Skip to Content
Merck

SAB4200749

Anti-Collagen Type III (COL3A1) Antibody

mouse monoclonal, FH-7A

Synonym(s):

Anti-COL3A1, Anti-Collagen alpha-1(III) chain

Sign In to View Organizational & Contract Pricing.

Select a Size

Change View

About This Item

UNSPSC Code:
12352203
NACRES:
NA.41
Clone:
FH-7A, monoclonal
Species reactivity:
rat, human
Application:
ELISA, IF, IHC
Citations:
13
Technical Service
Need help? Our team of experienced scientists is here for you.
Let Us Assist


Product Name

Anti-Collagen Type III antibody, Mouse monoclonal, clone FH-7A, purified from hybridoma cell culture

biological source

mouse

Quality Level

antibody form

purified from hybridoma cell culture

antibody product type

primary antibodies

clone

FH-7A, monoclonal

form

buffered aqueous solution

mol wt

~70 kDa

species reactivity

rat, human

concentration

~1.0 mg/mL

technique(s)

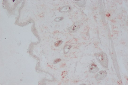
ELISA: suitable, immunoblotting: suitable, immunofluorescence: suitable, immunohistochemistry: 10-20 μg/mL using heat-retrieved formalin-fixed, paraffin-embedded rat skin sections.

isotype

IgG1

UniProt accession no.

shipped in

dry ice

storage temp.

−20°C

target post-translational modification

unmodified

Gene Information

human ... COL3A1(1281)

General description

Anti-collagen type III antibody, mouse monoclonal (mouse IgG1 isotype) is derived from the FH-7A hybridoma produced by the fusion of mouse myeloma cells and splenocytes from a BALB/c immunized mouse.
Monoclonal anti-collagen type III specifically recognizes native and denatured collagen type III from human 1 and rat 2 origin. It does not recognize collagen types I, II, IV, V, VI and X.
Collagen type III, also known as collagen α-1(III) (COL3A1), is encoded by the gene mapped to human chromosome 2q24.3-q31. It is the highly expressed collagen in blood vessels and hollow organs.

Immunogen

Human Collagen Type III

Biochem/physiol Actions

Collagen a-1(III) (COL3A1) serves as a potent adjunct marker for both differentiating fibroadenoma (FA) from phyllodes tumor (PT) and measuring malignant potential in PTs. Overexpression of the gene in glomerular leads to the development of collagen type III glomerulopathy. Mutations in the gene is associated with the development of familial aortic aneurysms and Ehlers-Danlos syndrome.

Physical form

Solution in 0.01 M phosphate buffered saline, pH 7.4, containing 15 mM sodium azide.

Preparation Note

Store at -20°C. For continuous use, store at 2-8°C for up to one month. For extended storage, freeze in working aliquots. Repeated freezing and thawing is not recommended. If slight turbidity occurs upon prolonged storage, clarify the solution by centrifugation before use. Working dilution samples should be discarded if not used within 12 hours.

Other Notes

In order to obtain best results in different techniques and preparations we recommend determining optimal working concentration by titration test.


Still not finding the right product?

or

Try our Product Selector Tool to narrow your options


Storage Class

12 - Non Combustible Liquids

wgk

nwg

flash_point_f

Not applicable

flash_point_c

Not applicable



Choose from one of the most recent versions:

Certificates of Analysis (COA)

Lot/Batch Number

It looks like we've run into a problem, but you can still download Certificates of Analysis from our Documents section.

If you need assistance, please contact Customer Support

Already Own This Product?

Find documentation for the products that you have recently purchased in the Document Library.

Visit the Document Library



The extracellular matrix at a glance.
Christian Frantz et al.
Journal of cell science, 123(Pt 24), 4195-4200 (2010-12-03)
Linkage mapping of the gene for type III collagen (COL3A1) to human chromosome 2q using a VNTR polymorphism.
Tiller GE, et al.
Genomics, 20, 275-277 (1994)
Glomerular Collagen V Codeposition and Hepatic Perisinusoidal Collagen III Accumulation in Canine Collagen Type III Glomerulopathy.
R?rtveit R, et al.
Veterinary Pathology, 52, 1134-1141 (2015)



Global Trade Item Number

SKUGTIN
SAB4200749-100UL04061833351000