Skip to Content
Merck

SAB5700871

Sigma-Aldrich

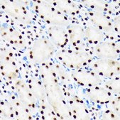
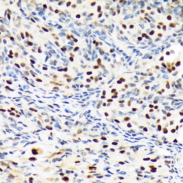
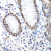
Anti-PBRM1 antibody produced in rabbit

Sign Into View Organizational & Contract Pricing

Select a Size


About This Item

UNSPSC Code:
12352203
NACRES:
NA.41
Technical Service
Need help? Our team of experienced scientists is here for you.
Let Us Assist
Technical Service
Need help? Our team of experienced scientists is here for you.
Let Us Assist

biological source

rabbit

Quality Level

conjugate

unconjugated

antibody product type

primary antibodies

clone

monoclonal

form

liquid

species reactivity

human, mouse

concentration

1.5 mg/mL

technique(s)

immunohistochemistry: 1:50-1:200
western blot: 1:500-1:2000

UniProt accession no.

shipped in

wet ice

storage temp.

−20°C

target post-translational modification

unmodified

Gene Information

human ... PBRM1(55193)

General description

This locus encodes a subunit of ATP-dependent chromatin-remodeling complexes. The encoded protein has been identified as in integral component of complexes necessary for ligand-dependent transcriptional activation by nuclear hormone receptors. Mutations at this locus have been associated with primary clear cell renal cell carcinoma. [provided by RefSeq, Feb 2012]

Immunogen

A synthesized peptide derived from human PBRM1

Physical form

Buffer: PBS with 0.02% sodium azide,0.05% BSA,50% glycerol,pH7.3.

Not finding the right product?  

Try our Product Selector Tool.

Storage Class Code

12 - Non Combustible Liquids

WGK

WGK 1

Flash Point(F)

Not applicable

Flash Point(C)

Not applicable


Choose from one of the most recent versions:

Certificates of Analysis (COA)

Lot/Batch Number

Don't see the Right Version?

If you require a particular version, you can look up a specific certificate by the Lot or Batch number.

Already Own This Product?

Find documentation for the products that you have recently purchased in the Document Library.

Visit the Document Library

Our team of scientists has experience in all areas of research including Life Science, Material Science, Chemical Synthesis, Chromatography, Analytical and many others.

Contact Technical Service