Skip to Content
Merck

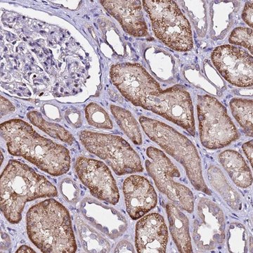
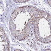
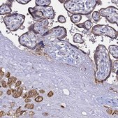
HPA045103

Sigma-Aldrich

Anti-ALG3 antibody produced in rabbit

Prestige Antibodies® Powered by Atlas Antibodies, affinity isolated antibody, buffered aqueous glycerol solution

Synonym(s):

Anti-Asparagine-Linked Glycosylation 3, Alpha-1,3- Mannosyltransferase Homolog (S. Cerevisiae), Anti-CDGS4, Anti-D16Ertd36e, Anti-NOT56L, Anti-Not56

Sign Into View Organizational & Contract Pricing

Select a Size


About This Item

UNSPSC Code:
12352203
Human Protein Atlas Number:
NACRES:
NA.41
Technical Service
Need help? Our team of experienced scientists is here for you.
Let Us Assist
Technical Service
Need help? Our team of experienced scientists is here for you.
Let Us Assist

biological source

rabbit

Quality Level

conjugate

unconjugated

antibody form

affinity isolated antibody

antibody product type

primary antibodies

clone

polyclonal

product line

Prestige Antibodies® Powered by Atlas Antibodies

form

buffered aqueous glycerol solution

species reactivity

human

technique(s)

immunohistochemistry: 1:50- 1:200

immunogen sequence

IDWKAYMAEVEGVINGTYDYTQLQGDTGPLVYPAGFVYIFMGLYYATSRGTDIR

UniProt accession no.

shipped in

wet ice

storage temp.

−20°C

target post-translational modification

glycosylation

Gene Information

human ... ALG3(10195)

Immunogen

asparagine-linked glycosylation 3, alpha-1,3- mannosyltransferase homolog (S. cerevisiae) recombinant protein epitope signature tag (PrEST)

Application

All Prestige Antibodies Powered by Atlas Antibodies are developed and validated by the Human Protein Atlas (HPA) project and as a result, are supported by the most extensive characterization in the industry.

The Human Protein Atlas project can be subdivided into three efforts: Human Tissue Atlas, Cancer Atlas, and Human Cell Atlas. The antibodies that have been generated in support of the Tissue and Cancer Atlas projects have been tested by immunohistochemistry against hundreds of normal and disease tissues and through the recent efforts of the Human Cell Atlas project, many have been characterized by immunofluorescence to map the human proteome not only at the tissue level but now at the subcellular level. These images and the collection of this vast data set can be viewed on the Human Protein Atlas (HPA) site by clicking on the Image Gallery link. We also provide Prestige Antibodies® protocols and other useful information.

Features and Benefits

Prestige Antibodies® are highly characterized and extensively validated antibodies with the added benefit of all available characterization data for each target being accessible via the Human Protein Atlas portal linked just below the product name at the top of this page. The uniqueness and low cross-reactivity of the Prestige Antibodies® to other proteins are due to a thorough selection of antigen regions, affinity purification, and stringent selection. Prestige antigen controls are available for every corresponding Prestige Antibody and can be found in the linkage section.

Every Prestige Antibody is tested in the following ways:
  • IHC tissue array of 44 normal human tissues and 20 of the most common cancer type tissues.
  • Protein array of 364 human recombinant protein fragments.

Physical form

Solution in phosphate buffered saline, pH 7.2, containing 40% glycerol and 0.02% sodium azide.

Other Notes

Corresponding Antigen APREST83858

Legal Information

Prestige Antibodies is a registered trademark of Merck KGaA, Darmstadt, Germany

Disclaimer

Unless otherwise stated in our catalog or other company documentation accompanying the product(s), our products are intended for research use only and are not to be used for any other purpose, which includes but is not limited to, unauthorized commercial uses, in vitro diagnostic uses, ex vivo or in vivo therapeutic uses or any type of consumption or application to humans or animals.

Not finding the right product?  

Try our Product Selector Tool.

Storage Class Code

10 - Combustible liquids

WGK

WGK 1


Choose from one of the most recent versions:

Certificates of Analysis (COA)

Lot/Batch Number

Don't see the Right Version?

If you require a particular version, you can look up a specific certificate by the Lot or Batch number.

Already Own This Product?

Find documentation for the products that you have recently purchased in the Document Library.

Visit the Document Library

Nastassja Himmelreich et al.
Human mutation, 40(7), 938-951 (2019-05-09)
ALG3-CDG is one of the very rare types of congenital disorder of glycosylation (CDG) caused by variants in the ER-mannosyltransferase ALG3. Here, we summarize the clinical, biochemical, and genetic data of four new ALG3-CDG patients, who were identified by a
Shao-Bo Ke et al.
Pathology, research and practice, 216(3), 152761-152761 (2020-01-04)
Alpha-1,3-mannosyltransferase (ALG3) is an oncoprotein associated with multiple malignancies. We aimed to investigate the role and potential mechanisms of ALG3 in non-small cell lung cancer (NSCLC). We detected the expressions of ALG3 in NSCLC tissues and adjacent tissues by RT-PCR
Nastassja Himmelreich et al.
Human mutation, 40(7), 938-951 (2019-05-09)
ALG3-CDG is one of the very rare types of congenital disorder of glycosylation (CDG) caused by variants in the ER-mannosyltransferase ALG3. Here, we summarize the clinical, biochemical, and genetic data of four new ALG3-CDG patients, who were identified by a

Our team of scientists has experience in all areas of research including Life Science, Material Science, Chemical Synthesis, Chromatography, Analytical and many others.

Contact Technical Service