Skip to Content
Merck

SAB4200227

Sigma-Aldrich

Anti-NOX1 (N-terminal) antibody produced in rabbit

~1.5 mg/mL, affinity isolated antibody

Synonym(s):

Anti-GP91-2, Anti-MOX1, Anti-NADPH oxidase 1, Anti-NOH-1, Anti-NOH1

Sign Into View Organizational & Contract Pricing

Select a Size


About This Item

UNSPSC Code:
12352203
NACRES:
NA.41
Technical Service
Need help? Our team of experienced scientists is here for you.
Let Us Assist
Technical Service
Need help? Our team of experienced scientists is here for you.
Let Us Assist

biological source

rabbit

conjugate

unconjugated

antibody form

affinity isolated antibody

antibody product type

primary antibodies

clone

polyclonal

form

buffered aqueous solution

mol wt

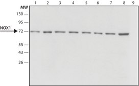
antigen ~72 kDa

species reactivity

human

concentration

~1.5 mg/mL

technique(s)

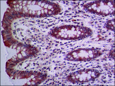
immunohistochemistry (formalin-fixed, paraffin-embedded sections): 5-10 μg/mL using using human colon
western blot: 1.5-3.0 μg/mL using using HT29 cell extracts

UniProt accession no.

shipped in

dry ice

storage temp.

−20°C

target post-translational modification

unmodified

Gene Information

human ... NOX1(27035)

General description

Nicotinamide adenine dinucleotide phosphate (NADPH) oxidase 1 (NOX1) belongs to the family of NADPH oxidases. It is abundantly expressed in colon, primarily in differentiated epithelial cells. NOX1 has two cytosolic regulators, NOXA1 and NOXO1 as well as Ras-related protein Rac1.

Immunogen

synthetic peptide corresponding to the N-terminal of human NOX1 isoform long (NOX1L). The corresponding sequence is identical in human NOX1 isoform long variant (NOX1LV) and highly conserved in mouse and rat NOX1 (76% sequence identity).

Application

Anti-NOX1 (N-terminal) antibody produced in rabbit has been used in immunoblotting and immunohistochemistry.

Biochem/physiol Actions

Nicotinamide adenine dinucleotide phosphate (NADPH) oxidase 1 (NOX1) catalyzes the generation of superoxide ion. It is mitogenic and a potent trigger of the angiogenic switch, increasing the vascularity of tumors and inducing molecular markers of angiogenesis.. NOX1 promotes neurotoxic activation of microglia suggesting, that they play a central role during neuroinflammatory states and in amyotrophic lateral sclerosis (ALS).

Physical form

Solution in 0.01 M phosphate buffered saline, pH 7.4, containing 15 mM sodium azide

Disclaimer

Unless otherwise stated in our catalog or other company documentation accompanying the product(s), our products are intended for research use only and are not to be used for any other purpose, which includes but is not limited to, unauthorized commercial uses, in vitro diagnostic uses, ex vivo or in vivo therapeutic uses or any type of consumption or application to humans or animals.

Not finding the right product?  

Try our Product Selector Tool.

Storage Class Code

10 - Combustible liquids

Flash Point(F)

Not applicable

Flash Point(C)

Not applicable


Choose from one of the most recent versions:

Certificates of Analysis (COA)

Lot/Batch Number

Don't see the Right Version?

If you require a particular version, you can look up a specific certificate by the Lot or Batch number.

Already Own This Product?

Find documentation for the products that you have recently purchased in the Document Library.

Visit the Document Library

Biological roles for the NOX family NADPH oxidases.
William M Nauseef
The Journal of biological chemistry, 283(25), 16961-16965 (2008-04-19)
Jack L Arbiser et al.
Proceedings of the National Academy of Sciences of the United States of America, 99(2), 715-720 (2002-01-24)
The reactive oxygen-generating enzyme Nox1 transforms NIH 3T3 cells, rendering them highly tumorigenic and, as shown herein, also increases tumorigenicity of DU-145 prostate epithelial cells. Although Nox1 modestly stimulates cell division in both fibroblasts and epithelial cells, an increased mitogenic
Miklós Geiszt et al.
Journal of immunology (Baltimore, Md. : 1950), 171(1), 299-306 (2003-06-21)
Reactive oxygen species (ROS) serve several physiological functions; in some settings they act in host defense, while in others they function in cellular signaling or in biosynthetic reactions. We studied the expression and function of a recently described source of
Cyril Chéret et al.
The Journal of neuroscience : the official journal of the Society for Neuroscience, 28(46), 12039-12051 (2008-11-14)
Reactive oxygen species (ROS) modulate intracellular signaling but are also responsible for neuronal damage in pathological states. Microglia, the resident CNS macrophages, are prominent sources of ROS through expression of the phagocyte oxidase which catalytic subunit Nox2 generates superoxide ion

Our team of scientists has experience in all areas of research including Life Science, Material Science, Chemical Synthesis, Chromatography, Analytical and many others.

Contact Technical Service