Skip to Content
Merck

HPA031168

Anti-ITGA2B antibody produced in rabbit

Prestige Antibodies® Powered by Atlas Antibodies, affinity isolated antibody, buffered aqueous glycerol solution

Synonym(s):

Anti-CD41, Anti-CD41B, Anti-GP2B, Anti-PPP1R93

Sign In to View Organizational & Contract Pricing.

Select a Size

Change View

About This Item

UNSPSC Code:
12352203
NACRES:
NA.41
Human Protein Atlas Number:
Conjugate:
unconjugated
Clone:
polyclonal
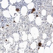
Application:
IHC
Citations:
9
Technical Service
Need help? Our team of experienced scientists is here for you.
Let Us Assist


biological source

rabbit

Quality Level

conjugate

unconjugated

antibody form

affinity isolated antibody

antibody product type

primary antibodies

clone

polyclonal

product line

Prestige Antibodies® Powered by Atlas Antibodies

form

buffered aqueous glycerol solution

species reactivity

human

enhanced validation

independent
orthogonal RNAseq
Learn more about Antibody Enhanced Validation

technique(s)

immunohistochemistry: 1:200- 1:500

immunogen sequence

CVPQLQLTASVTGSPLLVGADNVLELQMDAANEGEGAYEAELAVHLPQGAHYMRALSNVEGFERLICNQKKENETRV

UniProt accession no.

shipped in

wet ice

storage temp.

−20°C

target post-translational modification

unmodified

Gene Information

human ... ITGA2B(3674)

General description

ITGA2B (integrin subunit α 2b) is mapped to human chromosome 17q21.31. The gene encodes for integrin α-IIb also called as GPIIb/IIIa (glycoprotein). It is a platelet-specific, surface membrane receptor

Immunogen

integrin, alpha 2b (platelet glycoprotein IIb of IIb/IIIa complex, antigen CD41) recombinant protein epitope signature tag (PrEST)

Application

All Prestige Antibodies Powered by Atlas Antibodies are developed and validated by the Human Protein Atlas (HPA) project and as a result, are supported by the most extensive characterization in the industry.

The Human Protein Atlas project can be subdivided into three efforts: Human Tissue Atlas, Cancer Atlas, and Human Cell Atlas. The antibodies that have been generated in support of the Tissue and Cancer Atlas projects have been tested by immunohistochemistry against hundreds of normal and disease tissues and through the recent efforts of the Human Cell Atlas project, many have been characterized by immunofluorescence to map the human proteome not only at the tissue level but now at the subcellular level. These images and the collection of this vast data set can be viewed on the Human Protein Atlas (HPA) site by clicking on the Image Gallery link. We also provide Prestige Antibodies® protocols and other useful information.

Biochem/physiol Actions

ITGA2B is significantly involved in platelet adhesion and thrombus formation at the location of vascular injury. Fibrinogen and many extracellular matrix proteins bind in a groove between the a and β-subunits of the integrin receptor. Platelet aggregation, induced by the binding of fibrinogen to the ITGA2B receptor, is involved in the pathogenesis of acute thrombosis in coronary heart disease, stroke, and peripheral arterial disease. ITGA2B, expressed in haematopoietic progenitors, is associated with erythroid activity and endothelial marker expression. Single-nucleotide polymorphisms (SNPs) in ITGA2B might be associated with the risk of acute coronary syndrome and atherosclerosis.

Features and Benefits

Prestige Antibodies® are highly characterized and extensively validated antibodies with the added benefit of all available characterization data for each target being accessible via the Human Protein Atlas portal linked just below the product name at the top of this page. The uniqueness and low cross-reactivity of the Prestige Antibodies® to other proteins are due to a thorough selection of antigen regions, affinity purification, and stringent selection. Prestige antigen controls are available for every corresponding Prestige Antibody and can be found in the linkage section.

Every Prestige Antibody is tested in the following ways:
  • IHC tissue array of 44 normal human tissues and 20 of the most common cancer type tissues.
  • Protein array of 364 human recombinant protein fragments.

Physical form

Solution in phosphate buffered saline, pH 7.2, containing 40% glycerol and 0.02% sodium azide.

Other Notes

Corresponding Antigen APREST78037

Legal Information

Prestige Antibodies is a registered trademark of Merck KGaA, Darmstadt, Germany

Disclaimer

Unless otherwise stated in our catalog or other company documentation accompanying the product(s), our products are intended for research use only and are not to be used for any other purpose, which includes but is not limited to, unauthorized commercial uses, in vitro diagnostic uses, ex vivo or in vivo therapeutic uses or any type of consumption or application to humans or animals.


Still not finding the right product?

or

Try our Product Selector Tool to narrow your options


Storage Class

10 - Combustible liquids

wgk

WGK 1

flash_point_f

Not applicable

flash_point_c

Not applicable



Choose from one of the most recent versions:

Certificates of Analysis (COA)

Lot/Batch Number

It looks like we've run into a problem, but you can still download Certificates of Analysis from our Documents section.

If you need assistance, please contact Customer Support

Already Own This Product?

Find documentation for the products that you have recently purchased in the Document Library.

Visit the Document Library


Articles

Mesenchymal stem cell markers and antibodies suitable for investigating targets in fibroblasts, chondrocytes, adipocytes, osteoblasts, and muscle cells.


?-Subunit Binding Is Sufficient for Ligands to Open the Integrin aIIb?3 Headpiece.
Lin FY
The Journal of Biological Chemistry, 291(9), 4537-4546 (2016)
CD41 and CD45 expression marks the angioformative initiation of neovascularisation in human haemangioblastoma.
Ma D
Tumour Biology : the Journal of the International Society For Oncodevelopmental Biology and Medicine, 37(3), 3765-3774 (2016)
Identification of ITGA2B and ITGB3 Single-Nucleotide Polymorphisms and Their Influences on the Platelet Function.
Xiang Q
BioMed Research International, 2016, 1-11 (2016)



Global Trade Item Number

SKUGTIN
HPA031168-100UL04061837128844
HPA031168-25UL04061842983131