Skip to Content
Merck

SAB4500367

Anti-Collagen Type III (COL3A1) Antibody

rabbit polyclonal

Synonym(s):

COL3A1, Collagen α-1(III) chain

Sign In to View Organizational & Contract Pricing.

Select a Size

Change View

About This Item

UNSPSC Code:
12352203
NACRES:
NA.41
Conjugate:
unconjugated
Clone:
polyclonal
Application:
ELISA, IF, IHC
Citations:
11
Technical Service
Need help? Our team of experienced scientists is here for you.
Let Us Assist


Product Name

Anti-Collagen III antibody produced in rabbit, affinity isolated antibody

biological source

rabbit

Quality Level

conjugate

unconjugated

antibody form

affinity isolated antibody

antibody product type

primary antibodies

clone

polyclonal

form

buffered aqueous solution

mol wt

antigen 138 kDa

species reactivity

mouse, human, rat

concentration

~1 mg/mL

technique(s)

ELISA: 1:5000, immunofluorescence: 1:100-1:500, immunohistochemistry: 1:50-1:100

NCBI accession no.

UniProt accession no.

shipped in

wet ice

storage temp.

−20°C

target post-translational modification

unmodified

Gene Information

human ... COL3A1(1281)

General description

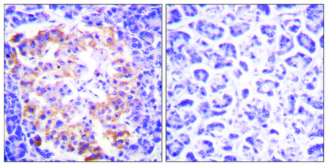
Anti-Collagen III Antibody detects endogenous levels of total Collagen III protein.
Collagen III is also termed as collagen type III α1 (COL3A1). It is a fibrillar collagen present in extensible connective tissues. COL3A1 spans around 44 kb in length and has 52 exons. It is expressed in blood vessels and hollow organs. Collagen III gene is located on human chromosome 2q32.2.

Immunogen

The antiserum was produced against synthesized peptide derived from human Collagen III.

Immunogen Range: 81-130

Application

Anti-Collagen III antibody has been used in immunohistochemistry.
Applications in which this antibody has been used successfully, and the associated peer-reviewed papers, are given below.
Immunohistochemistry (1 paper)

Biochem/physiol Actions

Collagens usually help in the development of fibrillar and microfibrillar networks of the extracellular matrix, basement membranes and structures of the extracellular matrix. Mutations in the COL3A1 gene results in vascular ehlers-danlos syndrome (vEDS). COL3A1 controls the expression and modulation of collagen.

Features and Benefits

Evaluate our antibodies with complete peace of mind. If the antibody does not perform in your application, we will issue a full credit or replacement antibody. Learn more.

Physical form

Rabbit IgG in phosphate buffered saline (without Mg2+ and Ca2+), pH 7.4, 150mM NaCl, 0.02% sodium azide and 50% glycerol.

Disclaimer

Unless otherwise stated in our catalog or other company documentation accompanying the product(s), our products are intended for research use only and are not to be used for any other purpose, which includes but is not limited to, unauthorized commercial uses, in vitro diagnostic uses, ex vivo or in vivo therapeutic uses or any type of consumption or application to humans or animals.


Still not finding the right product?

or

Try our Product Selector Tool to narrow your options


Storage Class

10 - Combustible liquids

wgk

nwg

flash_point_f

Not applicable

flash_point_c

Not applicable



Choose from one of the most recent versions:

Certificates of Analysis (COA)

Lot/Batch Number

It looks like we've run into a problem, but you can still download Certificates of Analysis from our Documents section.

If you need assistance, please contact Customer Support

Already Own This Product?

Find documentation for the products that you have recently purchased in the Document Library.

Visit the Document Library



Eri Ohto-Fujita et al.
Cell and tissue research, 376(1), 123-135 (2018-11-19)
Signs of aging in facial skin correlate with lifespan and chronic disease; however, the health of aging skin has not been extensively studied. In healthy young skin, the dermis forms a type III collagen-rich dermal papilla, where capillary vessels supply
A new candidate substrate for cell-matrix adhesion study: the acellular human amniotic matrix.
Guo Q, et al.
BioMed Research International, 2012 (2012)
Yuqing Ge et al.
Biomedicine & pharmacotherapy = Biomedecine & pharmacotherapie, 119, 109429-109429 (2019-09-11)
Asthma is a common obstructive airway disease characterized by inflammation and remodeling with a progressive decline in lung function. Fangxiao Formula (FXF) is an herbal medicine that has achieved significant clinical benefits toward asthma patients, but the relevant mechanism has



Global Trade Item Number

SKUGTIN
SAB4500367-100UG04061837743900