Skip to Content
Merck

SAB5700299

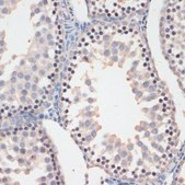
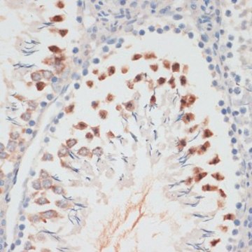
Anti-Phospho-GSK3B-S9 antibody produced in rabbit

Synonym(s):

GSK3B, gsk-3β

Sign In to View Organizational & Contract Pricing.

Select a Size

Change View

About This Item

NACRES:
NA.41
UNSPSC Code:
12352203
Clone:
polyclonal
Species reactivity:
rat, human, mouse
Application:
IHC, WB
Citations:
-
Technical Service
Need help? Our team of experienced scientists is here for you.
Let Us Assist


biological source

rabbit

Quality Level

antibody form

affinity isolated antibody

antibody product type

primary antibodies

clone

polyclonal

form

buffered aqueous solution

mol wt

46, 48

species reactivity

rat, human, mouse

concentration

0.51 mg/ml

technique(s)

immunohistochemistry: 1:50-1:100, western blot: 1:500-1:2000

UniProt accession no.

shipped in

wet ice

storage temp.

−20°C

target post-translational modification

phosphorylation (pSer9)

Gene Information

human ... GSK3B(2932)

General description

The protein encoded by this gene is a serine-threonine kinase, belonging to the glycogen synthase kinase subfamily. It is involved in energy metabolism, neuronal cell development, and body pattern formation. Polymorphisms in this gene have been implicated in modifying risk of Parkinson disease, and studies in mice show that overexpression of this gene may be relevant to the pathogenesis of Alzheimer disease. Alternatively spliced transcript variants encoding different isoforms have been found for this gene.

Immunogen

A synthetic phosphorylated peptide around S9 of human GSK3B (NP_001139628.1).

Physical form

PBS with 0.02% sodium azide,50% glycerol,pH7.3.

Preparation Note

Store at -20℃. Avoid freeze / thaw cycles.


Still not finding the right product?

or

Try our Product Selector Tool to narrow your options


Storage Class

12 - Non Combustible Liquids

wgk

WGK 1

flash_point_f

Not applicable

flash_point_c

Not applicable



Choose from one of the most recent versions:

Certificates of Analysis (COA)

Lot/Batch Number

It looks like we've run into a problem, but you can still download Certificates of Analysis from our Documents section.

If you need assistance, please contact Customer Support

Already Own This Product?

Find documentation for the products that you have recently purchased in the Document Library.

Visit the Document Library



Global Trade Item Number

SKUGTIN
SAB5700299-100UL04065265172448