP (GenBank Accession No. NM_058243) amino-acids 49-170 with N-terminal His-tag, MW = 15.5kDa, expressed in an Escherichia coli expression system.

Biochem/physiol Actions

BRD4 (bromodomain-containing protein 4) works as a reader of epigenetic marks and is involved in chromatin remodeling and transcriptional regulation. Therefore, it is a target for oncology, inflammation and cardiovascular disease. This gene is upregulated in hepatocellular carcinoma and is associated with poor prognosis. BRD4 is also associated with melanoma, hepatocellular carcinoma, multiple myeloma, Burkitt′s lymphoma, acute myeloid leukemia and breast cancer. BRD4 connects cell cycle and transcription, works as a scaffold for transcription factors and bookmarks active genes during mitosis. It interacts with acetylated histone-3 and histone-4 tails and helps in maintaining chromatin architecture. Also, it regulates transcription elongation via phosphorylation of RNA polymerase II.

Storage Class Code

10 - Combustible liquids

WGK

WGK 1

Flash Point(F)

Not applicable

Flash Point(C)

Not applicable


Choose from one of the most recent versions:

Certificates of Analysis (COA)

Lot/Batch Number

Don't see the Right Version?

If you require a particular version, you can look up a specific certificate by the Lot or Batch number.

Already Own This Product?

Find documentation for the products that you have recently purchased in the Document Library.

Visit the Document Library

High level of BRD4 promotes non-small cell lung cancer progression.
Liao YF, et al.
Oncotarget, 7, 9491-9491 (2016)
BRD4 promotes tumor growth and epithelial-mesenchymal transition in hepatocellular carcinoma.
Zhang P, et al.
International Journal of Immunopathology and Pharmacology, 28, 36-36 (2015)
Segmental Isotope Labelling of an Individual Bromodomain of a Tandem Domain BRD4 Using Sortase A.
Williams FP, et al.
PLoS ONE, 11, e0154607-e0154607 (2016)
Philipp Voigt et al.
Genome biology, 12(11), 133-133 (2011-12-01)
The chromatin adapter BRD4 may be crucial for transmitting epigenetic information by acting as a histone acetylation-dependent gene bookmark and accelerating post-mitotic transcriptional reactivation.
R M Rodriguez et al.
Journal of molecular medicine (Berlin, Germany), 90(5), 587-595 (2011-11-29)
The bromodomain protein BRD4 is involved in cell proliferation and cell cycle progression, primarily through its role in acetylated chromatin-dependent regulation of transcription at targeted loci. Here, we show that BRD4 is frequently downregulated by aberrant promoter hypermethylation in human

Our team of scientists has experience in all areas of research including Life Science, Material Science, Chemical Synthesis, Chromatography, Analytical and many others.

Contact Technical Service